引言
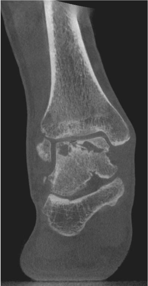
踝关节区域的非特异性疼痛或卡压感可能提示距骨骨软骨损伤(OCL)。尽管 OCL 的成因多样,但多数损伤源于既往创伤。在手术治疗中,有多种方法可用于生成替代软骨。由于这是一种针对缺损软骨的修复机制,因此存在残留症状和复发的风险。在初始保守治疗后,常需手术干预,分为关节镜和开放手术方法。其中,损伤大小(≤1cm² 或 > 1cm²)、解剖可达性、初次或翻修治疗、是否存在软骨下囊肿、伴有活骨的急性损伤或完整软骨层等因素至关重要。近年来,距骨软骨重建治疗的发展使单纯软骨成形术作为(骨)软骨损伤的单一治疗方法逐渐退居次要地位。尽管该方法也用于软骨表面不完整的损伤,但对于此类情况,已有更好的选择,因为仅通过逆行钻孔无法实现修复。MRI 诊断中看似完整的软骨表面,实际上常存在破裂,因此术前应进行关节镜检查以确认。
手术原则与目标
所有技术的目标均为修复软骨表面及其下方的骨组织。
软骨成形术
用于软骨表面粗糙的情况,目的是在不损伤表面完整软骨的前提下,减压现存的骨髓水肿或软骨下囊肿,以实现血流增加和血管重建。适应症:纤维化软骨表面(创伤后、退行性、软骨重建术后)。
逆行钻孔
通过逆行钻孔实现松质骨水肿或囊肿的减压。适应症:软骨表面完整时的骨髓水肿或软骨下囊肿减压,仅限于 Berndt 和 Harty 分期的 I 期和 II 期。
微骨折术
当存在(骨)软骨损伤时,可通过微骨折术利用表面干细胞形成再生软骨。适应症:软骨及骨软骨损伤(<1cm²)伴小囊肿(<0.5cm)。
手术技术
软骨成形术使用踝关节前侧关节镜标准入路,插入 2.3 或 2.7mm 镜头和探钩,检查软骨表面不规则处,区分软化 / 不稳定软骨(可能伴撕裂)与健康软骨。用刨刀(2.2、3.5 或 4.2mm)打磨纤维化软骨,注意保护周围健康组织。通过刨刀打磨软骨表面,平整粗糙面,避免软骨碎片脱落形成游离体影响关节活动,同时切除表面裂纹以减少损伤加深,通过消除不平整改善关节内负荷分布。
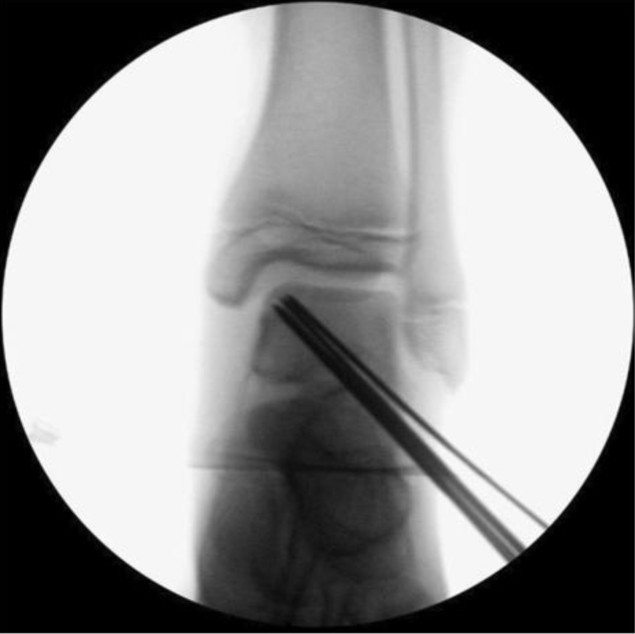
逆行钻孔逆行钻孔可通过X线透视或计算机辅助设备结合专用导向器械进行,使用 1.1-2.4mm 不同直径克氏针。原则上选择针径时需确保可多次钻孔,且克氏针足够稳固不折断。
微骨折术通常与病变软骨清创联合进行,用刨刀去除缺损软骨层,必要时用锐匙修整至健康软骨边缘。去除软骨后暴露骨板,需判断骨板是否完整或存在额外骨缺损(骨软骨损伤),可用锐匙清理。钻孔器械包括专用工具或不同直径克氏针。纳米骨折术尖端直径 1mm,微骨折术尖端直径 2mm,器械尖端可弯曲 20-60° 以适应损伤部位,通过锤击形成微骨折,促使骨髓干细胞释放。研究表明,钻孔深度超过 9mm 可显著增加干细胞释放量。若损伤过大(2017 年标准已将临界值降至 1cm²),非负重腔隙不足以形成再生纤维软骨。
风险与并发症
结果
-END-
声明:本文转载自<足踝一昇>,版权归原作者所有,仅用于学习交流,如有侵权请联系删除









