 
 
  
 
    引言
跟腱慢性过度负荷加上外部压力会导致骨肥大和伴随的滑囊炎,这反过来又会促进跟腱止点腱病的发生。因此,跑步者的反复负荷在跟腱止点腱病的发展中起着重要作用。跟骨后上外侧突起以及伴随的跟腱止点腱病被称为 Haglund 综合征或Haglund畸形。
Haglund畸形的手术治疗包括切除跟骨背外侧部分、发炎的滑囊以及跟骨后区域直至跟腱附着点的退行性变的肌腱部分。总体而言,手术有望取得良好的临床效果和较高的主观满意度。与开放技术相比,内镜手术可获得更好的AOFAS评分、更低的并发症发生率和更短的恢复时间。
 
 
 
 
    手术原则和目标
本文描述了微创、内镜辅助下切除Haglund畸形的技术。通过2个跟腱旁切口,在内镜辅助下切除突出的骨赘。手术目标是消除骨性撞击以及软组织对其的疼痛反应。
优点
-  
  软组织保护技术 
-  
  视野良好 
-  
  可选择性切除跟骨内侧或外侧壁 
缺点
-  
  需要具备关节镜知识 
-  
  与开放手术相比技术要求高 
-  
  初期手术时间较长 
适应症
-  
  症状性Haglund畸形 
禁忌症
-  
  活动性软组织感染 
-  
  症状性外周动脉闭塞性疾病 
患者告知
-  
  软组织缺损/伤口愈合障碍 
-  
  使用步行靴部分负重进行2至4周的后续治疗 
-  
  复发 
-  
  症状持续 
-  
  数周内有肿胀倾向 
-  
  感觉障碍 
-  
  通常数周后才可穿具有坚固鞋底的柔软、宽松的成品鞋 
-  
  开放切除作为替代技术 
- 一般性手术风险   
 
 
    手术技术

患者取俯卧位,对侧肢体稍降低。
 
 
标记解剖标志:跟腱(虚线)、腓肠神经(S)。腓肠神经走行于腓肠肌两头之间,向尾侧位于跟腱外侧。注射针(红色星号)用于确定跟腱外侧骨赘与跟腱之间的正确皮肤切口。
 
 
在透视控制下用套管针标记关节镜和切除器械的进入点。此处显示可良好到达Haglund骨赘。
 
 
插入关节镜(4.0mm)并显示Haglund畸形上方的区域至跟腱前滑囊。a 刨刀,b 跟腱附近区域,c 跟骨上方滑囊。
 
 
在持续关节镜观察下切除滑囊直至跟腱前方。a 刨刀,b 跟腱止点,c 去骨膜的跟骨。
 
 
用磨钻或铣刀将骨磨平至跟腱止点。a 铣刀,b 跟腱,c 跟骨。
 
 
可选用刨刀对跟腱进行清创。a 刨刀,b 跟骨,c 退行性肌腱部分,d 跟腱。
 
 
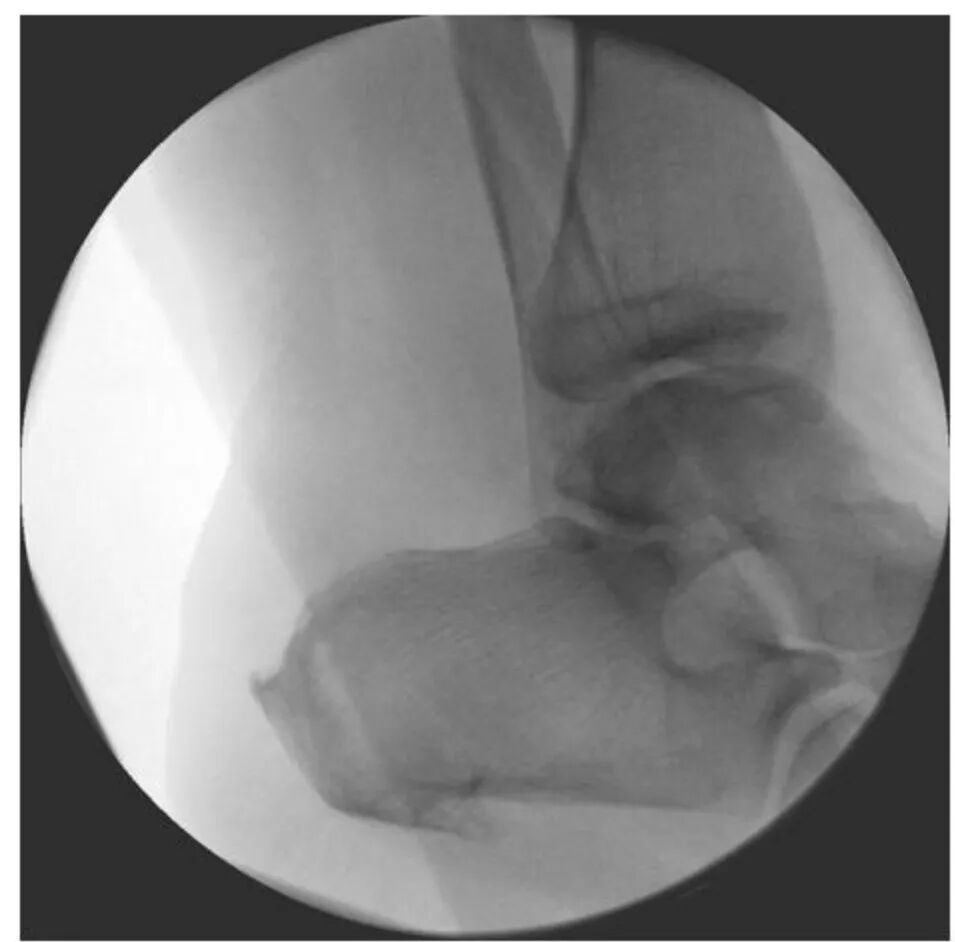
通过C臂机监视切除情况,应显示Haglund畸形被平滑切除。
 
 
    总结
所描述的技术非常适合所有仅需切除Haglund畸形的患者。一定程度上可以对跟骨侧远端跟腱进行清创,并可辅以微创肌腱固定术。
 
 
 -END-
声明:本文转载<足踝一昇>,版权归原作者所有,仅用于学习交流,如有侵权请联系删除








 
 

 
 