1确认患者治疗内容
拿着患者的病例以及拔牙相关的知情同意书与患者本人首先确认治疗的内容。
2 浸润麻醉
对手术区域进行浸润麻醉
手术区域包括患牙的颊舌侧的牙龈槽粘膜以及邻牙。一定要避免这些区域的遮挡物。
吸唾器的操作目的
避免患者的舌头部分接触到麻醉药物
临床手术过程中如果患者的舌头接触到麻醉药物的话(利多卡因盐酸盐,阿替卡因盐酸盐等),往往会造成患者口腔内的不适感,临床表现为苦涩感。在一些重度牙周病的情况下,麻醉剂甚至会从龈沟内溢出。
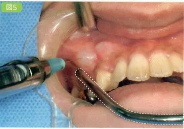
吸引针刺部位溢出的麻醉药物
虚线部分为吸唾管
3切开
利用手术刀·电刀等器械将手术区域的牙龈切开
医生利用手术刀进行切开。首先避免吸唾器在手术刀的切开路线上阻碍医生的操作。切开线设计分为三角形,四边形和沿牙龈缘等各种不同的形状。口腔卫生士一定要事先与医生确认切开设计的形状。
切开线设计(有残根的情况)
务必保证切开线区域的视的野晰度(切开前要吸引唾液,切开过程中要吸引血液)
切开前,一定要将切开线区域的唾液吸引干净。如果切开区域有唾液残留的话,会造成医生无法找到切开线路。切开时,从切开线区域会有血液溢出。将吸唾器放置到出血点,正确找到出血点才能更加有效的将溢出的血液吸引干净。
使用电刀时,如何控制吸唾器的角度?
使用电力手术刀时,如果与吸唾器发生接触,所产生火花会导致嘴唇和口腔粘膜灼伤。因此,在吸烟电刀产生的烟雾时一定要保持一定的距离。另外,在使用电刀时,一定要向患者本人或者是其家属确认是否佩戴有心脏起搏器。
4 翻瓣分离
利用骨膜分离器将牙龈、粘膜、骨膜从牙骨上分离开来,暴露拔牙部位的牙槽骨。
吸唾器的目的
利用吸唾器清除分离器插入引起的出血,保证术野的清晰
观察骨膜分离器插入的部位。另外,将分离部位的出血吸引干净,以保证视野的清晰度。
5牙槽骨削除
智齿
重点吸引进行骨削除的牙冠周围骨头处的吸血点,牙冠和牙根置于视野清晰的地方。牙骨的削除量和分割次数等,根据手术者的不同,千差万别,只有事先预定了手术者的削除范围才可以确定事情平稳的进行下去,若是协助一名手术者的次数不多的话,无论怎么合作,两个人之间也没有办法产生默契。
残根的拔除
通过拔除残根,将不需要削除牙槽骨,牙槽骨和牙根痊愈,也不会出现牙根膜腔根部肥大,根弯曲的症状。必然的牙槽骨和牙根之间是切削位置。留心同一部位的吸引。
预防水珠飞散
将牙骨、牙冠、牙根置于清晰的视野之下智齿/残根,无论是处于哪一种情况之下,在进行牙骨切削时为了防止牙骨被灼伤,一定要充分注水。注水时在水珠迸溅的地方放上吸唾器,以减少水珠乱飞的情况(图9)在主治医生停下手中动作时利用吸唾器吸引口腔内的水。若是使用涡轮机或者引擎产生的注水量较多,可以换用口腔用吸唾器。
牙冠分割和骨削除的方法根据主治医生的不同也会有所差别,但若是能完成基本出血、注水、削除片等部分的吸引的话,术野的保证也会变得更加容易。
完成出血点、注水和削除片的吸引,以保证术野的清晰度。
对老年患者使用吸唾器时需要预防出现误饮误食的现象。
特别是高龄患者,有误食遗留在口腔内部物品的倾向 。若是使用牙挺的话,会导致暂封材料和牙冠脱落,龋齿会被崩裂。在这种情况下,为了防止这些材料被误食,一定要尽快吸引过来。事先在患者嘴巴内放入棉卷也可以预防误食。
另外,拔牙时拔去的牙齿不小心滑入口腔内的话需要尽快吸引掉,因此最好将吸唾器放置在牙齿附近。
6 牙齿脱臼
剥离同样如此,无论向几个方向插入牙挺。口腔卫生士最好事先预想一下会插入哪几个部分再使用吸唾器吸引。
牙挺拔牙时,牙槽骨和牙齿之间插入牙挺引起的牙齿脱臼
插入牙挺部位的视野一定要清晰
(插入前将牙挺置于牙槽骨和牙齿之间,插入时优先插入牙挺尖端)
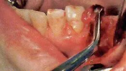
确认完成缝合的部位是否有出血。由于牙周膜腔部分会出血,用吸唾器吸收牙槽骨和牙根之间的交界处(图10)。此外,向牙挺施加力的时候会出血,一定要使用吸唾器不厌其烦地吸引牙挺尖端部分血。
吸引牙周膜腔的出血时,一定要保证主治医生的的视野清晰。
7使用牙挺和拔牙钳拔牙
使用牙挺和拔牙钳拔牙
为了使拔去的牙齿不要遗落到口腔内,吸唾器一定要放置到牙齿附近(图11)。牙齿拔去后,将重照灯照向拔牙窝。
吸唾器的使用目的
排除牙周膜腔的出血,将插入牙挺部位置于视野清晰处
残根和上颌智齿等大多只采用牙挺拔牙的方式拔牙。由于牙挺挤压损伤插入部位,会导致更多的出血,口腔卫生士可以以该部位为中心进行吸引。
拔牙钳拔牙
*拔牙钳拔牙最基本的就是不用插入吸唾器。
将吸唾器置于将要拔去的牙齿的旁边,以防其掉落到口腔内部。
残根等掉落到口腔底侧时。主治医生需要准备小钳子等用具,为防出现误食,口腔卫生士还需要把持着吸唾器。
为了排除牙龈沟部的出血,拔牙钳把手周围要保持视野清晰(指的只是拔牙钳的把手在口腔外的部分)
基本上吸唾器都会将吸唾器从口腔内部取出。不过,若是没有办法尽快完成脱臼的话,一旦将拔牙钳从口腔内部取出,虽然下一次使用拔牙钳时会变得容易一些,但是仍需要使用吸唾器吸引牙龈沟部的出血。
8去除和刮治不良肉芽组织
拔牙窝最深处需要医生探头去看。所以口腔卫生士尽量要抓住医生不处于探头看的时候进行吸唾操作。有部分医生也可以独自完成治疗和吸唾的操作。
存在重度牙周病的牙齿,在其牙颈部和根尖部长有不良肉芽组织。这些不良肉芽组织会成为术后出血的诱因,因此要事先用刮匙将其彻底清除干净。
吸唾器的操作目的
1,确认拔牙窝处是否残留了部分破损的牙冠、牙根以及碎屑。
2,确认邻牙上是否附着牙结石,是否有龋蚀。
3,刮治过程中,保证不良肉芽组织周围术野。
吸引拔牙窝。不过,拔智齿时,可能会暴露下牙槽神经。向医生确认下牙槽管是否有暴露的可能性之后,再吸引拔牙窝底部。对口腔卫生士而言必须依靠经验掌握插入吸唾器的深度。
此外,进行刮治时使用吸唾器吸引刮匙操作的区域。
刮治后,为了确认邻牙是否有牙结石附着和龋,可以使用吸唾器吸引邻在牙侧面。医生和其助手的术野是不同的。特别是较小拔牙窝,根据角度的不同,可能会导致主治医生观察时视线被阻碍。口腔卫生士在确认了是否有不良肉芽组织残留和破损牙根之后,要将自己所处角度看到的情况传达给医生。
刮治时吸引手刮匙的操作部位
9缝合
切开的牙龈和牙槽粘膜用针缝合
吸唾器的目的
有出血状况时保证缝合部位的术野
缝合时为了避免针尖刺伤粘膜,需要对舌头和颊粘膜进行排开
用针缝合前吸引牙龈
缝合前用吸唾器吸引切开线区域。缝合后,结扎并截断缝合线前,吸引从切口结扎处溢出的血液。
缝合舌侧牙龈时,为了避免患者的舌头触碰到针尖,根据主治医生的喜好可以使用简易的吸唾器,对舌头进行排开。
结扎之后用吸唾器吸引
特别注意,吸引过程可能会引起结扎松动。
10止血确认
止血确认对口腔卫生士有一定的技术要求。医生在为患者完成拔牙之后,大多需要再考虑一下病历记录和处方,一直到拔牙后的最终护理都需要卫生士保持较高的注意力。注意力集中,观察力强的口腔卫生士在这上面会有很大帮助。
吸唾器的目的
出血异常的确认
确认是否有血溢出,然后吸引拔牙窝和切开线。
吸引切开线和拔牙窝,确认完成缝合的部位的出血状况。
声明:本文转载于<口腔视频>,仅用于学习交流,如有违规侵权,请立即联系我们。内容仅代表作者个人观点,望大家理性判断及应用。









