引言
用于治疗尺骨撞击综合征的阶梯状尺骨短缩截骨术是一种安全、可靠且成本较低的技术。该技术使用7孔3.5毫米标准中和钢板和拉力螺钉进行固定,无需其他尺骨短缩技术所需的特殊器械。关节外尺骨短缩截骨术是外科治疗尺骨撞击综合征(又称尺腕撞击综合征)的常用且广泛接受的术式。尺骨撞击综合征的特征是腕部尺侧的退行性病变,与尺腕关节结构间的过度负荷相关。该综合征常与尺骨正向变异相关,这种变异可能是先天性或创伤后所致。
针对此类截骨术,已开发出多种使用特殊器械(定位架、截骨导板和短缩系统)的手术技术(横向或斜行截骨)及固定方法 ,但尚无任何方法显示出临床优势。
阶梯状尺骨短缩截骨术的设计理念旨在克服横向或斜行截骨技术中因旋转控制不佳(骨不连或畸形愈合)导致的并发症,并避免使用特殊器械设备以降低成本。该截骨术通过徒手操作完成,其长臂位于冠状面,短臂在轴平面垂直于长臂,采用掌侧3.5毫米标准中和钢板及拉力螺钉进行稳定固定。手术以7孔3.5毫米标准中和钢板为模板设计截骨。与横向或斜行截骨相比,阶梯状截骨无需特殊设备即可提供更大的骨接触面积和更好的旋转控制。
截骨的目标是通过将尺骨短缩数毫米来减轻尺腕关节负荷,而不必将尺骨变异降至中立或负向状态。重要的是,需在截骨后的尺骨近端和远端切除等量骨块。本文将介绍用于治疗尺骨撞击综合征的阶梯状尺骨短缩截骨术的手术技术。
适应证与禁忌证
适应证
- 症状性特发性尺骨撞击综合征。
- 症状性创伤后尺骨撞击综合征。
禁忌证
- 金属过敏。
- 下桡尺关节关节炎(相对禁忌证)。
步骤1:术前规划
进行体格检查并获取影像学检查结果,以明确所有相关异常。
-
通过病史采集明确疼痛模式、功能障碍及任何病因。
-
对腕部进行体格检查,包括尺腕应力试验:于腕关节旋前位行最大尺偏,随后进行屈伸活动。
-
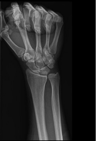
获取腕关节正位、侧位及旋前握拳位X线片,以评估尺骨变异及腕骨软骨软化(图1)。
-
磁共振成像(MRI)检查也可发现相关异常,如月骨软骨软化、月三角韧带撕裂及磨损性三角纤维软骨复合体撕裂(图2)。
图1 一名37岁特发性尺骨撞击综合征男性患者的术前旋前握拳位X线片显示,尺骨存在正向变异,且月骨尺侧可见囊性病变。
图2 磁共振成像扫描显示,在T1加权像和T2加权像中,月骨尺侧(箭头所示)出现信号改变,而在T2加权像中,三角纤维软骨复合体也出现信号改变。
步骤2:腕关节镜检查
验证尺骨撞击综合征的诊断并治疗并存的关节内异常。
-
让患者取仰卧位。
-
将手臂置于带牵引的腕关节镜塔架上。
-
用关节镜探钩评估腕关节,确认尺腕撞击的诊断,并诊断任何并存的关节内异常。
-
对中央型三角纤维软骨复合体撕裂进行关节镜下清创。
-
对月骨软骨瓣进行关节镜下清创。
-
对部分月三角韧带撕裂进行关节镜下清创。
步骤3:尺骨短缩截骨术的切口
-
沿尺骨远端三分之一做纵向皮肤切口。
-
将前臂置于带牵引的腕关节镜塔架上或手台延长架上(使用腕关节镜塔架更易控制旋转)。
-
在肱骨处绑扎止血带,充气至高于患者收缩压100毫米汞柱。
-
沿尺骨远端三分之一稍偏向掌侧做8厘米长的纵向皮肤切口。
-
解剖尺侧腕伸肌与尺侧腕屈肌之间的间隙。
-
暴露尺骨远端。
-
在尺骨远端预定截骨部位剥离骨膜。
步骤4:设计阶梯状尺骨短缩截骨术
设计阶梯状尺骨短缩截骨术。
阶梯状截骨的长臂位于冠状面,与尺骨长轴平行,短臂在轴平面与长轴垂直(图 3 和图 4)。
图3 阶梯式尺骨缩短截骨术示意图
-
使用 7 孔 3.5 毫米标准中和钢板作为模板设计阶梯状尺骨短缩截骨术。
-
将钢板放置于尺骨头近端 1 至 2 厘米的尺骨掌侧面,以避免前臂旋转时钢板或螺钉撞击下桡尺关节。
-
截骨长臂(约 15 至 20 毫米长)设计为从钢板的第三孔延伸至第五孔,以便在这 2 个孔中置入双皮质螺钉。
-
用标记笔在尺骨皮质上标出计划的截骨线,然后将钢板从术野移除。
-
截骨短臂设计为与长臂垂直。
-
在阶梯状截骨的近端和远端,平行于截骨短臂标记短缩长度(每侧短臂约切除 1 至 2 毫米)。
图4 阶梯状尺骨短缩截骨术、拉力螺钉(背侧至掌侧)复位及钢板掌侧放置的示意图。
步骤5:实施阶梯状尺骨短缩截骨术
使用摆锯完成阶梯状尺骨短缩截骨。
-
在尺骨周围放置2把Hohmann拉钩以保护软组织。
-
先切割截骨长臂:沿尺骨长轴方向用摆锯切开。
-
摆锯操作时需持续冲洗。 注意切口方向为从内侧至外侧(冠状面),并切断双侧皮质骨。
-
垂直于长臂切口切割2处短臂,将尺骨分为背侧和掌侧两部分(而非桡侧和尺侧)。
-
用骨刀完成最终切口。
-
通过平行于初始短臂截骨线的切割,将截骨后的尺骨近端和远端各短缩约2至4毫米。
步骤6:截骨固定
采用拉力螺钉和掌侧钢板固定截骨端。
-
松开腕关节镜塔架的牵引。
-
对截骨部位进行解剖复位,并用跨截骨端的复位钳固定。
-
使用拉力螺钉对截骨臂进行加压。
-
从背侧至掌侧,沿截骨端中央垂直于长臂方向置入拉力螺钉。
-
在尺骨掌侧面使用7孔3.5毫米标准中和钢板固定截骨端(图4)。
-
短缩量通过水平截骨各臂的骨块切除实现;拉力螺钉在垂直截骨处提供加压,钢板用于中和应力。
-
将钢板中心对准截骨端,使钢板第四孔正对拉力螺钉。
-
在拉力螺钉近端和远端各置入3枚钢板螺钉。
-
紧邻截骨端的2枚螺钉斜向远离截骨端方向置入,避免穿入截骨间隙(图5)。
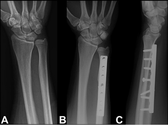
图5-A、5-B和5-C 一名37岁患有特发性尺骨撞击综合征并接受阶梯状尺骨短缩截骨术的女性患者。图5-A 术前旋前握拳位X线片。图5-B 术后12周旋前握拳位X线片。图5-C 阶梯状尺骨短缩截骨术后12周侧位X线片。
在透视下确认尺骨短缩量合适、截骨复位良好,且钢板螺钉位置不影响腕关节旋前、旋后及尺偏活动(无尺骨与腕骨接触撞击征象)。
步骤7:伤口闭合
逐层细致缝合伤口。
-
松开止血带。
-
彻底止血。
-
用大量生理盐水冲洗伤口。
-
逐层缝合伤口。
-
将腕关节固定于短臂石膏夹板中。
步骤8:术后护理
前6周保护患侧手臂。
-
佩戴短臂石膏夹板,持续2周。
-
术后2周拆除皮肤尼龙缝线。
-
术后2周将初始石膏夹板更换为可拆除的短臂夹板,佩戴4周。
-
后6周让患者开始腕关节主动活动度训练。
-
临床及影像学确认骨愈合后允许负重。
注意事项与挑战
截骨的目标是通过将尺骨短缩数毫米来减少尺骨变异,而不必追求尺骨变异达到中立或负向状态。
阶梯状截骨的长臂位于冠状面,短臂在轴平面垂直于长轴。
在尺骨短缩截骨术前,需同期行腕关节镜检查以确认诊断并处理并存的关节内病变。
将手臂置于带牵引的腕关节镜塔架上,以帮助骨骼正确旋转对位及钢板掌侧放置。
使用摆锯进行阶梯状短缩截骨。
通过从截骨后尺骨两端共切除2至4毫米的骨块来短缩尺骨。
从背侧至掌侧垂直于长臂方向置入拉力螺钉,以加压固定截骨端。
在尺骨掌侧面使用7孔3.5毫米标准中和钢板固定截骨端。
紧邻截骨端的2枚螺钉斜向远离截骨端方向置入,避免穿入截骨间隙。
术中透视至关重要,需确认截骨复位良好,且钢板螺钉位置不影响腕关节旋前、旋后及尺偏活动(无撞击或嵌压征象)。
术后6周让患者开始主动活动度训练,并在临床及影像学证实骨愈合后逐步开始负重。
参考文献:Papatheodorou LK, Sotereanos DG. Step-Cut Ulnar Shortening Osteotomy for Ulnar Impaction Syndrome. JBJS Essent Surg Tech. 2017 Jan 25;7(1):e3. doi: 10.2106/JBJS.ST.16.00062. PMID: 30233938; PMCID: PMC6132586.
-END-
声明:本文为原创内容,作者Yanxc,版权归原作者所有,仅用于学习交流。内容仅代表作者个人观点,望大家理性判断及应用。









