锁骨骨折是常见的骨折类型,约占全身骨折的2%-5%。手术适用于移位显著、不稳定、合并并发症或功能要求高的患者,以降低不愈合风险并恢复肩关节功能。对于移位明显或不稳定的骨折,医生通常会采用钢板内固定手术来促进骨折愈合。

然而,少数患者(约1%-3%)在术后可能出现钢板断裂的情况,这不仅影响康复,还可能需要进行二次手术(如下图所示)。
本文将从钢板断裂的原因、治疗方法和预防措施三个方面进行详细讲解,并提供科学的应对策略。
板断裂的原因
临床上患者碰到钢板断裂的,第一时间就开始质问医生是不是钢板质量有问题。其实钢板断裂通常不是单一因素导致的,而是由生物力学因素、手术技术问题、患者自身因素共同作用的结果。
1. 生物力学因素
锁骨呈“S”形,中段1/3是最容易骨折的部位,同时也是受力最大的区域。钢板在此处承受的弯曲和扭转应力较大,如果骨折愈合延迟,钢板可能会因长期疲劳而断裂。
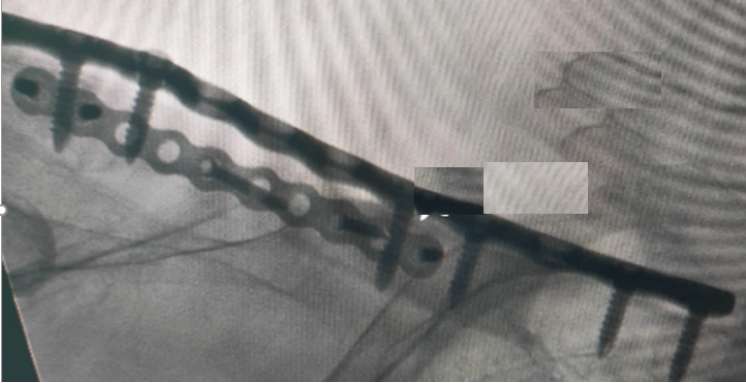
应力集中:如果钢板长度不足(如仅覆盖骨折端2-3个螺钉孔),钢板两端可能因应力集中而断裂或是造成螺钉松动。
或是粉碎性骨折区域,螺钉固定过多或是捆扎钢丝等使得应力过于集中,也会造成钢板断裂。如下图。
通过生物力学实验发现,钢板跨度不足和螺钉固定不充分是导致钢板断裂的主要力学因素。
2. 手术技术问题
临床上保守治疗的愈合率比手术高,但是保守治疗主要是担心畸形愈合。而选择手术治疗,其手术方式的选择也是会直接影响钢板的稳定性。因此说手术骨折不愈合的概率会比保守大一些。一旦选择手术,手术方式很重要。
钢板选择不当:
使用非锁定钢板(普通钢板)时,螺钉容易松动,导致钢板断裂。目前这类钢板已经很少使用了,多见以前失败案例中。
钢板厚度不足(如2.7mm钢板用于肌肉发达或肥胖患者)可能无法提供足够支撑。
螺钉固定不足:螺钉数量过少(一般建议至少6枚螺钉)。或是6枚螺钉是双皮质固定,只有这样的把持力才能有效抵抗扭转力和上肢的重力。对于特殊病例,比如依从性差,严重骨质疏松患者等,有时候需要采用双皮质固定(螺钉穿透锁骨前后两层骨皮质,增强稳定性)。Zhang F 等(2019)研究发现,锁定钢板的断裂率显著低于普通钢板,且螺钉数量≥6枚时断裂风险降低。
3. 患者自身因素
钢板最终会断裂,最主要是骨折断端没有愈合,或是说骨愈合延迟(骨不连),如果骨折不愈合,那么钢板就要代替骨头承担更多压力,久而久之就容易钢板疲劳断裂。而对于骨不连的影响因素中,患者自身这些因素尤为重要。如吸烟(尼古丁抑制骨愈合)、糖尿病、营养不良(维生素D或钙缺乏)、骨质疏松(骨质量差,螺钉易松动)。当然,特殊情况下伤口感染也会出现骨不连:术后感染可导致骨吸收,使钢板失去支撑,最终断裂。Robinson CM(2015)指出,吸烟者的锁骨骨折术后骨不连风险比非吸烟者高3倍。
这篇文章列出了锁骨骨折不愈合的风险因素:(1)锁骨短缩超过15-20毫米;(2)女性患者骨折粉碎性;(3)骨折明显移位;(4)高龄患者;(5)严重创伤史;(6)不稳定的外侧骨折(Neer II型)。因此对于这类病人,要特别重视。
当然还有些患者不听医嘱,过早负重活动:术后6周内过度使用患肢(如提重物、打球)会增加钢板断裂风险。Smekal V(2018)研究指出,规范的术后康复可降低钢板断裂风险30%以上。当然外伤再次摔倒也是其中的诱因。
钢板断裂的治疗方法
一旦发生钢板断裂,需根据具体情况选择保守观察、翻修手术或其他治疗方式。
1. 翻修手术(首选治疗方式)
适用情况:骨折未愈合+钢板断裂+影响功能。手术的目标:恢复锁骨长度、稳定固定、促进骨折生物学愈合。
手术步骤:
-
取出断裂钢板,清理骨折端瘢痕组织。
-
更换更坚强的内固定:
-
更厚的锁定钢板(如3.5mm vs 2.7mm)。
-
双钢板技术(适用于严重骨质疏松患者)如下图。

-
植骨(促进骨愈合):自体髂骨植骨(最常用,愈合率>90%),是目前自体髂骨(金标准),但供区有并发症(疼痛、感染可能)。
同种异体骨:适用于拒绝自体植骨者,但愈合时间延长30%。人工骨替代材料(如β-磷酸三钙):适合小范围缺损,联合BMP-2可提高效果。研究显示,锁定钢板+植骨的翻修手术成功率可达85%-95% 。愈合率>90%,但供区有并发症(疼痛、感染)。
术后康复:
-
0-6周:肩关节制动(避免负重)。
-
6-12周:逐步进行被动-主动活动。
-
3个月后:X线确认愈合后恢复力量训练。
2. 替代治疗方式
-
髓内钉固定:适用于骨质较差的患者,但抗旋转能力较弱。
-
体外冲击波治疗(ESWT):适用于轻微骨不连,可刺激骨愈合。
-
低强度脉冲超声波(LIPUS):促进骨折愈合,但效果较慢。
3. 感染性骨不连的处理
如果感染导致钢板断裂,需:彻底清创+临时抗生素骨水泥固定。静脉抗生素治疗(4-6周)。
二期翻修手术(感染控制后再行钢板内固定术)。研究表明两阶段翻修手术可有效治疗感染性锁骨骨不连。
总结
钢板断裂是锁骨骨折术后可能的并发症,但通过优化手术技术、严格术后管理、合理康复,可以显著降低风险。如果发生断裂,翻修手术+植骨是目前最有效的治疗方法。因此对于患者,我们建议术后严格遵循医嘱,避免过早运动。
戒烟+补充营养,促进骨折愈合。定期复查,早发现早处理。
-END-
声明:本文为原创内容,作者翔宇大鸾,版权归原作者所有,仅用于学习交流,未经授权禁止转载。









