锁骨骨折是非常常见的损伤,占所有骨折的2.6%至4.0%,高达82%的锁骨骨折发生在锁骨中三分之一。锁骨内侧和外侧骨折发生较少。胸锁关节脱位(SC)和肩锁关节脱位(AC)分别约占肩胛带损伤的3%和9%。锁骨两端的损伤极为罕见,这种损伤也被称为“双极锁骨损伤”或“浮动锁骨”。1831年,Porral报道了第一例AC和SC关节脱位的病例。双极锁骨损伤目前被定义为锁骨两端脱位和/或骨折的任何组合。
影像学表现
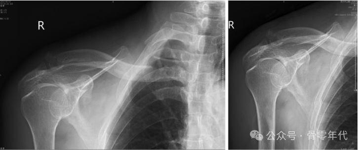
一名62岁的女性在当地医院接受了内侧和远端固定。她经历了持续的锁骨内侧突出和疼痛,术后1个月(A)后前位X线片和(B)三维CT显示锁骨内侧骨片再次移位。她接受了翻修手术,包括移除最初的植入物并用锁骨钩钢板固定。在6个月的随访中,患者显示胸锁关节和肩锁关节的X线片是一致的。
一名58岁的女性在一场车祸中受伤。她因肩部无法忍受的疼痛进行手术治疗。正位X线片显示左侧胸锁关节前脱位。术前X线片显示左侧胸锁关节前脱位(SCJ)和同侧Neer II型锁骨远端骨折。在37个月的随访中,平片显示SC排列正常,锁骨远端牢固愈合,轻度持续性肩锁关节半脱位。虽然有轻微的肩部功能受限,但能够回到受伤前的工作岗位上。
一名56岁的保安在从电动自行车上摔下,右肩疼痛来到医院就诊。在患者的标准X线片上,锁骨骨折的近端和远端均被分离。CT从不同角度显示锁骨骨折移位情况。术后骨折线、脱位均恢复。
1例锁骨远端骨折伴锁骨近端脱位患者的影像表现。钢板内固定治疗双极锁骨损伤1例。利用杠杆复位锁骨两端,然后分别放置新的胸锁钢板和肩锁钢板。术后对患者进行影像检查。X线和CT图像
讨论
双极锁骨损伤的机制尚不清楚。这种损伤通常是高能量创伤的结果,如肩部外侧的变形力,或将肩部挤压在一起并伴有躯干扭转的推动力。有两个假设得到了支持。一种认为,两个脱位同时发生,肩部的创伤力最初转化为影响锁骨的弹性能量。当外力消失时,锁骨松弛并恢复其正常形状,然而,能量继续在锁骨两侧传导,导致锁骨两端韧带损伤,随后AC和SC关节脱位。另一种假设是SC关节最初脱位,随后AC关节脱位。目前报道了四种不同的双极锁骨损伤类型:锁骨两端脱位、SC关节脱位伴锁骨远端骨折、AC关节脱位伴锁骨内侧端骨折和锁骨节段性骨折。对于大多数浮动锁骨,内端向前移位,而外侧端向上或向后移位(Rockwood III或IV型)。后SC关节脱位和锁骨内侧骨折是危及生命的损伤,因为它们有可能对胸骨后结构造成损害。对于锁骨骨折的治疗,手术治疗和保守治疗都能取得满意的结果。儿童锁骨骨折以及稳定性或无移位的AC关节或SC关节均可通过保守治疗获得成功。因为大多数双极损伤的患者在保守治疗后会出现畸形、残留疼痛或不稳定,所以对于年轻和活跃的患者,尤其是同侧肢体损伤的患者,共识似乎倾向于手术治疗。手术可以降低骨不连的几率,缩短重返工作岗位的时间,改善肢体功能。当双极锁骨损伤手术治疗时,AC脱位和外侧端骨折的手术选择从内固定(钩钢板、克氏针、钉)到韧带重建(Weaver-Dunn手术、喙锁关节重建)。然而,对于SC关节损伤的标准治疗策略还没有达成共识。手术治疗具有挑战性,因为SC关节与重要的胸骨后结构(气管、食道、头臂静脉、头臂动脉和臂丛)之间的距离很近。已经描述了许多手术方法,如钉、克氏针、T形钢板固定、锁骨内侧切除和韧带重建,每种手术方法都有各自的优缺点。Dongxu Feng的研究表明,锁骨钩钢板是治疗移位的锁骨内侧骨折和SC关节脱位的一种非常可行的选择,并且具有几个优点,例如对胸骨后结构损伤最小的风险(不需要像钢板那样在胸骨柄上钻孔,纵隔胸骨前血管前间隙4-5厘米厚足以安全地插入钩),动态固定而不损害SC关节软骨表面,以及提高锁骨内侧粉碎性骨折的固定稳定性。双极锁骨损伤的治疗顺序仍存在争议。Schemitsch等人提出的。建议先固定患侧较重的一侧。然而,在一项对6例手术病例和5例保守病例的研究中,Lee等人锁骨内侧端闭合复位失败后,先用钩钢板固定AC损伤,再行切开复位和SC前韧带修复。Yurdakul等人和Thyagarajan等人在他们的报告中首先固定SC关节。Dongxu Feng的经验与Schemitsch等人的经验一致,一旦受影响较严重的一侧稳定下来,另一端被发现是被动可复位的。
-END-
声明:本文转载自<骨零年代>,仅用于学习交流,未经授权禁止转载!









