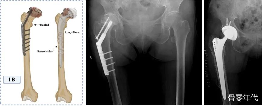
股骨粗隆间骨折是一种常见的骨科损伤,尤其是在老年人中。内固定是主要的治疗方法,有记录的失败率为3-12% 。对于临床医生来说,在失败后选择合适的治疗策略是一项艰巨的挑战。虽然髋关节置换术是内固定失败后的有效挽救手术,但髋关节置换术中股骨成分的选择仍然存在争议,尤其是在长柄和标准柄之间的选择。股骨粗隆间骨折内固定失败后,原始植入物的移除会在股骨近端留下螺丝孔,这些螺丝孔可能成为应力集中点,影响髋关节置换术中股骨假体的稳定性和术后功能恢复。因此,大多数骨科医生会考虑使用骨干贴合的长/翻修股骨柄,这有助于将应力从受损的近端区域转移到骨干更远的部分,提供更宽的骨接触区域并提高初始稳定性。然而,使用长柄会增加围手术期假体骨折的发生率。目前缺乏选择股骨假体的指南,这意味着不适当的选择可能会增加术中和术后并发症的风险,尤其是假体周围骨折和无菌性松动,这些并发症比初次髋关节置换术更常见。
影像学表现
2
讨论
参考文献
Huang Jiexin,Lin Lan,Lyu Jianhua et al. Hip arthroplasty following failure of internal fixation in intertrochanteric femoral fractures: classification decision-making for femoral stem selection and clinical validation.[J] .J Orthop Surg Res, 2024, 19: 671.














