本文着重介绍:
1. 钢丝捆绑技术在股骨相关骨折的应用
2. 钢丝捆绑技术是否干扰骨折端血运
钢丝捆绑,有人视为洪水猛兽;也有人觉得不可或缺。
事实上,捆绑技术是第一项真正意义的内固定技术。1775 年法国首先报道了钢丝捆绑术。到了十九世纪中期,捆绑术已成为骨科的一项重要组成部分。由于其他技术可以提供更好的临床疗效,以及临床医生对捆绑技术造成血运障碍的担忧,导致该技术一度淡出人们的视野。
近年来,随着假体周围骨折发病率的增加,大家又开始重新审视这项技术。捆绑技术既可以单独使用,也可以和内固定、外固定(钢板、髓内针、关节假体等)一起联合使用。
捆绑术可以从两种途径为临床提供帮助:
-
其一是作为维持复位的临时工具;
-
其二是作为长期内固定使用。
其具体应用主要有以下四个方面:
-
张力带
-
捆绑
-
半捆绑
-
骨折块间的钢丝固定(具体手术适应证见表 1)
表 1 钢丝捆绑术使用指征
不稳定性股骨转子间骨折
不稳定性股骨转子间骨折,如反转子间骨折,常合并小转子的移位。术中应良好复位大块的小转子骨折块,这已得到多数文献支持并成为临床共识。
有关不稳定性骨折的轴向载荷生物力学研究表明,随着小转子骨折块的增大,其复位固定的必要性随之增大 [1]。
一旦小转子利用骨钩等工具实现复位后,就可以采用一根或多根钢丝捆绑固定。待实现小转子骨块稳定后,牵引患肢使主骨块复位(图 1 所示)。
图 1 一名 87 岁男性患股骨近端骨折(AO31-A3 型)。A 前后位 X 线片示骨折增宽移位; B 术后患者股骨近端前后位 X 线片,采用干骺端动力钢板结合有限接触式钢丝联合固定,在钢板固定之前先复位骨折端并用钢丝固定小转子
粉碎性股骨骨折,复位骨折块时必须扩大显露,这增加了髓内针治疗的感染率。捆绑术可以协助骨折的复位,即所谓先钢丝捆绑固定骨折,然后再导入髓内针(图 2 所示)。
Winquist 报道了 245 例闭合髓内针治疗的结果,术中采用钢丝捆绑术,随访时只有 0.8% 的骨不连以及 0.4% 的感染率 [2]。

图 2 一名 73 岁的女性患者左侧全膝关节置换术后出现 Rorabeck II 型股骨干骨折。A 前后位 X 线片显示骨折移位;B 通过微创技术,首先钢丝用于实现骨折的良好对位对线,然后可以很方便的施行逆行髓内针技术

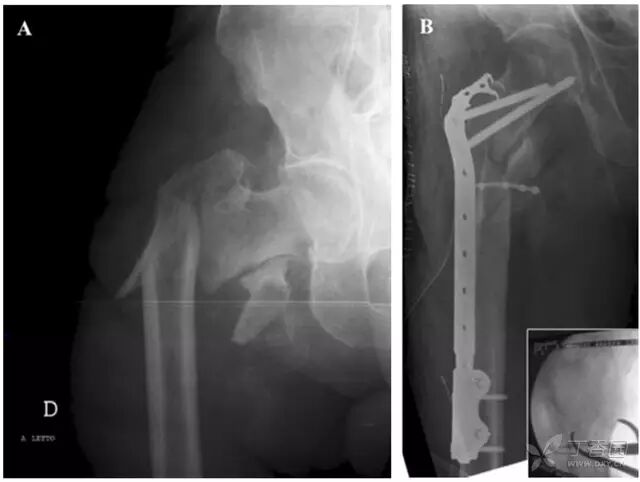
图 3 A 一名 80 岁女性患右侧股骨干骨折(AO31-A1 型)。B 在进行 PFNA 治疗之前首先实现骨折的解剖复位,然后用单根有限接触式钢丝固定;C 术后 70 天随访显示骨折顺利愈合
股骨假体周围骨折,尤其是最常见的 Vancouver 分型 B1 型骨折,给治疗带来很大挑战。由于保守治疗往往无法取得良好的治疗结果,手术治疗通常是此类骨折(不稳定性假体周围股骨骨折)的不二选择。
钢丝捆绑术是治疗不稳定性假体周围股骨骨折的常用方法,但是单用钢丝捆绑技术治疗失败率很高,而且钢丝的强度通常也不足以满足功能锻炼的需要,因此它应定位于作为骨折复位工具以及改善初始固定强度 [3]。锁定钢板可以提供充分的稳定。因此目前临床上通常采取钢丝捆绑联合锁定钢板固定。
经皮钢丝捆绑联合微创钢板固定技术(MIPO)允许减少并发症以及扩大显露(图 4 所示)。Xue 等 2011 年在 J Arthroplasty 杂志上报道他们采用经皮钢丝捆绑联合微创钢板固定技术(MIPO)治疗 12 例 Vancouver 分型 B1 型假体周围骨折,取得良好的临床结果。并且与传统治疗方法相比,减少了并发症发生率 [4]。

图 4 A 81 岁老年女性,患右股骨 Vancouver B1 型假体周围骨折;B 采用滑动钢板联合多根钢丝捆绑固定
开放钢丝捆绑术是一项大家所熟知的手术技术,但是这项技术术中要求较大范围的显露。
-
传统的钢丝导向器是通过一个半环导引绕过骨皮质外侧便于插入钢丝,但软组织剥离范围较大(图 5 所示);
-
另一种常见的钢丝导入方式是利用一个带两个半环的导入器,可减少软组织的损伤(图 6 所示)[5];
-
还有一种经皮钢丝导入技术则是通过关节镜下推进头端;
-
这里介绍一种更微创的经皮钢丝捆绑术:
在垂直于股骨干骨折线的皮肤表面做两个 0.5 cm 的纵行皮肤切口,插入两把分离式半弧形导线钳(图 7 所示),导线钳在骨表面推进并于股骨对侧会合,然后将两个小切口稍延长合并成一个切口,此时导入钢丝并在维持骨折复位情况下收紧锁死 [6]。

图 5 所示的传统半环式钢丝导入器,软组织剥离范围较大,操作不便
![]()

图 6 所示的双半环式钢丝导入器,减少了软组织损伤



图 7A 所示的经皮导向器包括两个独立的部分,但又能组合在一起使用;B 当两个部分(半弧形的钳子)闭合时,尖端将重合;C 术中可以看见切口很小
骨的血运对骨折愈合的重要性不言而喻。很多临床医生至今仍然认为钢丝捆绑会破坏骨折端的血运,这种想法大致基于以下几种可能的机制:
①钢丝直接勒紧骨表面;
②钢丝限制了骨膜的血运;
③安装钢丝时,类似「绑线带」(图 8 所示)的滑动作用。

图 8
1. 钢丝直接勒紧骨表面?
其实任何在骨表面的内固定物理论上都会影响血运,而钢丝捆绑在骨表面只是占据了很小的一点空间,因此对血运的影响应该是微小且可控的。
钢板的发展史就是通过减少骨接触面积实现减少血运破坏的目的。与钢板类似,人们也想出很多方法来减少钢丝捆绑的骨接触面积。
如图 9 所示,在钢丝上设计凸起物或锯齿以减少骨接触面积。拧麻花状设计也有助于减少骨接触面积。

图 9 所示,在钢丝线缆上设计这种凸起,使得原先的环形骨面接触变为点接触,通过缩小接触面积减少对血运的破坏
2. 钢丝限制了骨膜的血运?
众所周知骨的血运是呈放散状从髓内流至骨膜的,然后再汇入静脉系统。在骨膜外有大的纵向走行的静脉,似乎钢丝捆绑会对血运造成一些影响。
然而 Apivatthakakul 等 2013 年在 Injury 上发表一篇文章提示,经皮钢丝捆绑术对股骨的血运几乎没有影响 [7]。其他几篇研究也表明,捆绑术并没有限制骨皮质的血运。
临床中,随着时间的推移,常常可以发现钢丝被骨皮质所包裹。同时,在钢丝周围也发现骨皮质的再血管化。2005 年,Nather 等学者得出结论,以往的对于钢丝捆绑术的使用禁忌已经显然不合时宜了,这一说法也继续得到最近一些研究的确认。
对于那些无移位骨折的愈合,骨膜内血液循环为骨折端提供了主要的血液供应。对于大多数的假体周围骨折,髓内血供会受到内固定物的影响,捆绑术被认为会对骨膜血供造成一定破坏。Wilson JW 发现,骨膜外放置内固定相对骨膜内放置对血运的破坏较小。但有趣的是,2 年后两者就没有明显差别了 [8]。
3. 绑线带效应?
当钢丝在骨表面滑移,有学者称之为「绑线带效应」,认为能够对骨膜血运造成破坏,但目前还没有研究对这一现象进行研究分析。为了避免可能的不利结果,我们还是应尽量使用那些带凸起物的有限接触式钢丝比较合适。
综上所述,钢丝捆绑在骨折固定中并不是不可逾越的禁忌。影响骨的血运导致骨折不愈合的顾虑,就目前的文献来看,证据不足,反而有不少证据支持使用钢丝捆扎。当然,使用新的材料和技术,合理使用钢丝,仍是我们值得注意的。
本文来源:丁香园骨科时间
作者:黄哲元









