一,肱骨近端骨折的特点:
1,占所有骨骺损伤的3%
2,青少年中更为常见
3,多为Salter-Harris I型或II型损伤
4,肱骨80%的生长来自近端骨骺
5,可能伴有盂肱关节脱位
二,常见骨折类型:
分娩损伤→ 多为Salter-Harris I型
0-5岁 → 主要为Salter-Harris I型
5-11岁 → 常见干骺端骨折
11岁至骨骼成熟期→ 主要为Salter-Harris II型
其他类型(III、IV型)较为罕见

Neer-Horwitz分型:
Ⅰ级:移位小于5毫米
Ⅱ级:移位介于5毫米至肱骨干直径的1/3之间
Ⅲ级:移位介于肱骨干直径的1/3至2/3之间
Ⅳ级:移位超过肱骨干直径的2/3

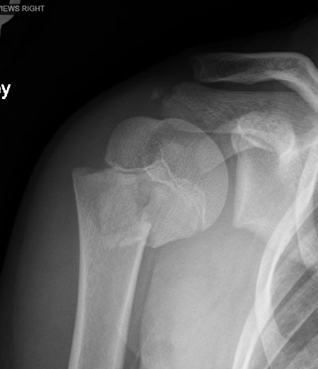
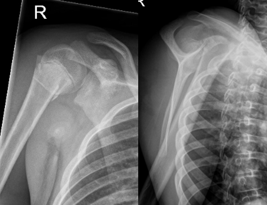
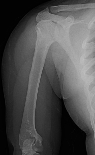
三,常见骨折移位形态:
近端骨折块:处于屈曲、外展并外旋位 (受肩袖肌群牵拉)
远端骨折块:向前内侧移位、短缩并内收 (受胸大肌、背阔肌、大圆肌牵拉)
必须拍摄肩胛骨Y位片以评估向前移位情况

四,骨折的治疗:
-
多数可采用非手术治疗:大多数10岁以下儿童因生长潜力充足,即使严重移位骨折也可通过塑形自行矫正
-
手术干预指征:适用于13岁以上青少年患者,若成角超过30度或移位大于50%
-
必需手术治疗的情况:
-
开放性骨折
-
多发伤患者
-
合并血管损伤
五,保守治疗
可接受的复位标准:
-
<5岁:成角≤70度,可接受100%移位
-
5-11岁:成角40-70度,移位50%-100%
-
>12岁:成角<40度,移位<50%
复位手法
-
纵向牵引
-
外展至90度
-
外旋
注意:嵌顿的骨膜或肱二头肌长头腱可能阻碍复位
肩关节固定方式
-
吊带加胸臂固定带
-
悬垂臂石膏
-
颈腕吊带

康复计划
-
2周后开始轻柔钟摆运动
-
4-6周后可开始过顶活动
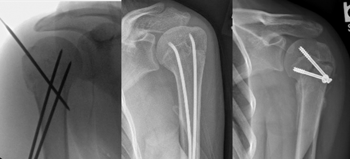
六,手术治疗:
-
经皮穿针固定
-
弹性髓内钉固定
-
空心螺钉固定
-
钢板内固定

固定方式选择
-
目前尚无公认的最佳固定策略
-
建议根据具体病例情况个体化选择固定方式
-
需综合考虑患者年龄、性别、骨折移位程度及骨骼重塑潜力等因素
七,并发症:
-
疼痛、肌力减弱、活动度丧失
-
骨骺早闭
-
Salter-Harris I或II型骨折发生率约11%
-
Salter-Harris III或IV型骨折发生率约33%
-
肱骨短缩
-
内翻畸形
-
神经血管损伤

文献来源:OTA官方。
-END-









