2025-08-31
2025-05-19
2024-07-29
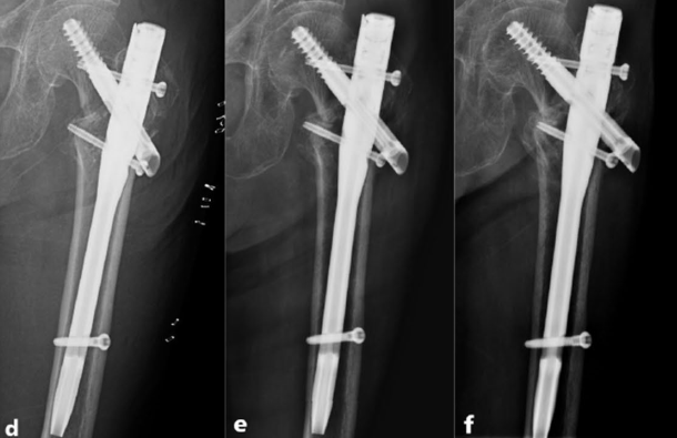
近年来,来自北医三院周方教授团队提出的PFUN,即proximal femoral universal nail system,股骨近端通用髓内钉系统,旨在通过增加内外侧壁的额外固定,即增加小转子螺钉,大转子冠状面螺钉或外侧钢板等,同时重建内外侧壁稳定性:
▲ 图A所示为PFUN系统中,小转子螺钉(c)与外侧壁螺钉(b),图B所示冠状面螺钉(c)。
▲ 图C所示为小转子螺钉(c)与外侧壁钢板(d);图D所示为PFUN三维力图模型。
那么,您认为PFUN在粗隆间骨折的内固定上,与传统内固定相比,有优势吗?
-END-
声明:本文转载自<骨科青年>,版权归原作者所有,仅用于学习交流,如有侵权请联系删除









