长管状骨骨折多见于高能量暴力损伤,且常存在“蝶形骨块”,或非主要的“移位骨块”,在髓内钉内固定主要骨折后,对上述骨块,存在两种处理方案:
-
方案1:不予固定。
-
方案2:小切口切开钢丝环扎固定。
不予固定的原因是骨折具有强大的愈合能力,闭合复位髓内钉固定未破坏局部血运,骨折部位的成骨细胞及活性成分能促进骨愈合;而切开复位可能导致“第一包血”流失,并加重血供破坏。而选择切开复位的原因是尽可能的解剖复位利于骨愈合,且在影像上,环扎复位与不复位相比,可能更能令“医者”和“患者”心安。
本文查阅相关文献,分享“钢丝环扎”是否影响长管骨粉碎性骨折的愈合,是否增加并发症发生率。
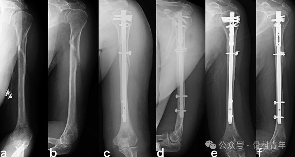
肱骨干“碟形骨块”
肱骨干“蝶形骨块”多见,文献介绍了合并蝶形骨块的肱骨干骨折(a,b),行髓内钉固定后,蝶形骨块未固定(c,d),术后12月出现骨折不愈合(e,f),后经植骨翻修(g,h)。
而一期行钢丝环扎组,则获得了预期的骨愈合。
文章结果表明,对合并蝶形骨块的肱骨干骨折,尽管钢丝环扎或增加手术时间和增加术中出血,但能避免骨不连。提示钢丝环扎有益。
股骨干骨折
文章纳入了37例粉碎性股骨干骨折病例,16例行钢丝环扎辅助固定,21例行单纯髓内钉固定:
文章结果表明,钢丝环扎组,在骨科愈合时间,术后12月和24月HSS评分、HHS评分,骨折愈合率上均存在明显优势。建议对粉碎性股骨干骨折行钢丝环扎辅助固定。
在另一篇对股骨干粉碎性骨折钢丝环扎的固定研究中,尽管在骨折愈合率和并发症上未发现统计学差异,但钢丝组骨折复位较非钢丝辅助复位组好,且并不增加并发症风险。钢丝环扎具有非劣效应。
-END-
声明:本文转载自<骨科青年>,版权归原作者所有,仅用于学习交流,未经授权禁止转载。









