Freiberg 病表现为跖骨头关节面的进展性损害(下图)。它最常见于年轻的女性患者。目前尚未确立标准的治疗方案,因此评估和治疗必须根据每位患者的具体情况而定。
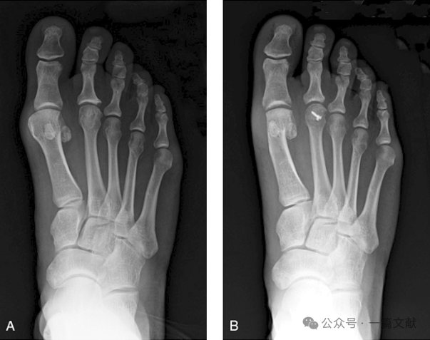
下图A 40岁女性,主诉为第二跖趾关节疼痛,X片显示第二跖骨头部轻度扁平改变。图B为行楔形截骨、螺钉固定术后6月复查X片。
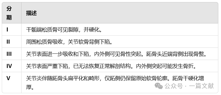
临床常用Smillie分型:
手术技术:
于第二跖趾关节(MTP关节)背侧纵行切开。显露伸肌腱,并将其向侧面牵开。如果趾伸肌腱有瘢痕或挛缩,可以在此时行“Z”形延长。纵向切开关节囊,清除任何炎性滑膜组织和游离体。小心暴露跖骨头和颈部(图A)。
术后康复方案:
患肢支具保护,6周内不负重。尽管有早期负重的报道,但这会增加失败率。术后3周拆线。术后6周后复查影像学。建议逐步负重,先进行1周的脚跟着地,然后在硬鞋中进行1周的50%负重。3个月后允许恢复运动,但患者应注意术后可能会有长达1年的依赖性肿胀。
相关并发症:
任何前足手术都可能导致脚趾血管损伤。术中仔细操作,术后严密观察,并及时采取干预措施。
-END-
声明:本文转载自<一篇文献>,版权归原作者所有,仅用于学习交流,如有侵权请联系删除









