掌侧锁定加压接骨板(Volar locking compression plate,LCP)内固定是桡骨远端骨折治疗的金标准,但LCP并非对所有桡骨远端骨折均适用,如桡骨极远端骨折、背侧缘骨折、掌侧die-punch骨折等;同时,LCP钢板也具有一定的并发症发生率,包括旋前方肌损伤、骨折血运破坏、掌侧软组织激惹、背侧肌腱磨损等,同时对严重骨质疏松患者存在较高的内固定失效风险。
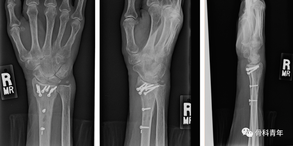
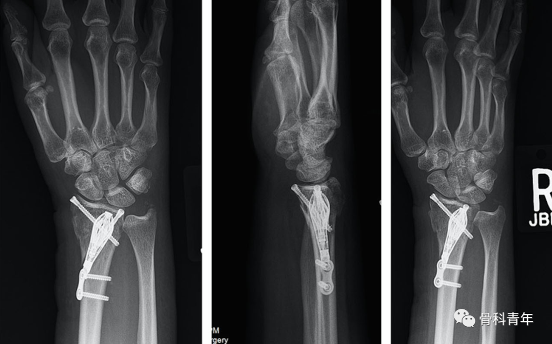
髓内钉技术广泛应用于长骨骨干骨折,闭合或有限切开复位有效降低医源性因素对血运的破坏,并具有良好的轴心固定生物学优势。桡骨远端髓内钉出现较晚,该技术适用于完全关节外骨折及简单的关节内骨折,对关节内粉碎骨折并不适用。
桡骨远端骨折髓内钉固定的前提是闭合复位效果满意,克氏针临时固定后,通过桡骨茎突开口,自腕背侧第1/2间室间隙进入。该技术存在潜在的损伤包括桡神经分支损伤,螺钉穿入下尺桡关节或桡腕关节等。
三、PEEK锁定钢板
PEEK钢板存在以下特性:
-
透视下不显影,利于术中观察骨折复位情况及评估骨折愈合情况;
-
与骨皮质弹性模量相近,避免应力遮挡效应;
-
PEEK材料与金属螺钉,避免冷焊接。
-END-
声明:本文转载自<骨科青年>,版权归原作者所有,仅用于学习交流,如有侵权请联系删除









