1. 一般注意事项
●尺骨骨折解剖复位并稳定固定后,桡骨头通常可随之复位。若后续发现需对桡骨头进行手术,可通过另一切口进行。
●偶尔可将切口向近端延伸为Speed和Boyd入路,通过单一切口增加显露桡骨头的范围。操作时必须注意保护骨间后神经,避免损伤。
●采用单一入路同时处理前臂双骨,会显著增加异位骨化及前臂功能受损的风险。
孟氏骨折脱位
●孟氏骨折脱位是指尺骨骨折合并桡骨头脱位。
●大多数情况下,桡骨头向前或向外侧脱位,向后脱位罕见。
●对于孟氏骨折脱位,必须对尺骨进行解剖复位和稳定固定,以确保桡骨头能稳定复位。
●尺骨手术固定完成后,术者必须确认复位后桡骨头的稳定性,最好在影像增强器下进行检查。
2. 复位与固定顺序
●检查桡骨头的位置,在大多数情况下(>90%)桡骨头可自行复位。术者需确定前臂处于何种旋转位置时桡骨头最稳定。在桡骨头向前外侧脱位后,通常在完全旋后位时桡骨头最稳定。术后夹板固定时,前臂应保持在这一稳定的旋转位置。
●若桡骨头未能正确复位,或在前臂活动(旋前/旋后及屈伸)时发生脱位,可能是由于尺骨干复位不良,或存在软组织嵌入。若确认尺骨复位良好但桡骨头仍脱位,则通过短的外侧入路…
…或延伸为Speed和Boyd入路显露桡骨头(<10%)。10.Speed和Boyd前臂骨干入路(AO官网版)
●尺骨解剖固定后,若桡骨头仍不稳定,通常是由于环状韧带或撕裂的关节囊嵌入,应将其从关节内取出并缝合。
3. 患者准备
4. 尺骨骨折的复位与固定
5. 孟氏骨折脱位
●若桡骨头向后脱位,则采用Speed和Boyd入路缝合背侧关节囊韧带缺损处。
注意事项:桡骨头持续不稳定需注意,尺骨复位不良会导致桡骨头无法充分自行解剖复位和/或出现不稳定。若要恢复前臂的最佳功能,这种情况下需要重新调整尺骨的固定。
6. 内固定核查
确认能使桡骨头获得最大稳定性的旋转位置。术后前臂夹板固定时,前臂应保持在该位置。
7.下尺桡关节(DRUJ)的评估
略。详见最详细的盖氏骨折(Galeazzi 骨折)手术指南(AO官网版)
8. 病例
肘关节CT显示桡骨头向前脱位。
三维CT图像。
术前检查骨间后神经,拇指伸展功能正常。
在屈肌与伸肌之间的神经间平面做尺骨中段切口。标记出尺骨近端和远端。
此处尺骨边缘位于皮下,因此骨折易于显露,图中可见背侧的伸肌和掌侧的屈肌。
用骨钳复位骨折。
由于该骨折为粉碎性且极不稳定,术者决定先应用微型钢板以提供初始稳定性。
已植入微型钢板。其提供的稳定性足以支撑中和钢板的植入。
小钢板已复位骨折近端,骨折钳仍在原位。
此图显示复位钳和固定器已复位两处骨折。注意掌侧和背侧的软组织已小心地保留在骨折块上,以确保血供。
使用很长的锁定加压钢板(LCP)为这一复杂的尺骨中段骨折提供足够的固定。
已完成近端固定,在进行远端固定前,用一把钳子维持复位。
近端和远端均已固定。注意肌肉仍附着在掌侧和背侧表面。仅在50%的螺孔中植入了螺钉。
闭合前的最终固定状态。
正位片显示肱桡关节复位良好。
最终闭合切口。
采用桥接固定联合复位钢板治疗该复杂孟氏骨折。
遗憾的是,骨折部位存在轻微间隙。如果在固定完成后移除小钢板,愈合可能会更快(见下文)。
4周时骨折仍可见,但肘关节复位良好。
4周时肘关节功能的临床影像。
49周时的正位和侧位影像。
49周时的最终临床结果。
9. 术后处理
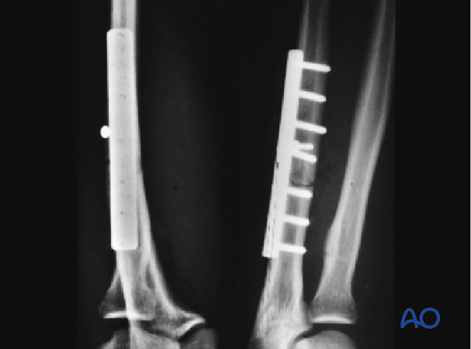
X线检查●应按照当地诊疗规范进行随访X线检查。建议在2周时进行X线检查,确保桡骨头位置保持良好,之后在6周、12周和1年时检查,评估尺骨愈合情况。●若X线显示尺骨愈合进展满意,约术后8周可开始负重。●该病例展示了孟氏骨折术前和术后的X线影像。
术前
术后
1年后
内固定物取出
●对于前臂骨干骨折,内固定物是否取出存在争议。由于尺骨不是负重骨,且取出钢板的手术难度较大,不建议常规取出内固定物。前臂钢板取出术存在较高的神经损伤风险。
●此外,由于存在较高的再骨折风险,大多数外科医生不主张取出前臂的钢板。
目前的一般原则是:仅对有症状的患者取出内固定物内固定物取出时间不早于内固定术后2年。
来源:
AO Surgery Reference
-END-
声明:本文转载自<侠骨入微>,版权归原作者所有,仅用于学习交流,如有侵权请联系删除









