全髋关节置换术 (Total hip replacement, THR) 是开展最广泛的手术之一。它被认为是治疗髋关节终末期骨关节炎最有效的方法。更重要的是,如果手术操作得当,它能显著改善患者的生活质量,解除疼痛并恢复降低的活动范围。
本期文章指出在术后X线片上可以轻松测量的假体位置组成部分,并说明如何解读所得结果。多种机械因素,如旋转中心 (center of rotation, COR)、股骨偏心距 (femoral offset)、髋臼偏心距 (acetabular offset)、髋臼倾角 (acetabular inclination, AI)、髋臼前倾角 (acetabular anteversion) 和下肢长度差异 (leg length discrepancy) 都可以在术后X线片上测量。为了确保手术成功并获得令人满意的放射学和临床结果,正确的假体放置至关重要。任一部件位置不当,在不同程度上都可能导致脱位或再次手术。
所有测量方法均适用于在仰卧位拍摄的X线片,源片距为100-115厘米,X线束指向耻骨联合中点并垂直于患者。
 
 
旋转中心(Center of rotation, COR)
THR的目标之一是重建旋转中心 (COR)。研究表明,恢复COR是影响手术结果的极其重要的因素。它应在健侧正常位置的内侧5 mm和上方3 mm范围内重建。如果无法达到最佳重建,则精确控制髋部偏心距的能力将受到限制。将COR向上或内侧移位超过1厘米会导致早期松动放射学征象。COR位置不当可能导致步态异常、外展肌功能不足、撞击和脱位风险增加。此外,良好重建的COR可减少失败和翻修手术的数量[4]。正确的COR位置可降低下肢长度差异的风险。
Ranawat法是一种古老但至今仍适用的确定COR的方法。要在骨盆前后位 (anteroposterior, AP) X线片上确定旋转中心,必须画两条水平线:一条在髂嵴 (iliac crests) 水平,另一条在坐骨结节 (ischial tuberosities) 水平。这两条线必须通过一条垂直线连接,该垂直线穿过一个点,该点位于Köhler线和Shenton线交点外侧5 mm处。点B和点C位于沿髋臼杯软骨下顶 (subchondral roof of the cup) 水平的水平线上。点B距离点A和点C相等。COR位于AC线长度的一半处。
 
 
 COR的确定。 A. 位于Köhler线和Shenton线交点外侧5 mm的点; B. 位于髋臼杯软骨下顶水平的水平线上的点;距离点A和点C相等; C. 位于髋臼杯软骨下顶水平的水平线上的点; D. 位于AC线长度一半处的点。
股骨偏心距 (Femoral offset)
股骨偏心距定义为从股骨头旋转中心 (COR) 到平分股骨长轴的直线的距离。恢复的股骨偏心距通过改善髋关节的屈曲和内旋来增强生物力学,例如外展肌力和活动范围 (range of motion, ROM)。
此外,在健侧正常值5 mm范围内恢复股骨偏心距可减少聚乙烯衬垫的线性和容积磨损。未能将偏心距恢复在 < 5 mm 范围内可能导致疼痛加剧和关节恶化。偏心距减小会降低软组织张力,并易导致脱位。根据研究,位置良好的股骨偏心距可能是防止THR术后脱位的关键机械因素。然而,目前仍未确定哪些股骨偏心距值是翻修的指征。
 
 
 股骨偏心距测量。 A. 穿过COR的线;B. 平分股骨长轴的线
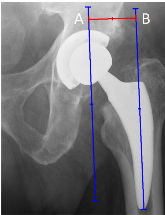
髋臼偏心距 (Acetabular offset)
髋部偏心距不仅仅是股骨偏心距。还有另一个组成部分——髋臼偏心距,不应被忽略,因为其值因人而异。髋臼偏心距是从COR到四边形板内侧壁的距离。它测量为旋转中心与同侧泪滴点 (teardrop) 之间的垂直距离。未重建的髋臼偏心距会降低体重的力臂。结果,臀中肌和臀小肌的作用线变得更垂直。
 
 
 髋臼偏心距测量。 A. 穿过四边形板 (quadrilateral plate) 内侧壁的线; B. 穿过COR的线
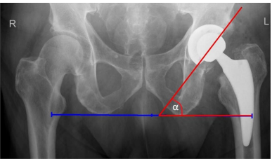
髋臼倾角 (Acetabular inclination, AI)/外展角
髋臼倾角也称为外展角 (abduction angle)。放射学AI在前后位X线片上测量。它是经坐骨结节线 (transischial line) 与穿过臼杯边缘的线之间的夹角。AI影响活动范围和髋臼部件的磨损。当外展角小于45°,屈曲和外展会减少。另一方面,AI超过45°会减少外展和旋转。当AI超过45°时,髋臼聚乙烯的磨损也会更高。如果没有进一步的研究,无法明确说明AI的安全范围是多少。
 
 
 髋臼倾角测量。α - 经坐骨结节线与穿过臼杯边缘的线之间的夹角
髋臼前倾角 (Acetabular anteversion)
前倾角 = arc sic (tan α) (注:原文公式表述可能不完整或有误,常见公式为 Anteversion = arcsin (短轴/长轴) 或使用 tan 函数计算角度)α 是椭圆长轴与连接长轴和短轴端点的向量之间的夹角。在平面上,椭圆位于臼杯边缘。
臼杯的定位影响脱位风险。研究人员对于髋臼前倾角的真正安全区范围尚未达成共识。根据Lewinnek安全区理论,臼杯前倾角应定位于5°至25°之间,以最小化THR术后脱位风险。但实际上,最近的研究表明,无论是AI还是髋臼前倾角,都没有真正的安全范围。
前倾角值可用于监测髋臼移位。术后X线片上超过1.59°的前倾角变化是臼杯松动的早期征象,可能表现为髋部疼痛。
 
 
 Liaw髋臼前倾角测量法。α — 椭圆长轴与连接长轴和短轴端点的向量之间的夹角。
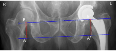
下肢长度差异 (Leg length discrepancy)
下肢长度差异是THR术后最常见的并发症之一。肢体延长比缩短更常见,并且患者更容易察觉。根据研究,当手术肢体延长超过6 mm或缩短超过10 mm时,患者会感知到下肢长度差异。然而,最大的问题是超过10 mm的不等长,因为它们影响日常功能。它们可能导致步态异常、不稳、坐骨神经痛和背痛。此外,延长超过10 mm还会伴随其他并发症:跛行、骨盆倾斜和幻灭感。
在前后位X线片上,下肢长度差异表示为穿过双侧泪滴点下缘的直线到相应小转子尖 (tip of the lesser trochanter) 的垂直距离之差。
 
 
 下肢长度差异测量。A 和 A' 位于小转子尖水平。 B 和 B' 位于泪滴点下缘水平。 AB 和 A'B' 线是穿过泪滴点下缘的直线到相应小转子尖的距离。 AB 与 A'B' 长度之差即为下肢长度差异。
-END-
声明:本文转载自<骨创伤笔记>,版权归原作者所有,仅用于学习交流,如有侵权请联系删除








 
 

 
 