DDH or not?
DDH or not?
一、诊断
1、早诊断、早治疗。
先髋除了明显的高脱位、髋臼呈浅碟型、髓腔狭小及前倾角大外,在临床X光片上,常用所谓的CE角( Center-Edge angle)来判断是否为先髋或高脱位的风险,标准如下:
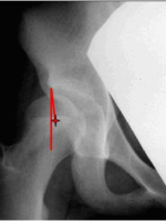
中心边缘角(CE角)随访病例时常需测定股骨头进入髋臼的程度,伟氏(Wibeng)取股骨头中心为一点,髋臼外缘为一点,连此两点成一直线。髋臼外缘作垂直线向下,两线成钝角于髋臼外缘称边缘中心角。或者从股骨头中心至髋臼外缘做一直线CE,另做一线CD垂直于两侧股骨头中心点的连线,两线的交角即为中边角,也称为CE角。正常4-13岁CE角约20度,此角正常范围为20~46°,平均35°;15~19°为可疑;少于15°,甚至负角,表示股骨头外移,为脱位或半脱位。



除了CE角,还有一些其他角度测量。

b、髋臼角 双侧Y形软骨中心连线与髋臼面上下缘连线所形成的夹角。正常时,新生儿30度,1岁以后不应超过25度,2岁20度,成人10度,先天性髋关节脱位时,该角度增大。该角反应了髋臼顶的倾斜程度。
d、Sharp角 双侧泪滴线与经泪滴下端至髋臼外上缘的连线所成的角,正常约为30---40度,该角反应了髋臼的倾斜程度,大于40度时表示髋臼发育不良。
另外髋臼覆盖率也可以一定程度反应髋臼覆盖程度 股骨头受髋臼覆盖部分的横径除以股骨头的横径,正常时应大于0.75,反应了股骨头与髋臼的匹配关系。
先髋的临床分类: Crowe I-IV
原则上是看股骨头位移的距离和股骨头原来高度的比例,但因为先髋的股骨头大都已经形变,所以通常是用宽股的1/5来当作股骨头的高度,所以如下图,以泪眼滴位置当做正常股骨头的低点,在把下在股骨头的低点标示出来,两者的距离(A)代表股骨头位移的距离,髋骨高度(B)的1/5或是0.2倍是股骨头原始高度,所以标准如下:
-
Crowe I: A/ 0.2B<0.5,股骨头位移距离小于原来股骨头高度的50%;
-
Crowe II: A/0.2B=0.5-0.75,股骨头位移距离占于原来股骨头高度的50-75%;
-
CroweIII: A/0.2B=0.75-1,股骨头位移距离占于原来股骨头高度的75-100%;
-
CroweIV: A/0.2B>1,股骨头位移距离大于原来股骨头高度的100%。
Crowe先髋分型如下图:


先髋的第二种常见分类
先髋的分类除了Crowe I到IV,临床许多医师因为此分类比较详细而需要测量,所以临床上还用另一种分类,叫Hartofilakidis 分类,记得中国有30%的髋关节置换式先髋,我们要会在X光片上判断,Hartofilakidis三种分类如下:
Hartofilakidis A型
A型先髋患者,股骨头都还在原本髋臼杯内,只有髋臼和股骨头软骨的磨损产生退化性关节炎。

Hartofilakidis B型
B型先髋患者(俗称低脱位先髋),股骨头部分在原本的髋臼内,若股骨头超过50%在原髋臼内叫B1型,低于50%叫B2型。

Hartofilakidis C型
C型先髋患者(俗称高脱位先髋),股骨头完全在髋臼外,若产生假髋臼,我们叫C1型,没有假髋臼叫C2,C1和C2的分类除了可以从是否有假髋臼来看,从股骨侧也有明显的差异。

下图可见假髋臼和髂骨骨赘

二、治疗原则
1、早诊断、早治疗。
2、方法因年龄而异,其结果亦因年龄而不同,不能期望某种手术方法可以解决DDH中存在的广泛病理变化,而是依据每一例具体情况,恰当选择、合理应用、取长补短,加以发挥和改进,才能保证预期效果。
3、术后有计划的关节功能训练和肌肉力量训练对治疗结果甚为重要。
4、治疗的最终目的是恢复股骨头与髋臼间稳定的同心圆关系,恢复良好的髋关节功能。
三、治疗年龄与预后
1、年龄与预后分析:
新生儿——可期望获得完全正常的关节发育;
1岁以内—— 90%以上可获得正常的关节功能;
1~2岁—— 保守治疗的最后时间段,可获正常的关节功能;
2~8岁 —— 髋关节重建性手术,大多数关节活动正常;
8岁以上 —— 积极治疗,髋关节补救性手术,相当比例的病人关节活动受限。
2、年龄与治疗方法选择:
六月龄内:宽尿布、连衣挽具
一岁半内:内收肌、髂腰肌切断,闭合复位
两岁以上:切开复位,髋关节重建手术
十岁以上:挽救性手术
四、保守治疗
保守治疗方式多样。不论何种方式均应手法轻柔,防止头骺分离;还应避免过多的复位-脱出试验,以免缺血坏死。
1、新生儿-婴儿:宽尿布、连衣輓具,髋关节维持在屈曲、外展位,可逐渐复位。
Pavlik吊带
Pavlik是一位捷克斯洛伐克的骨科医师,发明并推广布吊带治疗小婴儿DDH。1958年他首次报告治疗效果。介绍1912例DDH用吊带治疗。目前这种方法已成为全球标准疗法。
2.一岁半以内:麻醉下闭合复位,常规行双侧内收肌松解、患侧髂腰肌腱切断。复位后髋关节处于外展70度、屈曲90度、外旋60度固定,若稳定则采取简易方式、不稳定则以传统蛙式石膏固定。
A、固定时间:蛙式位三个月(外展<70度!),内旋外展位(解放膝关节)三个月。
B、负重行走的条件:去固定后三个月拍片证实无股骨头缺血坏死,方可负重行走。若存在AVN,宜每三月复查,直至完全恢复。
C、具体复位方法:面对患者,术者右手握持住左侧脱位的膝部,屈髋屈膝牵引、同时左手示-小指按住髂前上棘对抗牵引,拇指抵在患髋的大转子上。术者右手维持牵引、屈髋外展外旋,同时左手拇指按压大转子,一般可感觉复位的弹跳及弹响。
3、保守治疗的并发症:
①再脱位:关节松弛、固定不佳
处理:如再次复位仍失败,考虑行切开复位。
②骨折:可出现股骨头骺分离、股骨颈或转子间骨折、股骨远端骨折等。原因为复位暴力大、更换II期外固定因骨疏松发生废用性骨折、髋关节功能训练时施以暴力等。
处理:首先治疗骨折,待愈合后再治疗脱位。
③股骨头缺血坏死:蛙式位外展过大、髂腰肌松解不彻底。
处理:禁止负重。恢复需要一至两年。
后遗症:头膨大-髋臼成型,解决头臼包容。髋内翻-外展截骨、大转子下移术。
④神经损伤:股神经、坐骨神经损伤,多因过度牵拉导致。
处理:可手术探查。
五、手术治疗
手术治疗方法很多。每一种术式均有其优缺点,要依照DDH广泛的病理变化,选择适当的手术方法,才能获得满意结果。一定要充分认识术前准备和术后处理的重要性,否则会导致手术失败。
术前应了解的情况:
1、双髋X线平片、CT及三维重建;
2、测量:髋臼指数、CE角、前倾角、颈干角、脱位的高低;
3、股骨头形态、血运情况,有无缺血坏死;
5、髋关节活动度;
6、复位的难易程度;
7、正确估计头臼之间的关系;
8、髋臼与股骨头、颈的塑形能力:
5岁以下塑形能力强,8岁接近极限。
术前准备:
1、各项检查;
2、向家长说明手术利弊关系、手术合并症及并发症;
3、配血400~600毫升;
4、驱虫治疗(蛔虫可致术后空腹腹痛,与石膏综合征混淆);
6、抗菌素的应用。
术中需要考虑的问题:
1、髂腰肌一定要松解,否则复位困难,且影响股骨头血运;
2、彻底松解关节囊周围粘连肌肉,尤其臀肌,否则有向上脱位的趋势;
3、肥厚的圆韧带切除;
4、解决盂唇内翻:不同点的放射状切开或部分修薄。不能全部切除,避免降低对头的包容。
5、彻底松解下关节囊或行部分切除;
6、臼横韧带松解或切除:一般脱位后均存在臼横韧带挛缩,若不解决,股骨头不能中心复位;
7、冗余关节囊切除:外上方关节囊需要紧密缝合,以消灭囊腔、防止再脱,尤其对于关节松弛症患者;
8、纠正前倾角:脱位后臼对头失去约束、股骨近端前倾加大,可达70度;另一方面头对臼没有刺激、髋臼前缘发育差。
9、股骨短缩:易于复位且可减少股骨头的压力、降低缺血坏死发生率。短缩长度以头骺中心至髋臼中心之距+0.5cm为最适宜。
10、髋臼成形:髋臼指数大、头臼包含不佳,均是再脱位的原因之一。故需行髋臼成形术。
术后注意事项
1、抗菌素应用:DDH术后感染后果严重,功能障碍明显。强调严格执行无菌操作、无创操作以减小创伤、充分止血、尽量缩短手术时间。
2、激素的应用:激素可提高应激反应能力、减少渗出,促进能量代谢,提高神经系统兴奋性。与大量抗菌素联合应用可降温、抗炎抗中毒性休克,缓解症状。
地塞米松Dexamethasone 2.5~5mg/次,1~2次/日静点;常用量5mg/日,连续3~4天。
3、血容量的维持:小儿循环储备能力低,少量失血即可造成休克:婴幼儿30ml=成人500ml。
髋脱位手术创面大、截骨面多,术中术后渗血量较大。因而术中应操作仔细、止血彻底,严格计算失血量、及时补充。
术后血红蛋白一定维持在100g/L以上,若血红蛋白低则抗感染能力、伤口愈合能力、新陈代谢能力均低下,精神、食欲差,对术后恢复很不利。
术后第二天低于100g/L,一定及时补充。
4、石膏固定时间及复查时间:
关节囊切开复位的石膏固定时间,依年龄而不同:
①<5岁固定6周、去石膏禁负重功能训练;术后三个月、半年复查,X片无缺血坏死发生可负重行走、2~3月后再次复查头的血供情况;术后一年取出钢板、一月后拍片证实钉孔愈合后,方可负重。之后每半年复查、观察两年后改为每年复查一次,直至上学且免体育活动。
②5 岁以后,单髋人字固定三周,双下肢外展皮牵引三周:每周内收10度、三周后达中立位。术后三个月、半年复查,X片无缺血坏死发生可负重行走、2~3月后再 次复查头的血供情况;术后一年取出钢板、一月后拍片证实钉孔愈合后,方可负重。之后每半年复查、观察两年后改为每年复查一次,直至上学且免体育活动。
CroweIII-IV的先髋常见的粗隆下截骨术:
1) 先在X光片上测量需拉下股骨头旋转中心的距离,并在术中判断软组织松解后,是否可拉下此距离,此距离就是粗隆下截骨大约的高度(黄线)。

2) 股骨锉至最适合的大小,并在远端使用较小的股骨钻多钻100px。

3) 打入相对应的股骨假体。

4) 测量需拉下股骨的距离,达到重建髋臼的旋转中心,并和术前计划比较。

5) 在小转子下截骨,并尽量接近需拉下的距离。

6) 将股骨复位拉下,并使截骨后的股骨两侧,靠假体尽量靠近到闭合,若需要增强假体固定,可以在截骨线的上下两端,使用钢缆环扎增强假体稳定。

7) 若截骨处无法闭合,可使用自体移植骨(截骨块)增加固定和骨生长的效果。

-END-
声明:本文转载自<润心骨科>,版权归原作者所有,仅用于学习交流,如有侵权,请立即联系我们处理。内容仅代表作者个人观点,望大家理性判断及应用。









