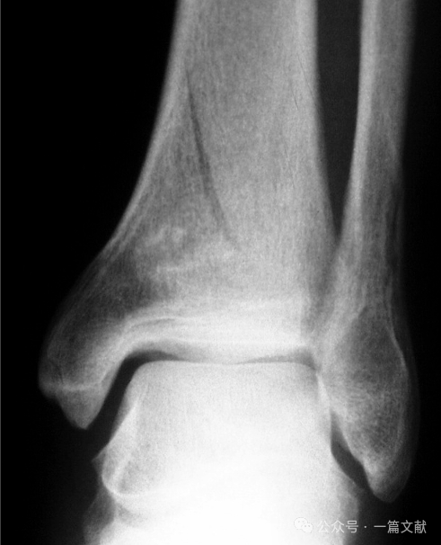
无关节面压缩,属于踝关节骨折向Pilon骨折过渡类型;
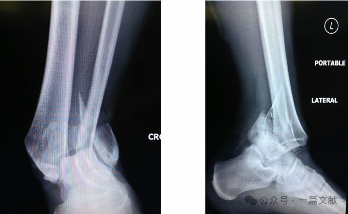
滑雪靴或滑板运动损伤;始于关节外,可能螺旋延伸至关节内;
开放性骨折和严重软组织损伤的风险较小。
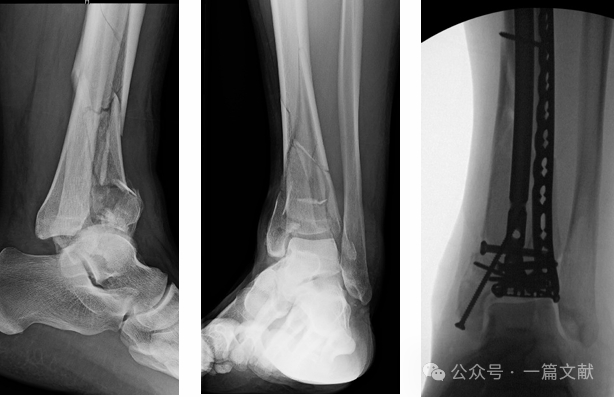
如下图:
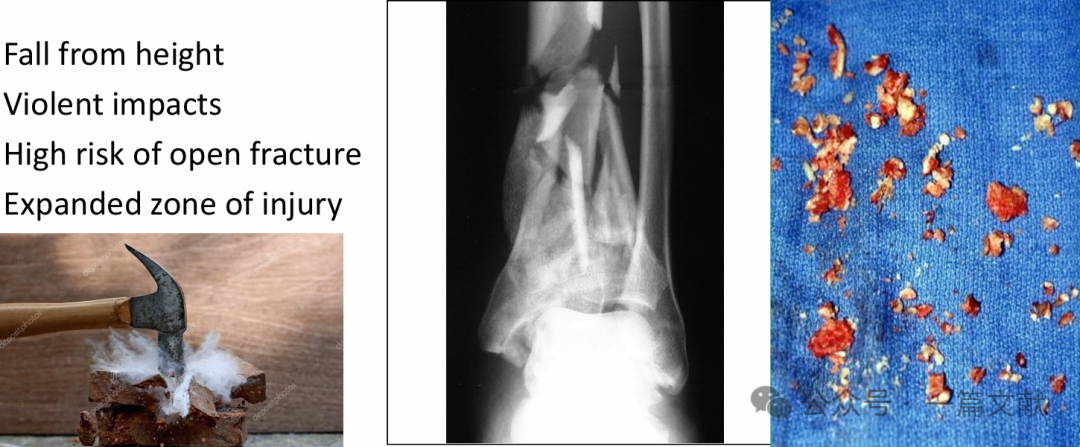
多见于高处坠落、剧烈撞击;
开放性骨折概率高,损伤范围广泛。
4.1软组织评估:检查皮肤、肌肉等损伤情况
4.2神经血管评估:确认肢体远端血运及神经功能
4.3复位骨折:恢复骨折对位对线,改善血供并缓解疼痛 ,减轻软组织压力,降低继发损伤风险。
5.1 立即静脉输注抗生素, 注射破伤风疫苗;
5.2 骨折复位(临时稳定);
5.3 无菌湿敷料覆盖创口;
5.4 急诊手术:急诊清创术(必要时联合外固定架固定),若条件允许,一期闭合创面,放置引流管。后期可能无二次打开伤口机会,需充分利用首次开放机会彻底处理。
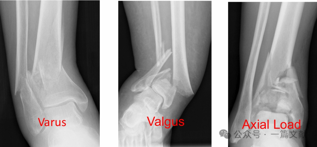
对抗骨折初始移位方向放置接骨板。
内翻畸形 → 内侧支撑
外翻畸形 → 外侧支撑
距骨前/后向移位 → 前/后侧支撑
Pilon骨折常用入路详解(Harborview IllustratedTips and Tricks )
8.1 最少的内固定固定实现最大的稳定;
8.2 Buttress 钢板作用可能优于位置不佳的锁定板;
8.3 可采用经皮螺钉置入
8.4 预塑形钢板并非总是更优,因无法有效贴合骨面
8.5 锁定钢板的适用情况:已复位的小关节骨块;
干骺端粉碎性骨折;骨质疏松患者。
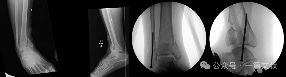
经皮腓骨骨折髓内固定可最大限度保留手术入路选择空间。如下图:
联合拉力螺钉及关节骨块钢板固定时,可为粉碎性骨折区域提供早期稳定性以促进愈合。如下图:
11.1 彻底清创后采用外固定或跨关节克氏针固定术;
11.2 一期闭合伤口;
11.3 待创伤恢复后,彻底清除受损软骨,促进松质骨愈合;
11.4 二次手术行逆行胫距跟关节(TTC)髓内钉固定的关节融合术。如下图:
关节面缺损:
一期行踝关节融合术:
早期活动训练肿胀控制(气压治疗)跟腱拉伸练习8-12周免负重系统物理治疗
-END-
声明:本文转载自<一篇文献>,版权归原作者所有,仅用于学习交流,如有侵权请联系删除









