▲ 图示在背侧骨块的固定上,掌侧螺钉存在劣势。
▲ 背侧组合式螺钉的固定方式,背侧螺钉方向取决于掌侧螺钉的方向,因此在方向上存在确定性,无法自由固定背侧骨块。
该手术方式的原理较为简单,首先,采用常规掌侧入路,钢板螺钉复位主要骨折块;在钢板螺钉固定后,经钢板定位孔或经钢板外,置入2枚1mm克氏针,自掌侧临时固定背侧骨块;

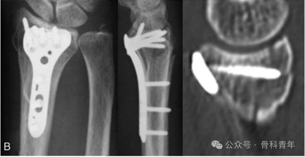
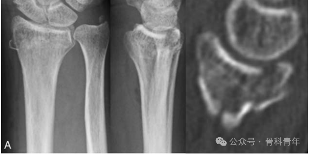
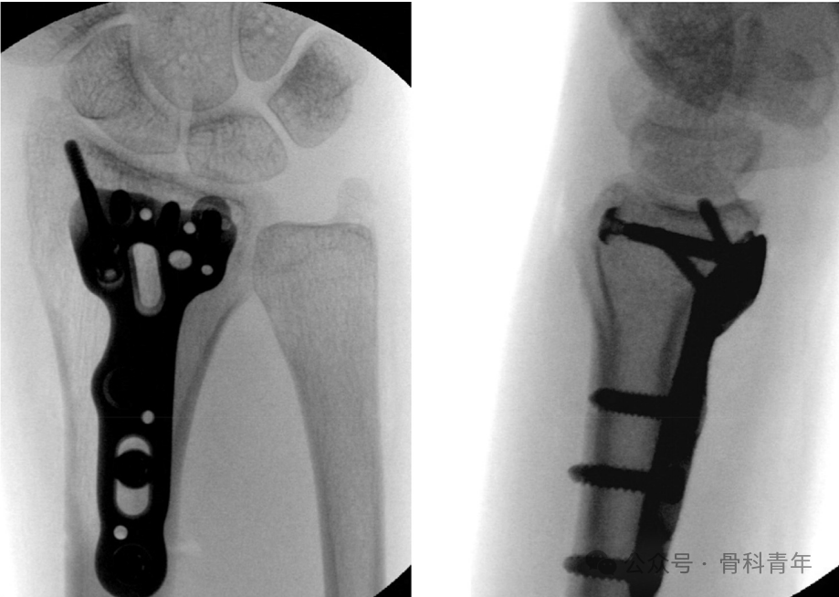
病例示例:
-END-
声明:本文转载自<骨科青年>,版权归原作者所有,仅用于学习交流,如有侵权请联系删除
2025
作者
骨科青年
▲ 图示在背侧骨块的固定上,掌侧螺钉存在劣势。
▲ 背侧组合式螺钉的固定方式,背侧螺钉方向取决于掌侧螺钉的方向,因此在方向上存在确定性,无法自由固定背侧骨块。
该手术方式的原理较为简单,首先,采用常规掌侧入路,钢板螺钉复位主要骨折块;在钢板螺钉固定后,经钢板定位孔或经钢板外,置入2枚1mm克氏针,自掌侧临时固定背侧骨块;

病例示例:
-END-
声明:本文转载自<骨科青年>,版权归原作者所有,仅用于学习交流,如有侵权请联系删除