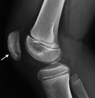
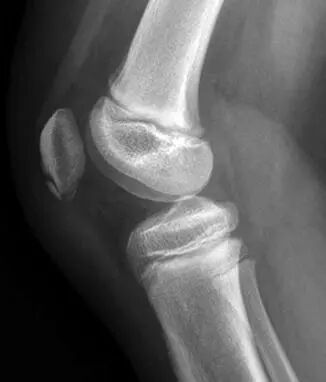
门诊或急诊经常遇到小朋友在玩耍时不慎摔倒,髌骨着地后膝盖疼痛难耐,不能屈膝的情况,查体髌骨周围压痛明显,首选的检查就是进行X线片检查,以进一步明确有无骨折。近期在门诊遇到一位小朋友摔倒后出现髌骨处疼痛感,压痛明显,X线可见髌骨远端骨皮质不规整,此处为髌骨的骨化中心,不要误诊为骨折。
髌骨的骨化变异情况很常见。已骨化的髌骨可能呈颗粒状或结节状;它可能存在硬化区和透亮区。前方的透亮区以及前方表面的横向和纵向嵴尤其常见。垂直裂隙最为常见(图1)。

大多数变异情况是孤立存在的,但它们可能会与多发性骨骺发育异常的表现相似,或者会与髌骨袖套状骨折相混。
髌骨下极的一个骨质病灶可能代表一种正常变异、髌骨袖套状骨折(髌骨下极的急性骨软骨撕脱伤)、Sinding-Larsen-Johansson 病或髌腱病(跳跃者膝)。
正常的副骨化中心可能是单个的,也可能是多个的,并且可能与髌骨分离,也可能不分离。
对于存在膝前部疼痛的儿童而言,磁共振成像(MRI)对做出正确诊断很重要。

图2 髌骨袖套状撕脱骨折,有两大块骨片从骨性的髌骨下极撕脱。注意髌下脂肪垫(霍法脂肪垫)处伴发的软组织肿胀以及髌腱的增厚情况。

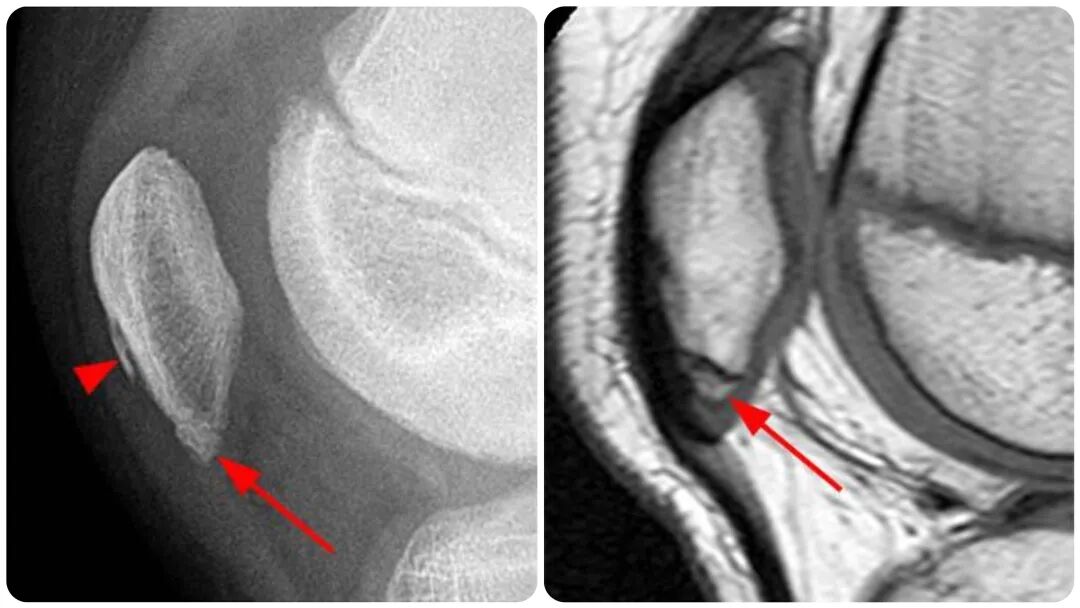
图3 髌骨下极存在撕脱性骨折(长箭头所示)。可见轻度软组织肿胀。髌骨前方的高密度影是一个骨化中心(箭头端所示)。
另一个需要鉴别的情况是Sinding-Larsen-Johansson 病。这种病在10到14岁的儿童中最为常见,表现为膝关节活动受限,同时髌骨下部存在局部压痛和软组织肿胀。
Sinding-Larsen-Johansson 病的影像学表现包括在髌骨下缘出现副骨化中心或撕脱骨片,并伴有软组织肿胀(图3)。其在X线片和磁共振成像(MRI)上的表现基本上与髌骨袖套状骨折难以区分,鉴别诊断依赖于临床病史和体格检查。
图4 一名患有膝前部疼痛的11岁男孩,患有Sinding-Larsen-Johansson 病。(a)髌骨下极有轻微碎裂。(b)矢状位T2加权脂肪抑制(T2-W FS)图像证实了碎裂情况,并显示出轻度骨髓水肿和髌腱增厚。https://radiologykey.com/the-lower-extremity-congenital-and-developmental-conditions/。
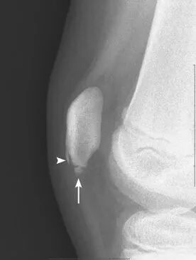
图5:(1a)侧位X线片和(1b)T1加权矢状位图像上显示的髌骨下极正常骨化中心(箭头所示)。同时需注意,在髌骨前表面存在正常的不规则骨化(箭头端所示),在平片上显示得最为清晰。该患者的T2加权图像未显示出提示创伤病因的水肿情况。

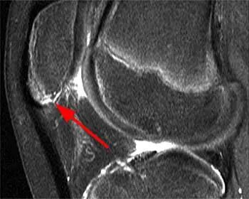
图6-1:一张侧位X线片显示,一名患有慢性膝前部疼痛的12岁男性跑步者的髌骨下极存在一个小的骨化病灶(箭头所示)。

图6-2:在相应的脂肪抑制T2加权矢状位图像上,髌骨下极内的骨髓水肿(箭头所示)清晰可见,这与Sinding-Larsen-Johansson 病相符。https://radsource.us/developmental-variants/
髌骨下极的一个骨质病灶可能代表一种正常变异、髌骨袖套状骨折(髌骨下极的急性骨软骨撕脱伤)、Sinding-Larsen-Johansson 病或髌腱病(跳跃者膝)。对于存在膝前部疼痛的儿童而言,磁共振成像(MRI)对做出正确诊断很重要。









