 
 
  
 
 引言
NO.1
踝关节骨折是最常见的损伤之一。对于不稳定踝关节骨折患者,外踝骨折的解剖复位对实现良好的功能恢复和预防骨关节炎的发生至关重要。Weber B型外踝骨折是最常见的类型,占所有踝关节骨折的42%。传统上,Weber B型外踝骨折的内固定通过钢板螺钉固定实现。然而,钢板固定由于皮肤切口长而具有较大创伤性,并增加了伤口愈合并发症和感染的风险。此外,由于钢板及螺钉激惹不适,钢板固定比单纯螺钉固定需要更多的内植物取出概率。因此,针对Weber B 型外踝骨折的更微创的手术方式被许多医生提出,包括单纯螺钉固定或使用髓内钉。
最近,多枚镍钛合金骑缝钉固定已被报道为一种简单有效的骨折固定和足踝手术方法。
日本学者报道多枚镍钛合金骑缝钉单独固定与抗滑动钢板固定治疗Weber B型外踝骨折的疗效。国内骨科大量钢板、螺钉及髓内钉等集采后,新型的内固定方式(集采外器械,如骑缝钉)也被不少骨科医生采用。本公众号将整理该文献后与骨科同道分享,骨科器械集采之下,可谓群魔乱舞。。。。。。可是,覆巢之下,安有完卵!

图示Weber B型外踝骨折采用抗滑动钢板固定患者的术前和术后正侧位X线片。
手术技术
NO.2
所有手术均在全身麻醉下进行。患者采用仰卧位,取踝关节外侧入路。首先在外踝骨折线近端和远端之间做皮肤切口。皮肤切口一般为3cm左右,并根据需要延长切口。暴露骨折端后直视下使用持骨钳复位骨折端并维持复位,钻孔后在中心位置垂直于骨折线放置镍钛合金骑缝钉进行固定。用单枚骑缝钉固定后移除持骨钳,然后在骨折的后方和前方部位再放置两枚骑缝钉。术后,患者从手术当天起即可在踝关节支具保护下进行耐受范围内的负重。术后12周移除踝关节支具。所有患者术后均咨询物理治疗师进行运动治疗。
图示镍钛合金骑缝钉固定技术。A:初始踝关节外侧3cm左右皮肤切口;B:使用持骨钳复位骨折;C 和 D:钻孔后在骨折线中心垂直放置镍钛合金骑缝钉进行固定;E:单枚骑缝钉固定后移除持骨钳,在骨折后、前部位再放置两枚骑缝钉。
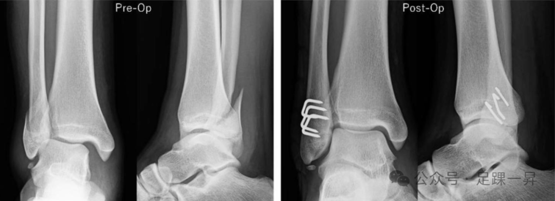
图示多枚镍钛合金骑缝钉固定患者的术前和术后正侧位X线片。
 
 
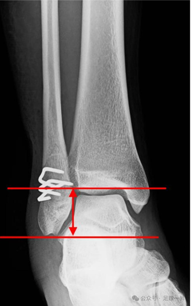
图示术后随访X线测量腓骨长度,腓骨长度为从腓骨尖端到胫骨关节面的距离,用于评估腓骨短缩情况。
结论
NO.3
该研究表明,与抗滑动钢板固定相比,多枚镍钛合金骑缝钉单独固定治疗Weber B型外踝骨折具有皮肤切口更小、手术时间更短、内植物引起的不适更少以及内植物取出需求减少等优点。此外,单纯骑缝钉固定可实现骨愈合且不会出现复位丢失。因此,多枚镍钛合金骑缝钉单独固定可能比抗滑动钢板固定更具微创性,对患者更有益。
-END-
声明:本文转载自<足踝一昇>,仅用于学习交流,如有侵权,请立即联系我们处理!










 
 

 
 