
第一掌骨骨折占所有掌骨骨折的25%,仅次于第五掌骨,其中基底骨折占比高达80%。第一掌骨骨折包括Bennett(斜行关节内骨折)Winterstein(关节外横行骨折)、Rolando(Y/T形粉碎骨折)。因其解剖复杂、生物力学特殊及功能恢复要求严苛,成为手外科治疗难点。
传统切开复位内固定虽能提供稳定固定,但创伤大、软组织干扰多,而克氏针支架技术凭借其微创、灵活、可早期功能锻炼的优势,逐渐成为重要选择。
本文通过7例典型病例,展示克氏针支架在不同类型第一掌骨基底骨折中的应用。
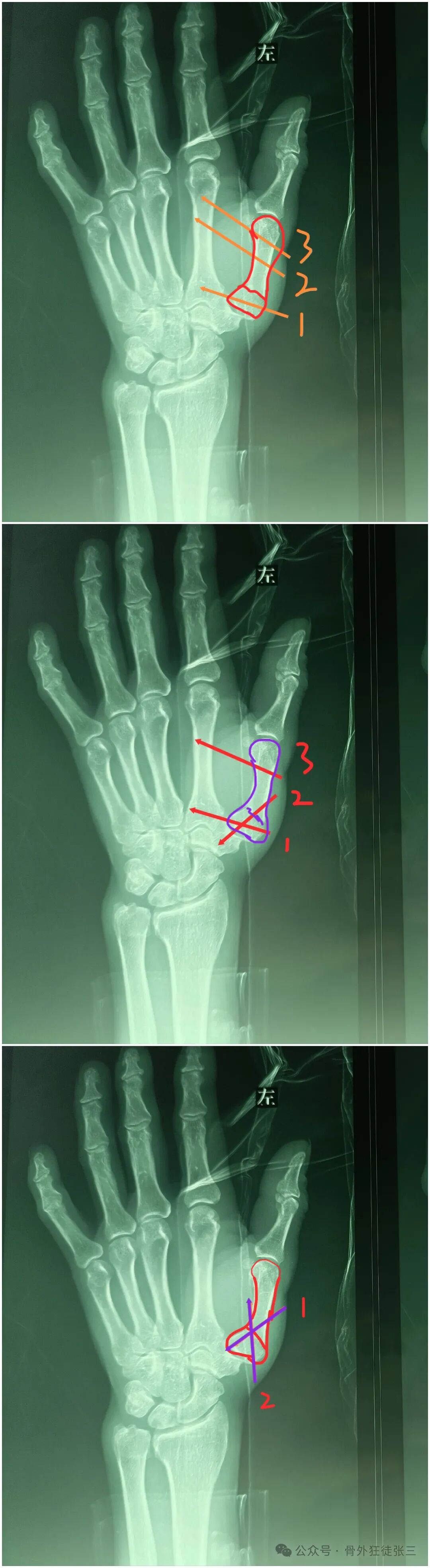
一、Bennett骨折
 
          
           
经皮闭合复位,横向克氏针固定于第二掌骨+斜针固定第一腕掌关节,书上甚至用了两枚细螺钉。
 
          
           
固定方式,采用经皮复位。两枚克氏针(Iselin技术)横向固定,不固定关节,书上原图有一枚斜针固定第一腕掌关节,针尾可以交锁使用小针夹或者骨水泥或者弹力手套等。
个人经验针尾直接折弯可把第二掌骨作为克氏针支架的横杆,足够牢固,针尾再次锁定,意义不大。
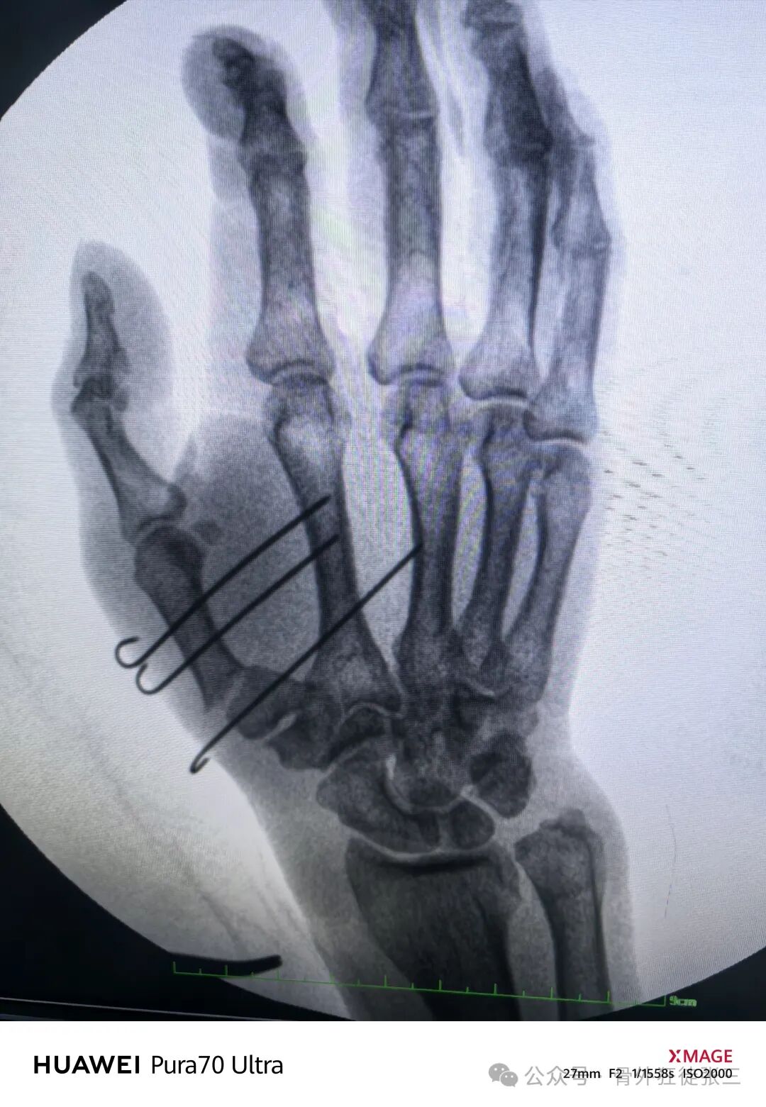
二、Rolando骨折
病例3:
 
          
           
原图用了近端小T板/一枚横向克氏针+远端两枚横向克氏针,我们一般采用闭合复位,近端1-2枚克氏针,远端2枚,撑开虎口,保持外展,维持拇指对掌位。
三、Wintersein骨折 (关节外骨折)
 
          
            
          
            
          
            
          
            
          
            
          
           和书上固定方式几乎一样
 
          
           四、反Bennett骨折
 
          
          病例7:
 
          
          反Bennett骨折+第四掌骨骨折
闭合复位
“隔山打牛”
经皮穿针
最后再次来复习下书本
 
          
           
          
           
          
          
-END-
声明:本文转载自<骨外狂徒张三>,仅用于学习交流,如有侵权,请立即联系我们处理!







 
 

 
 