
引言
踝关节骨折是影响下肢的常见损伤。高达 13% 的踝关节骨折(需内固定的病例中占 20%)合并下胫腓联合损伤 。研究表明,下胫腓联合解剖结构的任何破坏均可导致距骨异常运动,可能增加距骨和胫距关节的应力,进而可能引发踝关节炎。在旋转性踝关节骨折中,由于下胫腓联合韧带断裂或内、外踝移位(分别附着三角韧带和下胫腓联合韧带),可能导致踝穴增宽。因此,手术干预的主要目标是实现骨折的解剖复位,并间接促进损伤的下胫腓联合韧带愈合至解剖位置。
旋转性踝关节骨折的手术策略随时间发生了显著演变。最初,内踝被视为踝穴的主要稳定结构,认为仅解剖复位内踝即可稳定踝关节。然而,Yablon 及其同事的尸体研究挑战了这一观点,表明外踝损伤(骨折或韧带断裂)在踝关节不稳中起重要作用,而三角韧带功能不全和内踝骨折对不稳的影响较小。最近的研究强调了内侧结构对旋转性踝关节稳定性的贡献,形成了当前共识:在下胫腓联合不稳的病例中,固定外踝和内踝(及三角韧带)至关重要。
然而,后踝(PM)固定的作用仍存在争议。传统上,下胫腓联合固定装置用于防止术后联合增宽并辅助韧带愈合。但计算机断层扫描显示,这种方法常导致下胫腓联合复位不良。最近的生物力学和影像学研究强调了后踝骨折块在下胫腓联合稳定性中的关键作用,因其附着于下胫腓后韧带(PITFL),该韧带是下胫腓联合的强稳定结构。因此,越来越多的研究表明,后踝固定可减少对联合固定装置的需求,同时获得相当的临床效果,支持在旋转性踝关节骨折中固定后踝。
图 1. 本图显示下胫腓后韧带(PITFL)附着于胫骨后外侧结节的远外侧缘。F 代表腓骨;PITFL 为下胫腓后韧带;PTFL 为距腓后韧带;T 为胫骨。
基于此,本综述旨在概述三踝固定在治疗旋转性踝关节骨折合并下胫腓联合不稳中的重要性,尤其关注外踝和后踝,因其作为下胫腓联合的组成部分及其紧密的解剖关系。
外踝
腓骨的生物力学作用
腓骨在踝关节稳定性中的作用已被现有科学文献充分记录和广泛接受。腓骨在踝关节被动运动中沿三个平面移动,与关节的一致性和韧带连接密切相关,从而为踝关节提供稳定性。此外,腓骨通过分担胫距关节的负荷参与负重。因此,腓骨在维持距骨在踝穴内的功能位置中至关重要。
多项利用腓骨骨折模型的尸体研究强调了腓骨在正常条件下维持胫距压力的关键作用,尽管不同测试方案存在一定差异。然而,关于单纯腓骨畸形愈合影响的研究有限,多数研究包含三角韧带切断,可能影响距骨移位。Ramsey 和 Hamilton 进行了一项生物力学测试,通过在内侧沟放置垫片使距骨向外侧移位 0、2、4 和 6 mm,测量胫距接触面积。他们发现,距骨外侧移位 1 mm 导致胫距接触面积减少 42%。尽管该研究特指腓骨切除后的胫距关节,但结果强调了维持踝穴解剖完整性以保持正常关节负荷的重要性。
Curtis 等报道,单纯腓骨短缩 2 mm(中位数 9%)及合并 30 度外旋(中位数 8%)时,接触面积减少,而三角韧带保持完整。切断三角韧带后,接触面积减少更显著。Thordarson 等证明,即使腓骨轻微移位(短缩 2 mm、外侧移位 1 mm 或外旋 5 度),也会导致踝关节接触压力增加。其旋前-外旋(PER)踝关节骨折模型包含深层三角韧带纤维断裂。值得注意的是,腓骨移位导致中外侧和后外侧象限的峰值接触压力增加,这与临床观察到关节外侧常为退行性改变首发部位一致。因此,这些研究结果提示,应从长度、旋转和移位角度评估腓骨复位,以防止踝关节退行性改变。
Harris 和 Fallat 发现,三角韧带完整时,腓骨外侧移位比后上移位导致接触面积减少更明显。2 mm 外侧移位导致接触面积减少 55%,4 mm 则减少 77%;2 mm 后上移位导致减少 39%,4 mm 时减少 70%。外侧移位导致的更大减少凸显了腓骨的潜在阻挡作用,具有重要临床意义,表明在初次骨折复位或翻修腓骨畸形愈合时,绝不应允许距骨外侧移位。
最近,Ayala 等研究了模拟 Weber B 型踝关节骨折中腓骨远端旋转不良的影响。他们最小化腓骨远端外侧移位以专门评估单纯旋转的影响,并保留三角韧带完整以模拟稳定的 Weber B 型骨折。研究发现,此类骨折中腓骨平均外旋 19.4 度导致中立位屈曲时胫距峰值接触压力显著增加,跖屈时减少。此外,他们观察到胫距关节接触压力 > 4 MPa 的比例总体增加,该水平可能在循环负荷后促进创伤后骨关节炎的发展。
生物力学研究表明,即使腓骨解剖结构的微小改变也可导致踝关节生物力学改变,且这种改变可发生在无实际下胫腓联合增宽的腓骨骨折中。因此,强调在评估下胫腓联合稳定性前复位腓骨的重要性。此外,必须考虑腓骨的长度、力线和旋转,将其置于最佳解剖位置。
手术注意事项
当腓骨骨折呈螺旋斜形、粉碎轻微时,因暴露后骨折端易于对合,处理相对简单;但当骨折涉及骨干严重粉碎时,尤其在 PER 型骨折或腓骨近端移位(如 Maisonneuve 骨折)中,情况显著复杂。此时,准确确定踝骨的原始解剖位置(长度和旋转)面临挑战,多个骨折块模糊了伤前解剖关系,增加了评估难度。此外,这些损伤模式常伴随的移位和潜在旋转畸形进一步增加复杂性。因此,这些情况需要更复杂的手术方法,要求全面了解踝关节解剖,以确保精确恢复踝关节力线和下胫腓联合稳定性。
这也适用于使用髓内钉固定腓骨骨折的情况,尤其是微创切口入路。腓骨髓内钉固定通常近端固定有限,可能影响轴向旋转稳定性,在处理粉碎性长度不稳骨折时可能面临挑战,需谨慎操作以实现解剖复位。然而,植入物设计的最新进展正在解决这些问题,最近一项研究显示,其临床效果和放射学复位与钢板固定相当。
已提出若干放射学标志作为评估解剖对线的参考点,尤其在可能发生腓骨短缩的情况下。双踝角和胫距角是两个评估腓骨长度的放射学参数,需与对侧未受伤踝关节对比以评估其意义。双踝角(正常范围:72-86 度)由腓骨平行线与踝间线的夹角定义;胫距角(正常范围:75-86 度)由垂直于胫骨远端关节面的线与踝间线的交点形成。已观察到异常腓骨短缩与角度差异呈近似线性相关,1 度角度差异对应约 1 mm 短缩。
图2. A. 双踝角(正常范围:72至86度)由平行于腓骨的直线与踝间线之间的夹角定义。B. 胫距角(正常范围:75至86度)由垂直于胫骨远端关节面的直线与踝间线的交点形成。
Weber 提出踝关节内旋 20 度正位片的三个放射学特征:关节间隙完全等距且平行;腓骨内侧尖应指示胫骨软骨下骨水平(Shenton 线无不规则);距骨外侧关节面轮廓延续为腓骨远端隐窝的连续曲线,腓骨肌腱位于该隐窝内。
侧位片是评估旋转性踝关节骨折的另一重要工具,尤其考虑到此类损伤中腓骨通常发生外旋、近端移位和外侧移位。根据 Xenos 等的生物力学研究,应力侧位片比应力踝穴位片更能诊断下胫腓联合分离,尤其在韧带切断程度递增时。此外,Summers 等描述了通过术中距骨穹隆侧位透视图像结合踝穴位片实现可接受的下胫腓联合解剖复位率,该方法显示腓骨与胫骨的前后关系。
图3. 术中侧位X线片可通过评估腓骨与胫骨的相对位置帮助识别下胫腓联合复位不良。A. 复位不良患者的术中侧位透视图像(如白色方框内的术后轴向CT图像所示)显示,与对侧未受伤侧的前端相比,腓骨相对前移(黄色圆点标记)。通过与未受伤对侧进行双侧对比,可能有助于评估复位的充分性。CT所示为胫骨远端关节面(红色圆点标记)。这与解剖复位患者的图像(如图B所示)不同。
文献中描述了多种旨在实现腓骨解剖复位的技术。毫无疑问,这些技术主要关注如何利用上述放射学参数作为参考点,恢复正常腓骨长度和旋转。在需要矫正腓骨畸形愈合(短缩、旋转或平移)的翻修手术中,除各种牵开方法外,通常还需进行截骨术。然而,在这些情况下,主要目标仍是恢复踝穴的 “正常” 解剖结构。为验证复位充分性,必须与对侧未受伤侧进行对比。
后踝
随着计算机断层扫描的广泛应用,已认识到高达 44% 的踝关节骨折涉及后踝 。尽管发病率高,但后踝骨折的治疗策略仍存在争议,对于需要手术治疗的骨折及固定方法缺乏共识。传统上,骨折块大小是许多外科医生的主要决定因素,影响 25%-33% 关节面的骨折通常作为手术干预的阈值。尽管有人认为小于一定尺寸的后踝骨折块可能无需固定,但新兴证据强调后踝在确保下胫腓联合稳定性中的重要作用。在大多数情况下,后踝骨折块仍附着于 PITFL,该韧带在控制下胫腓联合稳定性中起关键作用。这种认识(旋转性踝关节骨折中后踝骨折常代表 PITFL 的骨性撕脱)导致对后踝骨折块固定的态度更积极。
后踝的生物力学作用
关于后踝骨折块涉及胫骨远端关节面的程度是否需要固定,长期存在争议。多项尸体研究探讨了这一主题,结果各异。早期研究表明,后踝骨折块大小与胫距关节接触面积呈负相关,这些发现导致将骨折块大小作为决定手术固定必要性的标准。后踝骨折与距骨后脱位的可能关联也得到研究。Raasch 等模拟了涉及程度递增(达 40% 关节面)的后踝骨折,发现即使去除 40% 关节面,中立位踝关节中距骨也无显著后移,但当同时破坏外侧结构(腓骨和胫腓前韧带)时,与完整踝关节相比,移位增加。Papachristou 等的研究强调,当内侧和外侧结构完整时,胫骨远端关节面后 1/4 几乎不承担负荷。这些研究共同表明,内侧和外侧约束可能比关节面本身更显著地有助于骨折后矢状面踝关节稳定性。尽管许多研究专注于确定需要固定的后踝骨折块大小以预防潜在踝关节炎,但另一问题值得仔细考虑。若干生物力学研究强调后踝骨折块在维持下胫腓联合稳定性中的关键作用,这在涉及较小骨折块的后踝骨折中尤其相关。尽管这些较小骨折块可能不会显著改变胫距关节的应力传递,但仍可能破坏下胫腓联合的稳定性。Ogilvie-Harris 和 Reed 的研究表明,PITFL 贡献下胫腓联合强度的约 42%。关于 PITFL,Gardner 等在磁共振成像中发现,15 例涉及后踝的 PER 型骨折患者均无 PITFL 完全断裂,提示固定后踝骨折块可能恢复 PITFL 张力并稳定下胫腓联合。在同一项研究中,他们进行了生物力学研究以评估通过 PITFL 稳定下胫腓联合的效果。发现通过后踝骨折块切开复位内固定(ORIF)稳定 PITFL 后,下胫腓联合稳定性在扭转负荷下优于单纯下胫腓联合螺钉固定。观察到与完整标本相比,固定后踝后刚度恢复至 70%,下胫腓联合稳定后恢复至 40%。Fitzpatrick 等研究了不同复位状态下后踝骨折块固定后腓骨在切迹中的运动,该研究表明,后踝复位不良可能导致下胫腓联合相应复位不良。Evers 等证明在三踝骨折模型中,固定小后踝骨折块可能比单纯使用下胫腓联合螺钉增加旋转稳定性。在他们的研究中,施加无旋转力的轴向负荷时,仅下胫腓联合螺钉固定的模型在跖屈位表现出比同时使用下胫腓联合螺钉和后踝骨折块固定的模型更明显的腓骨内旋。Stake 等最近进行的生物力学研究探讨了后踝固定对下胫腓联合稳定性的影响。他们发现,无论后踝骨折块为 25% 或 50%,螺钉固定均比单纯经下胫腓联合缝合纽扣提供更强的内外旋稳定性,且 25% 和 50% 骨折块的治疗效果无显著差异。生物力学研究结果强调后踝骨折块固定在增强下胫腓联合稳定性中的关键作用,并为后踝骨折的手术治疗提供了重要见解。研究可能表明,即使在涉及较小后踝骨折块的情况下,也应仔细考虑其固定,因为这可能有助于改善术后旋转稳定性。这一观点不同于优先关注胫距接触应力的基于大小的固定策略。
手术注意事项
临床研究证实了生物力学研究结果,促使重新评估传统的单纯经下胫腓联合螺钉固定,这源于对可能发生复位不良的担忧。尽管下胫腓联合螺钉的理论优势是促进损伤的下胫腓联合韧带愈合,但其刚性特性阻碍了胫腓远端关节的正常生理运动。此外,刚性固定可能延迟负重并导致螺钉松动或断裂,需要二次手术常规取出内固定物。尽管使用缝合纽扣固定等弹性固定方式已解决这一问题,但仍存在下胫腓联合复位不良的可能。如上述生物力学研究所示,缝合纽扣固定的旋转稳定性可能低于后踝骨折块固定。此外,后踝骨折块复位不良可改变切迹的正常解剖结构,阻止腓骨位于其解剖位置。越来越多的报道表明,后踝骨折块的解剖固定可减少或消除对下胫腓联合固定的需求。
图4. 一名旋转性踝关节骨折患者的双侧负重CT图像显示,存在未固定的后踝小骨折块。后踝骨折块的畸形愈合伴外侧移位导致切迹解剖结构异常及下胫腓联合增宽。在此病例中,由于切迹解剖形态异常无法使腓骨正确就位,翻修时下胫腓联合螺钉固定的效果存疑。这凸显了即使是小的后踝骨折块也需精准处理的重要性。
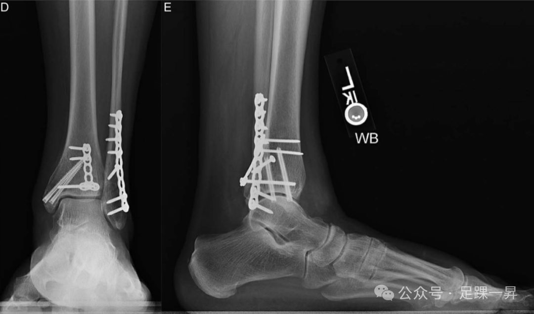
图5. 一例未使用下胫腓联合固定螺钉治疗的旋转性踝关节骨折伴踝穴增宽病例。术前非负重正位(A)和侧位(B)X线片显示三踝骨折伴踝穴增宽。(C)术中在解剖复位外踝、内踝和后踝后,通过外旋试验评估下胫腓联合稳定性,结果显示踝穴稳定。术后正位(D)和侧位(E)踝关节X线片显示踝穴维持良好,无增宽。
Miller 等报道无论骨折块大小,行后踝骨折块固定的组与因无后踝骨折而未固定后踝、仅行下胫腓联合螺钉固定的组之间,患者报告的疗效评分相当。此外,他们发现后踝骨折块固定组在至少 1 年的随访中维持复位。基于研究结果,他们建议对后踝骨折进行解剖重建,无论骨折块大小,以重建切迹,指出下胫腓联合固定可能涉及二次手术,并强调后踝固定可实现更解剖的复位。
Baumbach 等对 236 例三踝或三踝等效骨折患者进行回顾性研究,发现后踝直接 ORIF 显著减少下胫腓联合固定的需求,无论骨折块大小。ORIF 组的下胫腓联合固定率(25%)显著低于闭合复位内固定(CRIF)组(61%)和未治疗后踝骨折组(63%)。此外,后踝骨折块 ORIF 的复位效果显著优于 CRIF 组和未治疗组。该研究不仅表明后踝骨折固定可减少下胫腓联合固定的必要性,还强调了实现准确复位的重要性。正如最近一项比较 ORIF 与 CRIF 疗效的系统评价所示,可以认为在旋转性踝关节损伤中,切开复位内固定(ORIF)可能是处理后踝骨折块的首选方案。
在 Verhage 等的研究中,作者采用后外侧入路对 52 例三踝骨折的后踝骨折进行 ORIF,结果显示,50 例踝关节(96%)在后踝固定后通过临床 Cotton 试验检测下胫腓联合稳定性良好,无需下胫腓联合螺钉固定,仅 2 例患者(4%)需要使用下胫腓联合螺钉。该研究进一步表明,后踝骨折块固定有助于下胫腓联合稳定,并减少下胫腓联合螺钉固定的需求。类似地,Caglar 等报道,解剖固定外踝和后踝骨折以及无下胫腓联合螺钉的三踝骨折,通过普通放射学参数评估,在至少 1 年的随访中维持复位。
尽管上述研究支持后踝固定,但仍存在挑战,尤其是在手术中实现后踝固定的解剖复位,以及潜在的软组织和神经血管并发症风险。此外,由于通过相同的外侧入路放置下胫腓联合固定装置以固定外踝相对简便,且效果良好,许多外科医生在稳定内外侧结构后发现下胫腓联合不稳时,仍倾向于选择下胫腓联合固定而非后踝固定。因此,未来需要设计良好的临床研究来证明提倡后踝固定的临床益处。
结论
文献强调了三踝骨性结构在维持踝关节正常应力分布和运动学中的关键作用。解剖固定三踝骨折不仅对于评估下胫腓联合不稳至关重要,还可通过减少下胫腓联合复位不良的发生率,潜在降低骨关节炎等长期并发症的风险。
-END-
声明:本文转载自<足踝一昇>,版权归原作者所有,仅用于学习交流。内容仅代表作者个人观点,望大家理性判断及应用。









