
脊柱骨折是骨科常见创伤,包括颈椎、胸椎、胸腰段及腰椎的骨折,以胸腰段骨折最多见,青壮年多见;其次为颈、腰椎,胸椎最少,常可并发脊髓或马尾神经损伤。临床表现包括局部疼痛、局部活动受限,部分患者还可出现瘫痪、感觉障碍等,甚至危及生命。暴力是脊柱骨折的病因。间接暴力:绝大多数,如:高空坠落,重物砸伤、车祸伤、重物撞击腰背部、塌方事件等。直接暴力:少数,如:枪弹伤。
01.
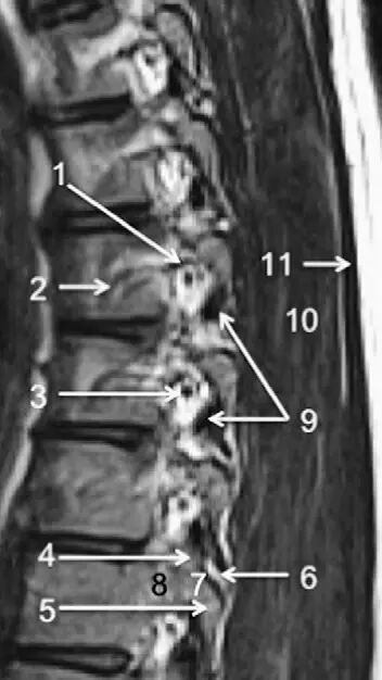
脊柱的组成
构成:幼年时椎骨共有33块(颈椎7块,胸椎12块,腰椎5块,骶椎5块,尾椎4块)。随年龄增长5块骶椎合成一块骶骨, 4块尾椎合成一块尾骨。
颈椎
胸椎
腰椎
骶椎
整体结构:
前面观:椎体自上而下渐加宽,第2骶椎最宽
侧面观:可见颈、胸、腰、骶四个生理性弯曲,颈和腰曲凸向前,胸和骶曲凸向后。
颈椎前凸 20°- 40°,胸椎后凸 20°- 40°,腰椎前凸 30°- 50°,骶骨后凸倾斜。
后面观:颈椎棘突短而分叉,近水平位。胸椎棘突细长,斜后下方。腰椎棘突呈板状水平向后。
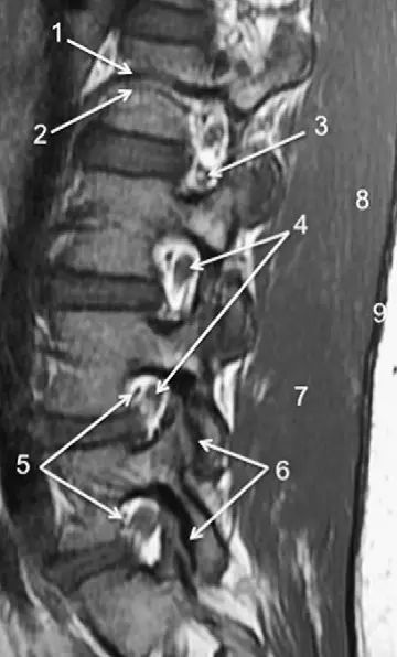
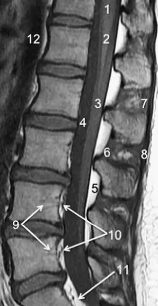
脊柱的MRI解剖
02
脊柱的韧带
1、韧带:坚韧,纤维组织连在骨,软骨或其他结构,当应力加大到移动的最大范围后起作用,高弹性保护关节。
2、前纵韧带:起自枕骨或寰椎前结节,沿椎体的前面向下延伸至骶骨,该韧带下端增宽,与椎体紧密相连,但与椎间盘连结较松。
3、后纵韧带:沿椎体的后面走行,分为浅、深两层。
浅层在枢椎体处与覆膜相连,向下延伸至 L3和L4之间的椎间盘。深层相当于寰椎十字韧带的延续,延伸至骶管。在颈部,浅层较宽,而在胸和腰区变窄,于L3/L4下方与深层愈合。深层在颈部非常薄,而在胸、腰部的椎间盘和椎体上缘的嵴处形成菱形扩展。
前、后纵韧带增加了脊柱的稳固性,这种作用在脊柱的屈、伸运动中尤其明显。因此,它们有两个功能,即限制脊柱运动和保护椎间盘。
4、黄韧带:呈节段性,位于相邻的椎弓之间,构成了椎间孔的后内侧界。由于该韧带主要由呈网格排列的弹性纤维构成,所以呈黄色。这些韧带即使在休息状态也保持紧张。当屈脊柱时,黄韧带伸长,协助脊柱恢复直立姿势。
5、项韧带:从枕外嵴延伸至颈椎棘突,呈矢状位,可供肌肉附着,向下经过颈部,与棘间韧带和棘上韧带相续。
6、横突间韧带:是位于横突之间的短韧带。
7、棘间韧带:是连于棘突(D9)之间的短韧带。
8、棘上韧带:起于第7颈椎的棘突,延伸至骶骨,参与构成椎骨与骶骨的连结。
03
三柱结构分类
从解剖结构和功能上可将整个脊柱分成前、中、后三柱。
Denis将脊柱理解成三条纵行的柱状结构,即:
(1)前柱,包括脊柱前纵韧带、椎体及椎间盘的前2/3部分;
(2)中柱,由椎体及椎间盘后1/3和后纵韧带组成;中柱损伤者属于不稳定性骨折。
(3)后柱,由椎弓、椎板。附件及黄韧带、棘间、棘上韧带组成。
04
脊柱骨折的临床分型
1、依据损伤机制分类
压缩骨折:①屈曲压缩 (砸伤);②垂直压缩(坠落伤)
屈曲-分离骨折:轴向旋转载荷,前柱压缩,中后柱张力性损伤。Chance骨折(汽车安全带损伤)

旋转骨折:旋转+屈曲损伤;旋转+压缩损伤


伸展-分离骨折:过伸位承受外力。


2、依据骨折的稳定性分类
(1)稳定性骨折
轻度和中度的压缩骨折,脊柱后柱完整。
(2)不稳定性骨折
①脊柱三柱中二柱骨折:如屈曲分离损伤累及后柱和中柱骨折。
②爆裂骨折:中柱骨折、骨折块突入椎管,有潜在神经损伤,属于不稳定性骨折。
③骨折-脱位:累及脊柱三柱的骨折脱位,常伴有神经损伤症状。
3、依据骨折形态分类
(1)压缩骨折
为临床最常见的一种类型,椎体前方受压缩楔形变。压缩程度以椎体前缘高度占后缘高度的比值计算。分度为前缘高度与后缘高度之比,Ⅰ°为1/3,Ⅱ°为1/2,Ⅲ°为2/3。
(2)爆裂骨折
椎体压缩骨折的一种特殊形式,椎体呈粉碎骨折,骨折块向四周移位,向后移位可压迫脊髓、神经,椎体前后径和横径均增加,两侧椎弓根距离加宽,椎体高度减小。
(3)撕脱骨折
在过伸、过屈位损伤时,在韧带附着点发生撕脱骨折,或旋转损伤时的横突骨折。
(4)Chance骨折
经椎体、椎弓及棘突的横向骨折,也可以是前后纵韧带-椎间盘-后柱韧带复合体的损伤。
(5)骨折-脱位
脊柱骨折并脱位,脱位可为椎体的向前或向后移位并有关节突关节脱位或骨折。脱位亦可为旋转脱位,一侧关节突交锁,另一侧半脱位。
05
脊柱、脊髓损伤临床表现
1、一般症状
【全身反应】除全身创伤性反应外,其他如休克、创伤性炎症反应及其他各种并发症等均有可能发生,应全面观察。
06
体格检查
体格检查时,患者的脊柱和四肢必须充分显露,但要注意保暖。
1、体位:观察患者能否站立行走,是否为强迫体位。
2、压痛:医生通常会从上至下逐个按压或叩击棘突,如发现位于中线部位的局部肿胀和明显的局部压痛,则提示后柱已有损伤。
3、畸形:胸腰段脊柱骨折常可看见或扪及后凸畸形。
4、感觉:需检查躯干和四肢的痛觉、触觉、温度觉,以了解有无感觉减退等情况。
5、肌力:通常分为6级,即0~5级。根据肌力情况,有助于评估病变严重程度。
6、反射:可能需检查膝、踝反射,病理反射,肛门反射和球海绵体反射等,有助于检查有无脊髓等神经系统损害。
07
影像学检查
1、X线:部位、类型、程度;(正侧位、双斜位、动力位、颈椎张口位等)
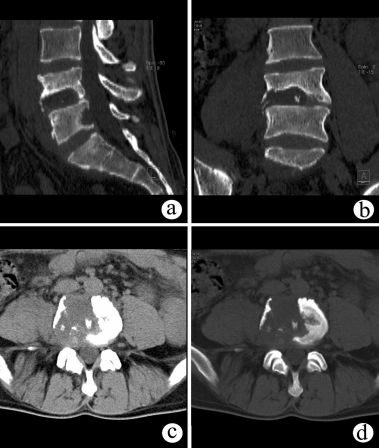
2、CT:可显示椎体的骨折情况,可显示有无碎骨片突出于椎管内,计算椎管前后径损失了多少,不能显示脊髓受损情况。(平扫、薄扫、三维、表面重建等)
3、MRI:可显示骨折所致血肿及脊髓损伤所表现出的异常高信号。(平扫)
08
脊髓损伤定位诊断
【上颈髓损伤】上颈段主指颈椎1、2节段者,为便于表达,现将颈髓分为C1-4及C5-8上下两段。颈髓1-4之间受损时,病情多较危笃,且病死率高,约半数死于现场或搬运途中。其主要表现为:
09
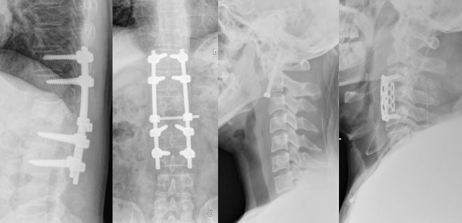
脊柱骨折治疗
原则:复位、固定、功能锻炼
颈椎骨折脱位-上颈椎(C1、C2)
颈椎骨折脱位-下颈椎(C3-C7)
胸腰椎损伤
胸腰椎骨折的非手术治疗
二桌法过伸复位
双踝悬吊法复位
颈椎骨折或脱位的非手术治疗
1、压缩或移位较轻者:枕颌带牵引复位后Halo氏架/头颈胸石膏固定3月。
有明显压缩或移位或有关节突脱位者:颅骨牵引复位后头颈石膏固定3月。
急救搬运
方法:担架、木板、门板运送
滚动法
平托法
禁忌:一人抬头、一人抬脚或拥抱运送
颈椎外伤患者搬运方法
局部搬运方法
整体搬运方法
-END-
声明:本文整理自网络,仅用于学习交流。内容不代表本平台观点,望大家理性判断及应用,如有侵权,请立即联系我们处理。









