
胫骨平台骨折属于罕见骨折类型,在成人骨折中发生率约为1% 。文献报道其发病率为每10万居民10.3例。发病高峰年龄介于40至60岁之间,最常见的骨折类型为劈裂压缩骨折(35%)和多块双髁骨折(17%)。
此类骨折通常由轴向压缩力、牵张力、旋转力引起,直接暴力所致者较少见。骨折形态主要受外力矢量方向及膝关节处于伸直位或屈曲位的影响。尸体研究证实,单纯外翻应力可导致典型劈裂骨折,而外翻应力联合轴向压缩则会产生劈裂压缩骨折。在此特定机制下,内侧副韧带(MCL)的存在使得外力力矩可造成骨折块向远端移位或形成压缩性骨缺损[3]。因此,骨折形态特征能够反映创伤机制及伴随的韧带损伤情况,这一关联应在手术规划阶段即被纳入考量。
01
胫骨平台骨折分型
经典二维分型(基于X线平片)、
AO分型
A型:关节外骨折
A1:撕脱性骨折(腓骨头、胫骨结节、交叉韧带附着点)
A2:干骺端简单骨折(冠状/矢状面斜形、横断)
A3:干骺端粉碎骨折(楔形、粉碎、复杂)
B型:部分关节内骨折
B1:简单劈裂骨折(外侧/内侧/累及胫骨嵴)
B2:简单压缩骨折(外侧完全/部分压缩、内侧)
B3:劈裂压缩骨折(外侧/内侧/累及胫骨嵴)
C型:完全关节内骨折
C1:关节简单+干骺端简单(轻度/单髁/双髁移位)
C2:关节简单+干骺端粉碎(楔形/粉碎/复杂)
C3:关节粉碎(外侧/内侧/双髁粉碎)
特点:全面但复杂,适用于科研和严重骨折分类。

图片来源网络
Schatzker分型
I型:外侧平台单纯劈裂骨折
II型:外侧劈裂合并凹陷
III型:外侧平台中央压缩
IV型:内侧平台骨折(楔形劈裂或粉碎压缩,常累及胫骨棘)
V型:双髁骨折(干骺端与骨干连续)
VI型:双髁骨折伴干骺端与骨干分离
特点:简明、直接关联治疗策略(如II型需植骨支撑)。

图片来源网络
Moore分型
Moore分型作为二维分型体系的进一步发展,Moore分型[6]专门针对骨折脱位类型,可通过骨折形态推断伴随韧带损伤情况。该分型系统特别关注屈曲性骨折类型,与前述分型不同之处在于:不仅以前后位影像为基础,同时整合侧位影像学特征进行综合评估。
Ⅰ冠状面劈裂骨折。Ⅱ全髁骨折。Ⅲ胫骨平台缘撕脱骨折。Ⅳ胫骨平台边缘压缩骨折。Ⅴ四部分骨折。

图片来源网络
三维分型(基于CT影像)
十段分型(Krause et al., 2016)
2016年Krause等学者发表了基于CT检查的三维分型系统。该分型将胫骨平台细分为10个解剖节段(图1),实现了对骨折定位的精确解析与系统描述。根据受累节段的分布特征,可明确最佳手术入路选择,既能实现骨折的精准复位固定,又能充分显露关节面。

图1:Krause等学者提出的10段分型系统具体分区如下:ALL/前外侧外侧区、ALZ/前外侧中央区、AMM/前内侧内侧区、AMZ/前内侧中央区、AZ/前中央区、PLL/后外侧外侧区、PLZ/后外侧中央区、PMM/后内侧内侧区、PMZ/后内侧中央区、PZ/后中央区。
三柱理论(Luo et al., 2010s)
分区(胫骨平台俯面观):
外侧柱:腓骨头前缘(C点)至胫骨棘中点(O点)
内侧柱:胫骨平台内侧嵴(B点)至O点
后侧柱:O点至胫骨结节(A点)
该分型体系与常见外力作用导致的骨折模式高度契合,不仅考量内翻/外翻应力作用,同时结合外力作用时膝关节处于屈曲或伸直状态,能够有效预测可能伴随的膝关节内部结构损伤。

图片来源网络
改良三柱分型(Hoekstra et al., 扩展版)
Hoekstra等学者提出的扩展三柱分型系统——作为对Luo等2011年三柱理论的进阶发展——已被证实适用于需手术治疗且具备CT影像的复杂胫骨平台骨折病例。该分型将后侧柱界定至胫腓近端关节背侧,这一解剖学定义对制定治疗策略及选择手术入路具有重要指导价值(图2)。其核心原则是根据骨折累及柱体结构的具体情况,选择既能充分显露关节面、又能有效稳定受累柱体的手术入路。研究表明,该模型在骨折治疗规划中展现出显著优势,且不同观察者间分型判定具有高度一致性。下文将基于此分型框架,系统阐述各类手术技巧与治疗策略。

图2:根据Luo等人(2011年)提出并经Hoekstra团队修订的三柱理论模型,在最新版本中进行了以下重要调整:原归属于后柱的近端腓距关节区域现被重新划归至外侧柱。这一分类调整基于新型手术入路的可行性研究,学者们论证了通过扩展前外侧入路,配合角度稳定型内固定装置即可完成该区域的治疗,从而无需再额外建立传统后侧手术入路。
02
手术原则及目标
手术的目标是通过符合解剖轴线的复位,实现关节面的解剖结构重建。骨折内固定术需具备足够的稳定性,以确保在功能性康复治疗期间维持骨折位置直至骨愈合完成。为制定相应治疗方案,需预先进行全面诊断,并对骨折部位及软组织状态进行详细分析。
成功实现骨折复位与固定,推荐采用分步式操作策略,旨在"简化"骨折模式。例如,在初次内固定阶段,可将AO C型骨折转化为AO B型骨折。此外,建议从骨折模式简单的关节部位开始实施稳定化。通过将简单骨折部位相对于干骺端或骨干进行固定,可建立稳定的解剖参考基准或支撑柱,从而为复杂关节骨折碎片相对于该基准的复位创造条件。
入路选择原则
-
前外侧入路:适用于前外侧柱的简单胫骨平台关节内骨折
-
后内侧入路:适用于内侧柱及后内侧柱的简单骨折
-
复杂骨折处理:涉及三柱的屈曲型骨折或粉碎性关节内骨折,常需扩大切口或术中调整体位。
不同入路对关节各柱的显露能力显著不同。本文将通过Krause提出的10节段分类法,系统性分析各入路的关节暴露范围。
注意:对于后侧骨折块(如常见的后外侧塌陷),单纯采用前外侧或后内侧入路往往难以充分处理,此时应选择扩展的后侧入路。
03
优点、缺点、适应症
过去二十年间,随着断层成像技术的发展,除经典的前侧、前外侧、内侧及背侧入路外,众多改良手术入路被提出,这些入路不仅能实现骨折柱的适配支撑,部分还能显著改善关节内视野。通过下文阐述的入路选择方案,多数复杂胫骨平台骨折可实现充分稳定化。
前外侧入路与后内侧入路的优势在于,通过关节切开术可直接目视控制骨折复位,这两种入路通常采取仰卧位实施。其局限性主要体现在视野主要集中于前侧关节区域,对背侧柱的复位与支撑难以直接完成——特别是Krause分型中位于背侧的骨折节段(后外侧区PLL、后外侧中央区PLZ/后中央区PZ,见图1)往往难以有效控制。针对外侧平台骨折,当需要支撑后外侧柱时,采用Hong Wei Chen提出的扩展入路或Frosch后外侧入路有效,后者无需腓骨截骨即可完成操作;若仅需单纯支撑后外侧柱,则可采用Carlson直接后侧入路。后内侧入路对内侧柱的支撑效果优异,必要时可向腹侧或背侧延伸切口拓展视野,但其关节内显露范围有限。由于内侧胫骨平台多为冠状面简单骨折,该入路通常已能满足需求。在仰卧位下,后内侧支撑可与前外侧入路联合使用,此时膝关节屈曲状态下后内侧柱的内固定操作无障碍;但对于合并后外侧柱损伤者,在仰卧位中仅能通过罗氏扩展入路(采用患肢外展体位)进行有限处理。处理屈曲型骨折后侧柱时,适合采用Lobenhoffer 后侧入路或Luo的扩展入路,但这两种入路均需俯卧位完成,意味着若需附加前外侧固定则须术中调整为仰卧位。作为替代方案,Luo的漂浮体位(图3)允许俯卧位与仰卧位转换时无需重新铺置无菌单。

图3 "漂浮式"患者体位通过调整手术床不同方向的倾斜角度,可同时实现后内侧入路与前外侧入路的术中切换:a) 该体位下可实施后侧入路操作;b) 倾斜至前外侧角度时则适配前外侧入路需求。
所有单纯后侧入路的共同局限性在于后侧关节区域的视野暴露受限:仅通过翻转变形骨壁碎片可部分观察后缘结构,且复位控制需依赖术中影像增强器辅助。基于上述优势与限制条件,为实现解剖复位与力线恢复的核心目标,需基于骨折形态制定个体化的入路与固定方案。
04
术前准备
患者告知
-
使用钢/钛板进行骨接合术
-
必要时治疗伴随的椎间盘韧带复合体损伤
-
根据骨折类型及缺损填充情况,部分负重8至12周
-
取自体骨或使用骨替代材料
-
伤口愈合障碍(浅表及深部感染)
-
神经损伤(主要为腓总神经、髌下神经)
-
骨筋膜室综合征
-
假关节形成
-
原发性及继发性力线异常
-
创伤后骨关节炎的发展(后期可能需关节置换)
-
骨固定材料(钢/钛板)无需强制取出
--围手术期抗生素预防(适用于II–III级开放性骨折)或抗生素治疗
--手术规划
--高能量创伤后常采用分期治疗方案:一期应用跨关节外固定架("span, scan, plan"三步策略)。
--最终骨接合术的手术时机需待消肿后(通常创伤后4-14天),皮肤应呈现褶皱征(wrinkle sign)。
--若曾行骨筋膜室切开减压,建议在骨接合术前或术中闭合创面。若肌肉覆盖良好,可采用断层皮片移植。
--软组织缺损需同期行成形修复,术前应纳入整形重建外科医师参与规划。
--入路与体位根据骨折类型、复位及固定策略调整。
--通过透视机、关节镜或直视下确认复位效果。
--体位选择
-
仰卧位配合侧方支撑:用于前外侧及后内侧入路,下肢外展时需侧方辅助台。
-
俯卧位:适用于后侧入路。
-
侧卧位:用于前外侧及后外侧入路。
-
浮动体位(图3):结合俯卧与侧卧位,通过调节手术床倾角实现内侧后路与前外侧入路联合暴露。
--X射线透视手术床。
--入路与植入物规格(4.5/3.5系列)需匹配骨折类型。
器械
透视机
止血带
膝垫/三角垫/布卷
牵开器(图4)
大型复位钳
必要时使用解剖轴线控制工具(如网格定位板;图5)
备选关节镜器械组
骨替代材料

图4:在使用前外侧入路治疗胫骨平台骨折时,微型骨折牵开器的应用显著改善了关节间隙的可视化检查条件。另一种选择是采用AO(内固定研究协会)牵开器,该器械可复用预先植入的外固定架Schanz螺钉进行操作。

图5:这是一个双髁骨折内固定术的示例。术中通过无菌定位网格板辅助控制骨折复位对线。
麻醉
全身麻醉或脊髓麻醉
05
手术策略
零柱骨折(压缩骨折,Schatzker III型,AO B3)
-
开放手术技术。
-
微创前外侧入路。
-
在压缩区下方开窗后使用冲击器进行复位。
-
当单纯通过内固定无法充分支撑关节面时,进行骨缺损填充。
-
采用螺钉或支撑钢板进行骨合成术。
-
关节镜辅助下经软骨下球囊复位技术("胫骨成形术")。
-
该技术逐渐普及。
-
使用类似椎体后凸成形术的器械,通过球囊复位关节面压缩区并用可吸收骨水泥进行支撑。
-
后续通过软骨下螺钉进行骨折支撑(筏式固定)。
-
目前仍缺乏大规模临床研究。Mauffrey等学者在20例患者的病例系列中发现并发症发生率高达65%,因此应严格掌握适应证。
-
主要并发症包括球囊破损、骨水泥渗入关节腔或复位不充分。
内侧柱骨折(Schatzker IV型,AO B1,Moore I/II型)
-
后内侧入路。
-
内侧骨折,尤其是屈曲型骨折(Moore I、II型)通常不稳定。多数情况下,非常坚固的内侧平台保持完整,或通过额状面骨折线分裂为两半。
-
建议在CT中定位内侧骨折延伸部的远端顶点,以便将具有防滑功能的支撑钢板精确放置于此处(前内侧、内侧或后内侧)。
-
仅通过正确放置防滑钢板即可实现良好的骨折复位。通常可通过间接复位(胫骨牵引、内旋联合外翻应力)结合直接复位(克氏针)完成初步复位。
-
解剖复位后,需综合考虑韧带结构进行支撑钢板的定位。
-
基于关节外骨折标志进行内侧柱的解剖复位,通常可实现关节面的准确复位。若仍存在不匹配,偶尔需额外行前内侧关节切开术以实现精准复位控制。
外侧柱骨折(Schatzker I型,AO 41 B1)
微创经皮螺钉内固定术
-
对Schatzker I型/AO-B1型骨折可取得良好疗效。
-
术前CT用于适应证评估、手术规划及骨折范围判。
-
患者取仰卧位。
-
通过牵引间接复位,结合经皮置入克氏针或钳夹直接复位
-
通过C型臂透视和/或关节镜控制复位效果。
-
采用双螺钉固定柱结构:一枚位于骨折块远端尖端,另一枚与关节面平行(3.5mm螺钉)。
开放钢板内固定术
-
前外侧入路。
-
经半月板下方显露外侧胫骨平台。使用撑开器可改善关节内骨折的显露。
-
对于劈裂压缩骨折(Schatzker II型/AO 44 B2型),通常采用类似术式。
-
若劈裂部分无移位,关节面复位可参照单纯压缩骨折处理:通过前外侧皮质开窗,使用冲击器复位。
-
若劈裂部分移位,可在直视下通过骨折窗抬起塌陷关节面。推荐使用骨凿(距塌陷区远端1cm置入)配合冲击器向近端顶起。
-
外侧关节面复位后,采用克氏针或复位钳临时固定,最终以加压螺钉和/或支撑钢板稳定固定。
-
使用松质骨或骨替代材料填充骨缺损。
后柱骨折(屈曲型)
-
屈曲型骨折常合并外翻或内翻向量,因此不仅累及后侧关节区域(Krause PLL、PZL、PZ、PMZ、PMM),更多前侧关节区域也可能受累。
-
后侧屈曲骨折成分的复位遵循相同原则。
-
俯卧位或“漂浮体位”入路(图3)。
-
根据骨折部位选择合适入路。
-
显露骨折远端延伸部并贴合骨折块。
-
通过牵引进行间接复位,并用克氏针临时固定。
-
屈曲/外翻骨折中的后外侧压缩区,在小腿屈曲状态下可有限地通过骨折裂隙经此入路处理。
-
采用1或2块支撑钢板固定柱结构,同时支撑后内侧和后外侧柱(病例2)。
-
若仅累及外侧后柱,首选俯卧位下直接后外侧入路。通过3.5mm/2.4mm支撑钢板(桡骨远端钢板)实现支撑(病例4)。
多柱骨折
-
此类骨折多为高能量损伤或骨质疏松性骨折。
-
常合并广泛软组织损伤,需先行闭合复位并以外固定架制动。
-
轻度移位骨折(Schatzker V型/AO 41 C型)若存在简单干骺端骨折形态,有时可通过前外侧或后内侧入路完成满意复位及内固定。
-
通常需2个(罕见3个)入路,例如当内侧胫骨平台骨折需前/后联合内固定或前路直视下关节复位控制时。采用Luo改良后内侧入路(必要时结合内侧髁截骨)可避免额外的前内侧入路。
-
伸展型骨折中,胫骨结节可能发生骨性分离,需针对性复位固定以中和伸肌牵拉力并恢复伸膝装置功能(图6)。
-
入路选择前外侧+后内侧,必要时附加后侧入路
-
采用内侧支撑/防滑钢板联合外侧桥接钢板并行关节面筏式固定,或根据需求单独行筏式固定。

图6:3.5/2.7毫米复位钢板可作为“单向复位钳”(unidimensional repositioning forceps),既不会影响必要的支撑钢板定位(板叠板概念,Pate-on-plate concept),也可用于中和髌腱止点骨折部位的拉力。
06
手术技术

图7 . 2014年Hong-Wei Chen提出的扩大前外侧入路。适应症:外侧柱及后外侧柱骨折。与经典前外侧入路(仅适用于外侧柱的简单劈裂/压缩骨折)不同,此入路能充分显露关节前部(Krause分类中的前外侧外侧区ALL、前外侧中央区ALZ、前中央区AZ)及后外侧柱的“后外侧角”(Krause分类中的后外侧外侧区PLL、后外侧中央区PLZ)。原文献描述患者取仰卧位,皮肤切口(红色标记)起自关节线上方5厘米,沿股二头肌肌腱前缘向远端延伸,至膝关节皱襞下1厘米处转向腹侧,经Gerdy结节后继续向远端延伸。深层分离需在髂胫束(向前牵开)与腘肌肌腱、外侧副韧带(膝关节屈曲时向后牵开)之间进行。操作中需极度谨慎,避免损伤外侧副韧带。若视野不足,可联合撑开器行外侧髁截骨以改善显露。通过关节切开术,可直视Krause分类的ALZ、ALL、PLZ、PLL区域(显露外侧柱[蓝色标记]及外侧胫骨平台)。膝关节屈曲/外旋或使用撑开器(必要时联合外侧髁截骨)可显著提升视野。前外侧皮质可充分暴露,便于放置前外侧钢板,其平行于关节面的部分可延伸至腓骨轴线,从而有效支撑后侧关节面。若仅需支撑钢板,可将其进一步向后放置(参见病例1)。

图8. 2010年Frosch提出的后外侧入路。适应症:累及后外侧柱的外侧柱骨折,或需支撑钢板固定的孤立后外侧柱骨折。患者取侧卧位,皮肤切口始于关节线上方3厘米,沿腓骨向远端延伸。关节切开术可于髂胫束后缘与外侧副韧带前缘之间进行,由此显露Krause分类的ALZ、ALL、PLZ、PLL区域。显露腓总神经后,可在以下结构间建立肌间隙:内侧为腓肠肌外侧头,前上内侧为腘肌,下方为比目鱼肌,外侧为股二头肌肌腱,从而实现后外侧骨折的暴露(蓝色标记区域)。除翻修病例外,近端腓骨截骨通常无需实施。

图9. 后内侧入路 。适应症:累及内侧柱的骨折,可能延伸至内侧后柱。患者取仰卧位,膝关节屈曲60°并外旋髋关节,必要时将双腿外展,术者位于患者双腿之间[8]。体表标记:内收肌结节、内侧关节间隙、胫骨轴线。皮肤切口(红色标记)自内收肌结节近端2厘米处向前下方延伸。若需显露前内侧胫骨平台以进行视觉检查或放置前内侧钢板,切口应偏向中线方向;否则可沿胫骨干后缘延伸(参见病例1)。切开缝匠肌上下缘的深筋膜(该肌构成鹅足浅层),通过鹅足下方隧道化操作以暴露骨折区域并形成钢板置入空间。内侧关节切开位于内侧副韧带前方、半膜肌肌腱下方与腓肠肌内侧头后方构成的三角区内。也可选择在内侧副韧带前方进行关节切开。显露外侧及外侧后柱(蓝色标记):通过关节切开可暴露Krause分类[9]中的前内侧内侧区(AMM)、前内侧中央区(AMZ)及前中央区(AZ)。若需扩大视野,可对内侧副韧带止点行截骨,从而显影后内侧内侧区(PMM)和后内侧中央区(PMZ)。使用撑开器以改善关节面的可视化。

图10. a. Lobenhoffer提出的直接后内侧入路。适应症:累及后柱的骨折。此入路的优势在于无需牵拉腘窝血管神经束(与Trickey入路不同);缺点是无法行关节切开,仅能通过现有骨折窗口对关节外侧进行有限直视检查[17]。后侧显露范围局限于胫骨平台后缘(蓝色标记)。根据原始描述,患者取俯卧位[15]。皮肤切口(红色标记)沿腓肠肌内侧头自关节间隙水平向远端延伸约6厘米。于半膜肌(内侧)与腓肠肌内侧头(外侧)之间建立肌间隙,将腘肌近端肌腹自头侧骨膜下剥离,使其构成入路的外下边界。可置入3.5毫米T型钢板或专用解剖钢板(参见病例3)。b. Luo提出的扩大后侧入路。肌间隙分离方式与Lobenhoffer直接后侧入路相似,但通过倒L形皮肤切口可更广泛显露后外侧柱(蓝色标记)。不进行关节切开,仅能通过骨折窗口对后侧关节面进行有限直视[8]。原始文献描述采用“悬浮体位”(图3),可同时处理前外侧柱;若采用传统俯卧位,则需在置入前外侧内固定时重新调整患者体位(参见病例2)。

图11. Carlson入路的直接后外侧入路(外侧部分)。适应症:后外侧胫骨平台孤立压缩性骨折(Krause分类中的后外侧外侧区PLL、后外侧中央区PLZ、后中央区PZ)。此入路对后外侧胫骨平台边缘(蓝色标记)的显露有限,仅提供外侧柱部分视野。患者取俯卧位,切口位于关节线上方1-2厘米处,呈Z形以避免瘢痕挛缩[12]。术中需显露腓总神经,并在腓肠肌外侧头与腘肌之间建立操作间隙。后续分离步骤与Frosch入路类似:翻开壁骨折块,撬起压缩的关节面,并以自体或异体骨材料填充支撑。最后用小型内植物固定后外侧柱(参见病例4)。
植入物选择/骨折固定的术式变体
植入物的选择需根据骨折类型而定,以确保满足以下生物力学原则:对骨折块的支撑、骨折块间加压、关节面支撑以及干骺端粉碎时的桥接固定(即“桥接钢板固定术”)。植入物的规格取决于骨折向远端延伸的范围,以及是否需要通过单一植入物固定单柱或多柱。锁定螺钉的使用需基于骨质量、骨折类型及固定方式(单侧或双侧)综合判断。
复位辅助
术中必备设备:透视机、止血带备用状态、布卷垫、撑开器(图4)、大型复位钳、解剖轴线控制工具(如轴线校准板)(图5)、关节镜器械(视情况)、骨缺损填充材料、不同类型夯实器。
外固定架施氏螺钉可用作AO撑开器组件或充当操纵杆。
2.7mm或3.5mm钢板可作为复位板,用于临时固定骨折块或构建进一步复位的"铰链"结构(图6)。
"牺牲"螺钉或克氏针可辅助重建关节面稳定性(图12)。采用筏式固定技术置入克氏针或螺钉(图13)。使用钢板专用牵引装置("旋翼式微调器"),实现钢板固定后的轴线精细调节。
当内固定物无法为关节面提供足够力学支撑时,需行骨缺损填充加固。

图12:遗落螺钉技术原理示意图 该技术通过将螺钉植入骨折部位以稳定小型骨碎片(如含软骨的承重骨片)。螺钉在后续手术过程中不可再取出,将永久性存留于骨组织内。

图13:筏式固定技术/漂浮技术示意图解析 该术式采用螺钉或克氏针紧贴软骨下骨板置入,形成类似"木筏"的支撑结构以承载关节面。植入物可根据骨折愈合情况选择性保留或移除。
关节复位
术中关节复位可通过以下方式验证:半月板下关节切开术(直接开放检查)、影像增强器(术中透视,如C型臂X线机)、关节镜(微创镜下评估)。
关节切开术
在多个上述入路中,可沿关节间隙下方、经半月板胫骨韧带在半月板下方进行关节切开术。术中应保持半月板完整,并在手术过程中重新固定。该关节切开术可实现关节内视野,便于探查关节台阶。
通过使用撑开器可显著改善关节内视野(图4)。
透视镜
为重建单髁骨折的正确复位,在透视镜下复位以恢复约3°的生理性外翻具有重要辅助作用。通常较少出现过度复位,但胫骨髁复位不足的情况较为常见(图14)。

图14:健康膝关节X线影像。a 股骨内侧髁与外侧髁分别与胫骨平台内侧及外侧成一直线(黄色标记)。生理性内翻角度为3°。b 在侧位投照中,胫骨平台外侧呈凸面(红色标记),内侧呈凹面(蓝色标记)。
此类骨折常伴随胫骨平台增宽。根据正常解剖结构,股骨髁外侧与内侧皮质应分别与胫骨平台外侧和内侧保持对线。
透视监控复位时需在侧位投照方向上精确控制复位情况,此时内侧平台凹面与外侧平台轻微凸面可清晰区分。通过轻微屈伸活动可辨识关节前后缘。
解剖轴线控制可采用:• 轴线校准板(图5)• 平行于关节面的克氏针• 可实现术中模拟Mikulicz线的张力缆
在患侧髋部下方放置楔形垫有助于在前后位投照时保持下肢位置,避免术中额外操作。
关节镜手术
"骨折关节镜技术"的应用日益普及。通过前外侧和前内侧入路进行关节镜检查。
原则上可在无关节镜灌注液的情况下实施"干性"骨折关节镜操作。
若使用关节镜灌注液,可通过重力引流或关节镜泵进行控制。有研究指出,使用灌注泵可能增加骨筋膜室综合征的发生风险。
该技术可清晰辨识关节台阶,并能同期诊断与治疗关节内伴随损伤。
放射学证据显示该复位控制技术具有优势,但其临床优势似乎并不显著。
07
术中风险与并发症
骨筋膜室综合征• 关于胫骨平台骨折特定并发症的文献数据有限• 但并发症发生率与骨折复杂程度呈直接正相关• 双髁骨折中发生率可达14%-30%
神经损伤,神经失用
伤口愈合障碍
• 建议待软组织条件允许无张力闭合(预计手术时间较长时)再行手术,通常选择伤后5-14天实施• 操作需精细处理皮肤组织,制备全层皮瓣• 切口应避开张力性血疱区域
关节面二次复位丢失可通过3.5mm筏螺钉实现可靠软骨下支撑预防• 部分病例后期需行截骨矫形术恢复关节轴线及关节面平整度
关节纤维化• 主要发生于未早期开展关节功能锻炼者• 需关节镜下粘连松解或麻醉下手法松解
08
病例展示
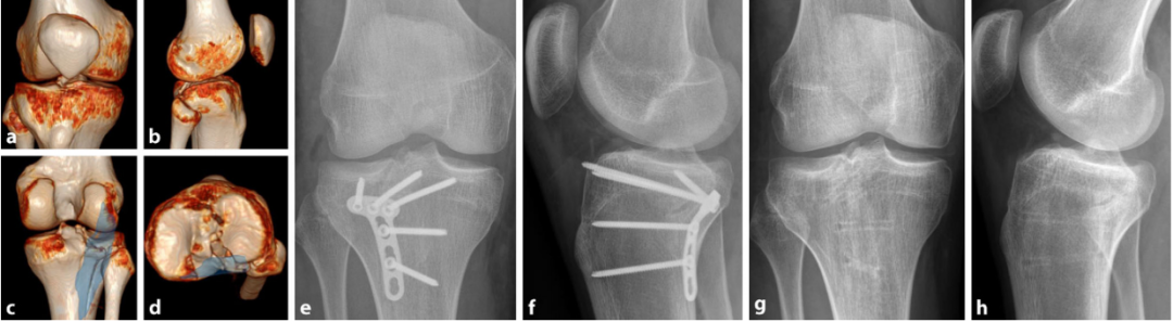
病例1

图15:a–d 术前计划CT(计算机断层扫描):外翻/伸展型骨折累及内侧柱、外侧柱及后柱。
-
仰卧位后内侧入路(蓝色)固定内侧柱。本例后柱为简单骨折,无需后侧支撑。
-
扩展前外侧入路(红色)显露外侧柱及胫骨平台外侧,固定胫骨结节骨折块并行平台支撑(Rafting技术)。
-
e, f 术后首次体位验证。g, h 术后10周随访影像。
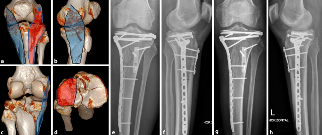
病例2

图16:外翻/屈曲型骨折合并骨质疏松症,累及前柱、内侧柱及后柱。
-
俯卧位扩展后侧入路(罗氏入路,蓝色),安装后侧钢板。
-
调整为仰卧位(RL)后行扩展外侧入路(红色)。
-
a–d 术前计划CT(计算机断层扫描)。e, f 术后首次体位验证。
病例3

图17:屈曲型骨折累及后柱
-
俯卧位Lobenhoffer入路(蓝色标记区域)行后柱支撑固定,但关节内视野受限,导致后中央区(Krause分类PZ区)骨折块未实现解剖复位。
-
经皮固定胫骨平台外侧及内侧骨折延伸部分。
-
a–d 术前计划CT(计算机断层扫描)。e, f 术后首次体位验证。g, h 术后1年随访影像。
病例4

图18:后外侧柱孤立性骨折
-
俯卧位Carlson后外侧入路 或 Frosch入路后侧部分 行骨折固定。
-
a–d 术前计划CT(计算机断层扫描)。e, f 术后首次体位验证。g, h 术后1年随访影像(因前方螺钉尖端突出引起不适,已行内固定取出术)。
-
09
结果
关于胫骨平台骨折术后疗效的总体评价缺乏特异性,因其疗效受到骨折类型、患者个体因素、治疗方式及关节重建质量的多重影响。现有文献显示,胫骨平台骨折术后功能恢复通常较为理想,特别是在40岁以下患者群体中可获得良好的功能预后[26]。创伤后关节炎发生率文献报道存在较大差异(23-44%),但值得注意的是,Mehin等学者对311例手术治疗的胫骨平台骨折患者进行长达11年随访的研究中,仅4.5%病例最终接受人工关节置换。骨不连等并发症的发生率相对较低。
10
总结
复杂胫骨平台骨折的手术治疗仍具挑战性。
手术目的在于实现关节面的解剖复位与力线矫正。手术指征主要针对存在移位的胫骨平台骨折,需综合考量患者个体因素。本临床实践中,通常将>2 mm的关节面台阶视为手术干预标准。
CT检查是胫骨平台骨折影像评估的金标准。临床治疗需根据具体骨折类型及软组织条件,个性化选择手术时机、体位、入路、内植物及复位辅助工具。在复位策略规划中,三柱理论已成为临床实践中的有效指导框架。
术后疗效受多重因素影响,包括骨折类型、患者个体特征、治疗方式及关节重建质量。即使对于复杂胫骨平台骨折,术后功能恢复也常能达到满意水平。
参考文献:Reposition und Stabilisation von Tibiaplateaufrakturen.Reposition und Stabilisation von Tibiaplateaufrakturen | Operative Orthopädie und Traumatologie.
-END-
声明:本文为原创内容,作者Perry,版权归原作者所有,仅用于学习交流,未经授权禁止转载。









