病例报告
牙科放射学是牙科的核心诊断手段。牙科X光片有助于发现隐藏的疼痛病变、评估治疗方案、提供术中指导,并用于监测先前治疗的成功情况。
在根管治疗过程中,牙医使用X光片来检查治疗进展并确保填充材料的正确放置。二维传统X光片为大多数牙科放射学需求提供了出色的图像。其主要用途是通过提供对牙齿和支撑骨内部结构的洞察来补充临床检查,以揭示龋齿、牙周和根尖疾病以及其他骨病。
根尖X光片提供有关牙齿及其周围组织的详细信息。它主要用于评估牙髓和根管形态、牙间区支撑牙槽骨状态、检测根尖病变和冠/根骨折。特别是在牙髓治疗中,它对术前评估根部和根管形态、钙化、弯曲、根尖病变、工作长度确定、根管充填的质量和范围以及治疗后的愈合监测非常有用。
图1
一名39岁的患者因无痛的牙龈肿胀而迅速就诊,担心可能患有恶性肿瘤。在检查过程中,牙医告诉她,她患有一个从腐烂的第一前磨牙(编号24)的根尖区域延伸到骨外的脓肿,形成牙龈肿胀,因此需要对该前磨牙进行根管治疗,并对肿胀进行切开和引流(根据患者的描述)。
经过近七个月的持续治疗后,患者的牙医将此病例转诊到我的诊所,以寻找解决这个不愈合肿胀的方法,尽管根管已经干燥,且对肿胀进行了手术切开(如图1所示),但仍未见效,并且在脓肿内使用了抗生素也未见效。
注意:当询问患者牙医在这七个月期间拍摄的X光片以审查治疗过程中的进展时,惊讶的是,医生认为没有必要拍摄X光片,因为在他看来,这只是一个直接由于牙齿腐烂而引起的脓肿案例。
图2
在对患者的临床检查中,发现第一前磨牙(编号24)和第二前磨牙(编号34)之间有一个无痛的波动性肿胀,这两颗牙齿也有Milar分类中的1级松动,但没有疼痛。
从肿胀内部抽取细针穿刺细胞学(FNAC)样本,得到透明黄色液体,得出结论这是一个囊肿。
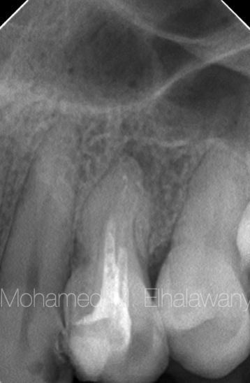
术前根尖X光片显示牙齿根管内填充了未知物质,但奇怪的是,这个肿胀并没有在X光片上显现,只是在牙周膜上有轻微的扩张。根据这些情况,需要进行更多的放射学检查,从各个方向检查该前磨牙及其周围结构,以确定囊肿的原因以及为何在X光片上未显示。因此,要求进行术前锥形束CT(CBCT)检查。
图3
通过对CBCT扫描(图3)的多个不同视角(轴向、冠状、矢状和3D)的检查,发现患者在第一或第二前磨牙下没有任何类型的根尖囊肿。至于第一前磨牙(编号24),存在根尖牙周炎,这主要是因为编号24长时间没有进行根管填充。但注意到在两颗前磨牙之间存在水平骨丧失(红色箭头),这与囊肿的位置相同。
由此可见,这个囊肿并非源自牙齿或牙槽骨,可能的鉴别诊断为:牙龈囊肿。
牙齿与这种类型的囊肿形成没有关系。因此,对第一前磨牙进行根管治疗并不是一个正确的决定,这导致了大量的时间和金钱浪费,并且不幸的是,前磨牙失去了活力。所有这些问题都源于在治疗前未进行术前X光检查以进行正确诊断。
图4
虽然这个囊肿仅通过手术切除即可治疗,但有一颗长时间开放根管的牙齿需要在进行任何手术干预之前进行彻底的清洁和成形,然后进行充填。
该案例的挑战之一是去除前磨牙根管内的未知物质,该物质闻起来类似于甲醛。但由于良好的冲洗方案和超声波激活,成功地完全去除了该物质(图4A),然后进行了根管治疗的所有步骤,并通过X光确认了每一个步骤。牙齿使用基于MTA的封闭剂和连续波凝结技术进行充填(图4D)。
图5
在根管治疗完成3天后,进行了局部麻醉下的囊肿手术切除。从犬齿到第一磨牙制作了一个包裹式翻瓣。囊肿被成功完全切除(图5B),注意到这个囊肿仅与未附着的牙槽黏膜相连,这意味着这是其起源部位。另一方面,它与牙槽骨或牙齿没有接触(图5A),但囊肿体积的增大对骨骼和牙齿造成了压力,导致水平骨丧失以及前磨牙的1级松动(图5C)。
显微镜检查(图5D)显示,纤维胶原组织上覆有局部成束的分层鳞状上皮,由增殖的成纤维细胞组成,并混有轻度慢性炎性细胞浸润,包括淋巴细胞、多形核白细胞和组织细胞。
根据以上所有信息,我们可以明确地判断这是一个牙龈囊肿。
正确诊断疾病及其原因是消除疾病的唯一途径,通过这个案例,可以清楚地看到由于错误诊断给患者带来的身体、心理和物质损害。
不可否认的是,术前检查的有效作用,明确了疾病的性质和现有问题,从而结束了患者长达七个多月的痛苦,仅在两周内解决。
结论
在牙科医学中,正确的诊断通常是在临床和放射学评估之后提供的。放射影像是临床医生可用的重要工具之一,帮助识别问题、定位牙齿并制定治疗计划。至少需要拍摄一张使用平行技术的当前术前X光片,以识别病变的存在及其性质。
临床医生必须接受训练,以在放射影像中识别正常的解剖标志以及可能模仿病变的解剖变异,并意识到当辐射几何不理想时,放射影像可能会出现相当大的失真。
定期使用牙科X光将增加检测到的病理数量,从而使患者更健康,客户更满意。
来源:https://endodontics.styleitaliano.org/pre-operative-x-ray-suggested-or-obligatory/
-END-
声明:本文转载自<上术口腔>,仅用于学习交流,如有侵权,请立即联系我们处理。内容仅代表作者个人观点,望大家理性判断及应用。



