掌骨骨折是手部和上肢最常见的骨折之一,可能导致严重的残疾。这些骨折的临床和放射学特征对于治疗非常重要。下面介绍一下今年核心期刊文章观点。
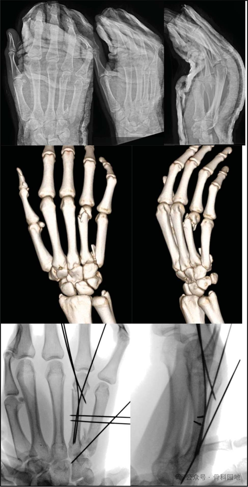
一、掌骨头骨折
对于累计关节面20%或存在1mm台阶的骨折,建议进行手术治疗,术技术包括经皮穿刺闭合复位、克氏针固定、微型螺钉固定或微型钢板
固定。

对于远端骨量充足的骨折,髓内固定的应用可能是可行的(图2)

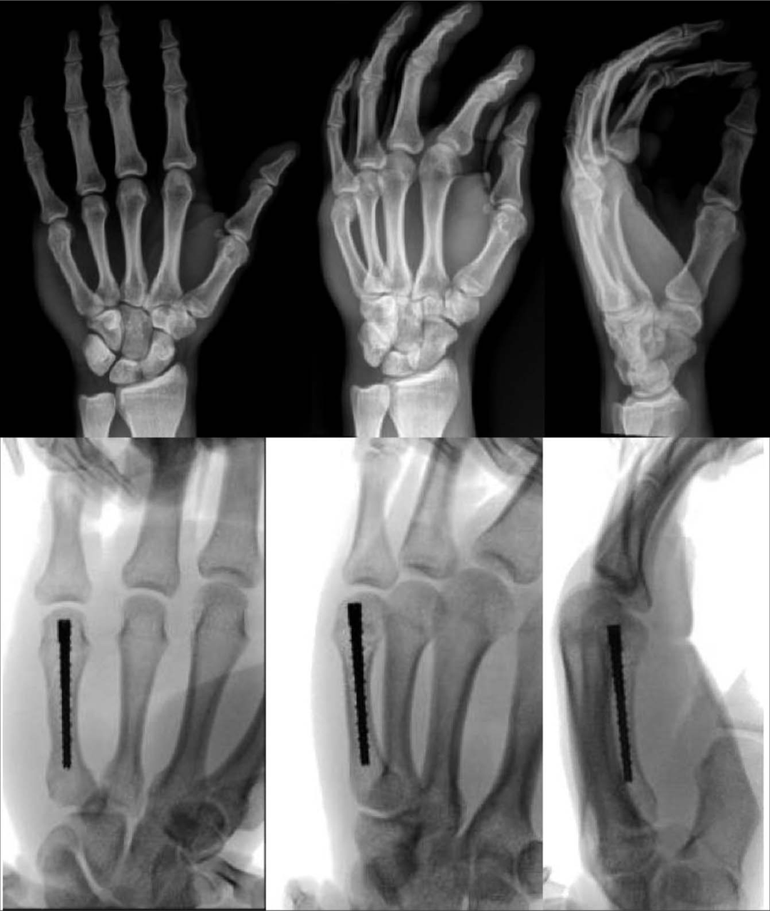
二、掌骨颈骨折
文献表明对于第五掌骨颈骨折没有旋转不良的患者,使用绷带保守治疗是足够的。手术可选择克氏针固定、髓内固定、单独使用骨折段间螺钉、钢板和螺钉等。
其中锁定钢板可立即活动,克氏针组固定至4~6周拔针。掌骨颈骨折重要的手术决策点是有多少骨可用于远端固定。可用于固定的骨量极少的骨折最好采用克氏针固定。


髓内治疗可用于固定的骨量充足的骨折。

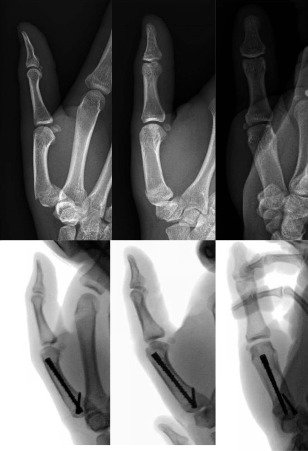
三、掌骨干骨折
手术治疗,有几种不同的技术可使用,包括克氏针固定(最常见)、单独骨折间螺钉、钢板和螺钉、髓内固定或外固定。
髓内螺钉可以是一种安全的技术,即使对于粉碎性或螺旋型骨折,也可以最大限度地减少手术时间。

最后一个需要考虑的固定选择是外固定架的应用,尽管这种方法不太常用。适用的适应症包括开放性骨折、软组织缺损、骨髓炎或节段性骨缺损。
四、掌骨基部骨折
第一掌骨基部骨折对非手术治疗的耐受性更高,因为腕掌骨关节代偿。手术选择包括经皮闭合复位与切开复位和内固定技术,包括骨折间螺钉、钢板和螺钉结构或髓内固定。

-END-









