难复性股骨颈骨折
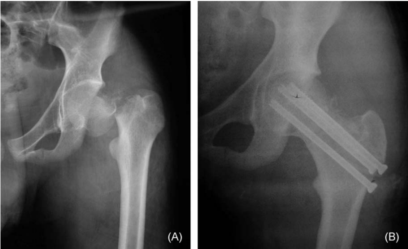
难复性股骨颈骨折定义为在患者全身麻醉下,经过常规闭合复位(如Whitman手法或Leadbetter手法)后难以实现解剖复位的骨折。此类骨折有两种机制。首先,近端骨折块完全与远端股骨分离,成为“浮动”股骨头,使得远端与近端股骨的对线相当困难(图1)。
图 1. 一名15岁男孩因汽车与行人事故导致左股骨颈骨折。前后位X光片(A)显示近端骨折块完全与远端股骨分离,成为“浮动”股骨头,使得远端股骨与近端对线相当困难。采用新技术处理骨折,术后X光片(B)显示解剖复位和牢固固定。
或者,更罕见的是,近端节段旋转后嵌插入远端部分,并作为一个整体随远端部分移动。结果,移位-嵌插型股骨颈骨折无法通过手法操作复位(图2)。
图 2. 一名54岁女性从约1.5米高处坠落导致的难复性右股骨颈骨折。远端节段嵌插入近端部分并随之旋转,脱位的股骨头无法通过手法操作复位(A,前后位X光片;B,右股骨颈骨折的CT三维重建图像)。
这两种类型的股骨颈骨折都可能导致近端节段从关节囊脱离,这在股骨颈头下型骨折中常见,可导致近端节段在关节囊内不受控制地滚动,这将使得获得解剖复位非常困难。
本期介绍张英泽院士团队提出操作杆微创伤复位程序,即插入两根克氏针到股骨头并作为操纵杆使用,已被应用于处理难复性股骨颈骨折。该程序有助于实现高质量的解剖复位,无需多次尝试,并避免了对股骨头血供的额外干扰。克氏针不仅在获得复位方面可以提供很大帮助,而且在实现解剖复位后,还可以协助维持稳定的结构位置以便更好地固定。
手术技术
应用股骨颈骨折的微创伤复位程序,患者在全身麻醉下取仰卧位。必须首先通过触诊定位股动脉。克氏针或斯氏针在大腿近端的插入点位于股动脉外侧1.5-3厘米处。应仔细准备导丝的插入角度。首先在术中透视引导下,将一或两根克氏针或斯氏针经皮穿过软组织插入股骨头,针尖方向略偏外侧。再次进行触诊以确认股骨神经血管束完好无损。将克氏针或斯氏针垂直插入股骨头中部1/2至2/3处,股骨头软骨下骨下方超过1厘米。将针插入股骨头,深度约为股骨头直径的1/2(图3)。
图 3. 前后位X光片(A)显示克氏针插入股骨头中部1/2处,股骨头软骨下骨下方超过1厘米。侧位X光片(B)显示克氏针插入股骨头,深度约为股骨头直径的1/2。
如果患者有骨质疏松症,则应将克氏针插入超过股骨头的2/3,以确保良好的把持和控制。使用术中C臂透视来相应地指导和调整克氏针的方向和位置。然后,将股骨头旋转至其原始移位状态。
为了处理脱位-嵌插型股骨颈骨折(其中一个骨折块牢固地嵌入另一个骨折块中),将克氏针插入股骨头作为操纵杆,从而可以操纵近端骨折块。然后轻轻旋转远端股骨并向外侧-下方方向拉出,同时将近端骨折块固定到位,以促使其与远端股骨分离。当移位-嵌插型骨折转变为完全脱位骨折时,可以借助操纵杆提起并旋转近端骨折块以复位骨折。拍摄标准化的前后位(AP)和侧位X光片以评估近端骨折块的复位情况。最初通过将X光片与对侧正常近端股骨的X光片进行比较来评估复位情况。如果复位可接受,将通过控制克氏针将近端骨折块固定到位。然后,使用Leadbetter手法、Deyerler手法或Whitman手法进行远端股骨的复位。在某些情况下,由于肌肉的牵引,远端骨折块向内下方脱位,可以使用无菌单将远端骨折块向上外侧牵引(图4)。
图 4. 助手旋转两根克氏针以复位骨折,并在将导针插入股骨颈时保持克氏针稳定。由于肌肉的牵引,远端骨折块向内下方脱位。使用无菌单将远端骨折块向上外侧牵引。
如果经过这些努力后仍无法实现解剖复位,可以尝试同时旋转和外展近端和远端骨折块作为复位的最后努力。然后拍摄标准化的前后位和侧位X光片以评估远端骨折块的复位情况。比较患侧与对侧肢体的小转子可以防止远端股骨的对线不良。在通过克氏针将复位维持在稳定位置的同时,将三枚导针插入股骨颈。然后插入三枚空心螺钉以实现最终固定。
图 5. 一名37岁男性因交通事故导致左股骨颈骨折(A,前后位X光片)。该骨折无法通过常规手法操作复位。采用新技术处理骨折,实现了解剖复位和牢固固定(B,前后位X光片;C,侧位X光片)。
-END-
声明:本文转载自<骨创伤笔记>,版权归原作者所有,仅用于学习交流,如有侵权请联系删除。









