钉棒系统内固定是目前外科治疗胸腰椎疾患的主流术式,椎弓根螺钉的准确置入是此技术的关键,如何提高置钉精确度、减少二次置钉,是目前临床研究的热点。自椎弓根螺钉问世以来,颈胸腰椎椎弓根一直是骨科医生研究的重点和难点。今天给大家分享的是脊柱椎弓根螺钉置钉技巧,值得学习借鉴!
01
椎弓根钉系统
椎弓根钉:直钉、U型钉
椎弓根钉的开口方向:上开口、侧开口
杆和钉的连接:钉杆直接连接、通过侧块连接
02
椎弓根的应用解剖
椎弓根起自椎体两侧的后上端,向后突出构成椎管的侧壁,椎弓根的上下缘称为椎弓根上下切迹,与相邻上下椎弓根切迹相连形成椎间孔。孔内有脊神经及血管通过。
腰神经根仅占腰椎间孔的前上1/3,椎间孔内有脂肪组织;腰骶及下胸部脂肪组织较多且疏松;上胸部脂肪较少且混有纤维组织;颈部几乎全是纤维组织,很少脂肪。
椎弓根剖面呈现椭圆形,周围是皮质骨,中心有少许松质骨,后部几乎全是皮质骨,该处骨性坚固,故有的学者将其理解为后柱连接前柱的三维性坚强的钳夹,有的称之为力核,说明了椎弓根的重要意义。
脊椎的横突、椎板、上下关节突均会合在椎弓根的同一点上,所有从脊柱后方传递到椎体的力均通过此点。
浅表大肌群:腰髂肋肌 最长肌 胸棘肌
深层的节段间小肌群:回旋肌 棘间肌 多裂肌
椎弓根的后面是乳突和副突,分别有腰多裂肌及最长肌起止,这些肌肉具有轴向旋转、侧弯及后伸脊柱的功能,更进一步说明椎弓根具有传递力到前方椎体上的功能,并能控制一定方向的运动。
多裂肌:起于骶骨背侧面、腰椎乳突、胸椎横突及颈椎关节突,斜向上走形止于棘突,是躯干肌中的重要肌群,对脊柱稳定性尤其是动态稳定性起关键作用。
通过椎弓根将螺钉拧入椎体,能够控制脊柱整个“三柱”的复合结构,达到较好的三维固定。
椎弓根内侧与脊髓相邻,而且借助脊髓被膜与脑脊液相隔,间距为0.2~0.3cm。在腰段,神经根在椎弓根下面,是钻孔最容易损伤的部位,椎弓根的上方及外侧无重要结构,较为安全。
03
椎弓根钉优势
Whitecloud认为,椎弓根是脊椎上最为坚强的部分,是对脊柱进行操作和制动的有效作用点。通过椎弓根器械的正确安放,可以免除脊柱的钩-杆系统中的固定钩或luque系统中的椎板下钢丝对腰椎管造成的医源性狭窄。
而且与前代固定系统相比,椎弓根器械可以在获得有效固定的同时,维持脊柱的正常解剖,最大限度地保留脊柱的运动节段。在同一器械的不同节段,可以分别进行牵开、压缩、旋转、恢复前凸以及椎体的向前和向后平移。
Vanden- berghe等在尸体研究中发现,与先前的其它器械如harrington、hartshill框架及luque技术相比,椎弓根器械的力学优点更胜一筹。
在控制各个方向的异常活动包括旋转活动方面作用明显,并且由于椎弓根器械对于三柱均有良好的稳定作用和其自身的通用性,在保持和重建腰椎生理前凸方面的作用也非常可靠。
04
置钉步骤
椎弓根螺钉不同一般骨螺钉,三维空间通过一狭小空间,椎弓根螺钉置入一般有这几个步骤:
确定进钉点;
把握进钉水平面角度(TSA)和矢状面角度(SSA);
对进钉深度有一定要求;
对螺钉的长度有一定要求。
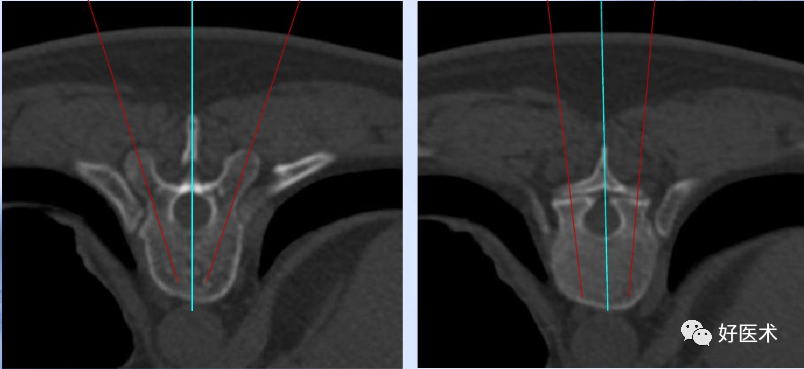
1.进钉点:颈胸腰各有不同。目前腰椎较常用的“人字嵴顶点法”,“十字法”,进钉点与椎弓根轴线吻合较好。胸柱较常用下关节突与横突中轴线交点。
准确定位:
腰椎:人字嵴定位方法 Magerl进针定位法 乳副突间凹
胸椎:Dick进针定位法
术前X线片:
人字嵴定位方法
椎弓根螺钉进针点的确定
腰椎Magerl进针定位法
Ebraheim等:L1~3椎弓根中心点分别位于横突中轴线上方3.9、2.8和1.4mm处;L4、L5椎弓根中心点分别位于横突中轴线下方0.5和1.5mm处。
乳副突间凹:宁上勿下,宁外勿内(腰椎)
腰椎椎弓根钉最可怕的是突破内下方,神经根在该处紧贴椎弓根,且几乎没有移动空间。若置钉单纯偏内或偏下,即使突破皮质一般情况下不会导致并发症,但不能偏内的同时又偏下。
经典的“人字嵴”法置钉有时候稍偏内和下,这样其实是不安全的。一般在选人字嵴顶点的稍偏外和上方为入点,最理想的定位点。
乳副突间凹:椎弓根后有乳突和副突,乳突起始于上关节突的下外方,副突位于横突根部的下方,乳副突间有一骨嵴,它起始于乳突根部的下缘并延续于副突,在乳突根部的交汇点处形成凹陷,类似人字嵴,但并不完全一样。总之,进钉点不是一个点,而是一个区域。
胸椎Dick进针定位法
胸椎进针点综合
腰骶定位为上关节突的外缘切线与上关节突下缘水平线的交点。骶骨上关节突恒定存在,右侧关节面相当5点处,左侧相当于7点处为进针点。
2.TSA、SSA:TSA角度可以从CT片子上测量,SSA与体位有一定关系,可以在术中用C型臂监控。
腰椎定向
胸腰交界向内倾斜5°
L2向内倾斜10°
L5向内倾斜15°
L1-4与终板平行
L5前倾10°
胸椎定向
胸椎从上到下内倾角逐渐减小
向中线倾斜7~10°
向头端倾斜10~20°
注意:胸椎的进针方向在矢状面上一定要偏下10~15°,不能要求一定与终板平行,这跟胸椎椎弓根形态有关系。
S1:方向与中线呈10°,倾向尾侧的方向,对照X线片或C臂成像因人而异,有时倾斜方向可达30~40°,锥钉一般不会落空。
3.深度
螺钉长度达到椎弓根轴线长度的80%已获得足够的生物力学强度,过长易穿透骨皮质损伤血管等。
一般胸椎:40mm;上腰段45mm,下腰段50mm,主要以术前侧位X线片为参考值。
4.长度:进针点至椎体前侧皮质总长度的83%。
05
开 口
开路器械只是提供进针的开口,具体方向可用探针探(因为椎弓根内为松质骨,可以用探针深入约3cm,如若骨质较硬则不要强行操作),用手椎的过程中不要上下晃动,始终保证一定的下沉力。
进针方向要根据探针的结果来调整。因为进针点偏内偏外很难避免,这就需要通过角度的调整来矫正(书上的角度仅供参考)。
"红色出血面":将进钉点处骨皮质破开后,使用2mm克氏针的钝头用双手慢慢向下捣开椎弓根内的松质骨,可以听到特有的“嘹嚓”的声音和特殊的手感,直到椎体前皮质,可以听到较坚硬的弹响声,拔除克氏针,可以测量椎弓根钉的长度,这样的方法置入椎钉,一般可保证钉位于椎弓根的中央,一定要用克氏针的头。
06
颈椎椎弓根钉置入法
1.上颈椎
1)寰椎
马向阳发现寰椎椎弓根宽度为7.78mm。建议以寰椎下关节突中心点的纵垂线与经过寰椎后弓上缘下方30mm的水平线的交点作为螺钉的进针点,内倾10°,上倾5°,钻孔便可,无须显露寰枢间的血管神经丛,也避开了椎动脉。
进行寰椎椎弓根螺钉固定是可行的,其决定因素是椎动脉沟处的寰椎后弓高度,小于4mm则改为侧块螺钉。
2)枢椎
Ⅹu等通过解剖研究,将进钉点为枢椎椎板上缘水平线下5mm与椎管内侧缘外7mm的交点处。
Howi ton等也通过解剖研究,确定了另一种进针点定位方法:枢椎棘突正中垂线外侧26mm与枢椎下关节突的最下缘上方9mm的交点处。若术中枢椎关节突外侧的椎动脉得以显露,则该进钉点与椎动脉内缘的垂直距离为1.38mm。
李志军等则将进钉点确定为枢椎横突下缘水平线与关节突的1/4垂线的交点处。
枢椎椎弓根的高度或宽度小于5mm,则建议改为侧块螺钉固定。
枢椎椎弓根钉置入法
2.下颈椎
下颈椎进针方向示意图
目前进针方法主要有:Abum法、解剖标志定位法、计算机辅助成像定位法等。
abumi等最早报道了应用磨钻打磨穿椎板外侧块骨皮质后,X线透视下将小探针经椎弓根髓腔插入椎体中,扩髓后,结合术前CT扫描可见经椎板外侧块骨皮质、椎弓根到椎体前沿的长度及椎弓根髓腔内径大小,再置入合适的椎弓根钉。
东来等进钉点定位是以下关节中点划纵线,两关节间隙中点划横线,C3~C6位于关节突背面外上象限的中点,C7位于关节突中垂线接近上关节面的下缘。
闫德强等发现上下关节突间侧凹、关节突后平面为下颈椎定位标志。垂直于关节突后平面的椎弓后上缘高度水平线与上下关节突间侧凹外缘的矢状线的交点为进针点。从解剖可知,操作时应靠下靠内,以减少突破的可能。
3.颈椎椎弓根螺钉进钉方法
1)颈椎进钉点
C2:枢椎椎板上缘水平线下5mm与椎管内侧缘外7mm交点处;
C3~C6:侧块背面中上1/4水平线与中外1/4垂直线的交点;
C7:侧块垂直中线与中上1/4水平交点偏上方。
2)颈椎进钉角度
C2:内倾20~25°,上倾10~15°;
C3~C6:内倾40~45°,水平面与上下终板平行;
C7:内倾30~40°,水平面与上下终板平行。
3)颈椎选螺钉
C1~C5:螺钉直径3.5mm,深度20mm
寰椎后弓高度,小于4mm则改为侧块螺钉。
枢椎椎弓根的高度和宽度小于5mm,则建议改为侧块螺钉固定。
4.颈椎侧块螺钉置入法
1)Magerl法:
进针点:位于侧块后壁中点内上方1~2mm;
进针方向:外倾25~30°,头倾30°(平行上关节面)
钻孔,钻透对侧皮质,测深后拧入3.5mm皮质骨螺钉。
2)Roy-Camille法
进针点:位于侧块背面中心;
进钉方向:外倾10°;
垂直后皮质钻孔,钻透对侧皮质,测深后拧入3.5mm皮质骨螺钉。
3)Anderson法
进针点:位于侧块中心内侧1mm处;
进针方向:外倾20°,头倾20~30°;
钻孔,钻透对侧皮质,测深后拧入3.5mm皮质骨螺钉。
侧块:
上缘:上关节突关节面最低点
下缘:下关节突最远点
内缘:椎板与关节突的结合部
外缘:骨性边缘
07
胸椎椎弓根钉置入法
1.进针点
Margel和 Roy Camille以横突中点水平线与上关节突外缘垂线的交点为进钉点。
Ebrahim提出:
T1~T2:椎弓根中心位于上关节突外缘内7~8mm,横突中线上3~4mm;
T3~T12:位于上关节突外缘内4~5mm,横突中线上5~8mm。
自下关节中点外侧3mm划一垂线,自横突基底部上方1/3处划一水平线,两线的交点即为进钉点。
下关节突纵轴中线与横突根部中点水平线的交叉线上,小关节突下1mm。
复杂病例切除部分椎板,直视下植入椎弓根螺钉也不失为一种安全的选择。
2.胸椎进钉角度
从T1~T12椎弓根内倾角度递减,上胸椎椎弓根螺钉应与矢状面呈10~20°的内倾夹角,中下段胸椎的椎弓根螺钉应与矢状面呈0~10°的内倾夹角。
而Ebrahim提出T1、T2椎弓根螺钉应与矢状面呈30~40°内倾夹角,T3~T11呈20~25°,T12呈10°,水平面应与上下终板平行。
3.胸椎选螺钉
T1~T5:螺钉直径3.5~4.0mm
T6~T10:螺钉直径4.0~5.0mm
T11、T12:螺钉直径5.5mm
胸椎椎弓根螺钉置入方法
对于成人,胸椎弓根螺钉直径小于5mm,将有断钉隐患。中胸椎很多情况下,无法置入大于5mm直径螺钉,易导致椎弓根崩裂。
有些学者采用椎弓根外侧置入,很好的解决了这个问题。进钉点选横突的尖端,横突中线水平,先钻一小洞,锥子的指向与该椎小关节外侧缘相交。与矢状面的夹角为25-40°,自T12向上度数逐渐增加。置入的螺钉将经过横突、部分的肋横突及肋椎关节、椎体的侧壁,由于进钉途径位于小关节外侧,不可能进入椎管,较安全。另外,倾角增加使螺钉较长较粗,固定强度增加,植入角度范围大,螺钉可位于一条线上,装配较方便。
08
腰椎椎弓根钉置入法
Roy- Camille提出以下述两条线的交点为进针点:垂线为过关节突关节间隙的延长线,水平线为横突平分线。
Magerl采用的进钉标志为沿固定椎体上关节突外缘的垂线与横突平分线的交点。
Krag对 Magerl的方法进行了改进,进钉点较 Magerl方法更靠外,其水平线为横突上2/3与下1/3的交界线。
Levine和 Edwards“上内法”的纵向参考线与 Magerl技术相同,但水平参考线为横突下1/3。
经椎弓根螺钉的进钉点和方向
左:Roy- Camille的直向技术
中:Magerl的向内技术
右:Levine和 Edwards的上内技术
1.腰椎进钉点
人字嵴顶点(上关节突根部后外侧的副突脊与峡部脊会合点)进针法:此位置变异小(出现率为98%),定位咬掉副突。
交点法:横突横轴中线与经小关节外侧的纵轴线交点,或者上关节突外缘。
复杂病例切除部分椎板:直视下植入椎弓根螺钉也不失为一种安全的选择。
2.腰椎进钉角度
L1-L3:5-10°的内倾
L4-L5:10-15°的内倾
L1-L4:水平面应与上下终板平行
L5:10°的夹角
3.腰椎选螺钉
L1~L5:螺钉直径6.5mm,40-45mm螺钉
09
骶椎椎弓根钉置入法
在骶椎,通常进钉点为S1关节突外缘纵线与下缘水平切线交点,指向中线或平行于骶髂关节。椎弓根螺钉可以从标准的往前内侧方指向骶骨体或岬部,或者是向前外方进入骶骨翼。
Edwards发现骶骨螺钉在S1处的植入角度在前内侧25°,或者在骶骨翼外侧成角35°具有最大的拔出力量。
Zi ndrik发现在S2椎弓根螺钉固定的力量最弱,如果要提高螺钉的拔出力量应从偏外侧45°角拧入。
Mirkovic使用椎弓根螺钉通过骶骨前后两面骨皮质以増强固定时,判定S1螺钉放置时易损伤腰骶神经干,髂内静脉和骶髂关节,S1螺钉放置有2个安全区域,其中前内侧最为安全。
1.骶椎进钉点
上关节外缘切线与上关节下缘水平线的交点。
2.骶椎进钉角度
内倾25°,头倾25~30°,锚向骶骨岬,进入软骨下骨。
3.骶椎选螺钉
螺钉直径6.5~7.0mm,深度30~30mm。
10
手术操作
1.步骤
常规入路暴露
尖嘴钳咬一下进针点的骨嵴,去除软组织及少许骨质,定进针点
开路锥--探针探--丝攻攻--探针探--进钉--投照
-
固定钉棒系统
2.手术注意事项
术前一定要有清晰的腰椎正侧位片,正位片可以提示水平方向上入钉位置,侧位片上可以提示垂直位上入钉位置。
入点要准确并适当扩大,可用三棱锥开口或者咬骨钳咬除定位点骨皮质。
确定好大致方向后,适当用力谨慎开路,尖端圆钝探针在进针过程中不应该遭遇明显阻力不能有“落空”感或阻力骤强,在最初的5~15mm遭遇阻力,应及时调整进针点和角度。
如遇到坚强阻力,建议先退出,重新选择方向进入,务必顺应椎弓根方向,椎弓根内部是松质骨,外侧是皮质骨,相对可以自动导向,前提是入点准确并适当扩大,向中线倾斜10—15°,注意与椎体上缘平面平行,掌握大概深度3cm。
用椎弓根探子探四壁很重要,特别是内、下、底壁。
下胸椎和腰椎解剖分辨不清楚时把副乳、下关节突咬掉,再部分咬除上关节突,直视椎弓根内壁和椎弓根入口。
宁外勿内,宁上勿下;旋转为主,前进为辅;边进边探,见硬就停,及时调整,仅用指力,切忌强拧。
螺钉直径以不超过椎弓根外皮质直径的83%为宜。
-END-
声明:本文为好医术作者综合整理,仅用于学习交流,转载请标注来源!



