拇外翻是一种常见的、复杂的、进行性的前足畸形,具有多种临床症状和多因素病因。矫正拇外翻畸形的理想手术治疗方案仍存在争议。已有多种带或不带软组织松解的开放性骨性手术被描述,包括第一跖骨截骨术、第一跖趾关节(MTPJ)融合术或跖楔关节(MTCJ)融合术。在过去十年中,微创手术(MIS)因其临床和放射学结果与传统开放手术相当而越来越受欢迎。
不同代际的微创技术代表了技术和手术方法的进步。Reverdin截骨术是第一代拇外翻微创手术,涉及第一跖骨头的关节内内侧闭合楔形截骨术,无需内固定。第二代技术最初由Bosch描述,采用囊外截骨手术,并通过轴向克氏针固定。第三代技术对该技术进行了改进,使用螺钉进行固定。越来越多的科学证据表明,第三代拇外翻微创手术包括远端跖骨截骨内固定,与第一代和第二代相比,能提供更准确和稳定的矫正。
然而,在老年人中实现允许术后立即负重的稳定固定可能具有挑战性。老年人的骨质疏松骨质量可能是导致固定失败、不稳定、延迟愈合、再骨折和复发的机械失败原因。大多数第三代微创手术研究显示,60岁以下患者的临床和放射学结果有所改善,但关于老年人微创手术的技术要点和临床结果的证据不足。此外,第三代微创手术可能有高达24%的二次手术率,以取出有症状的螺钉,这对老年人来说可能是非常沉重的负担。其他缺点可能是由于老年人与年龄相关的神经源性、血管和皮肤变化,术后皮肤和软组织并发症的风险增加。最后,已有研究表明,第一跖趾关节的骨关节炎变化随年龄增长而增加,这可能导致在晚年矫正畸形时出现关节僵硬。然而,骨关节炎和关节僵硬对老年人拇外翻功能和临床结果的影响尚未明确。
国外学者介绍了一种第一跖骨的微创无螺钉三平面截骨术治疗老年人拇外翻。本公众号将该技术整理后与同道分享。
手术在神经阻滞麻醉下进行,患者取仰卧位,足部悬于手术台远端边缘。对侧膝盖弯曲,以便显露足部内侧。在手术肢体一侧放置小型C臂透视机,以便使用正位和侧位视图进行术中成像。手术过程中不使用止血带。患肢常规消毒铺单。
在拇囊炎近端做一个3毫米的切口。随后引入经皮骨锉,将第一跖趾关节囊与内侧、背侧和外侧的骨分离。使用1毫升生理盐水扩张第一跖趾关节囊。使用2.9×15毫米钻头进行有限的拇囊炎切除术。持续冲洗用于冷却钻头和骨骼,并使用骨锉去除关节内骨碎片。通过透视控制确认拇囊炎切除术效果。远端软组织松解包括部分关节囊切开术和内收拇肌肌腱切断术,通过第一跖趾关节外侧的3毫米切口进行。
通过同一个内侧切口,引入2.0×19.5毫米钻头(进行第一跖骨截骨术。截骨术包括3个不同的截骨面:背侧、内侧和外侧。使用Sawbone模型来说明进行三平面截骨术所涉及的不同截骨及其方向。背侧截骨的深度为第一跖骨高度的1/3。内侧截骨从远端向近端开始,与跖骨长轴成45度角。再次通过内侧切口插入钻头进行外侧截骨,此时与跖骨长轴成30度角。内侧截骨比外侧截骨更短、更陡峭,以促进远端骨块的可控侧向平移。这种几何设计倾向于将位移限制在单一方向,提高矫正的可预测性。为避免头部抬高,钻头在冠状面朝向约10度的跖侧方向。
截骨完成后,将弯曲的骨膜剥离器插入截骨部位,以平移第一跖骨头。通过近节趾骨基部内侧的3毫米切口进行额外的Akin截骨术。使用一枚2毫米克氏针通过截骨端沿拇趾内侧软组织向远端穿过,从趾尖的跖内侧穿出。然后将克氏针逆行插入第一跖骨的髓管。
在最终确认拇外翻矫形满意后关闭伤口。应用绷带保护手术伤口和克氏针。术后一天允许患者根据耐受情况完全负重,使用前足减压的术后鞋。六周后患者可以根据耐受情况开始穿常规鞋履。
骨质疏松骨中螺钉固定不佳可能导致二次移位,进而导致不稳定、延迟愈合或骨不连、再骨折和复发。第三代微创手术技术,如Chevron截骨技术(MICA:微创Chevron和Akin截骨术)和横向截骨术技术,不能提供足够的内在稳定性,因此需要螺钉骨缝合进行刚性固定。三平面截骨术具有内在稳定性,无需使用螺钉。这种截骨术的主要优势在于可以省去螺钉固定,从而避免与螺钉相关的并发症,如螺钉松动、断裂、位置不当和螺钉软组织激惹。
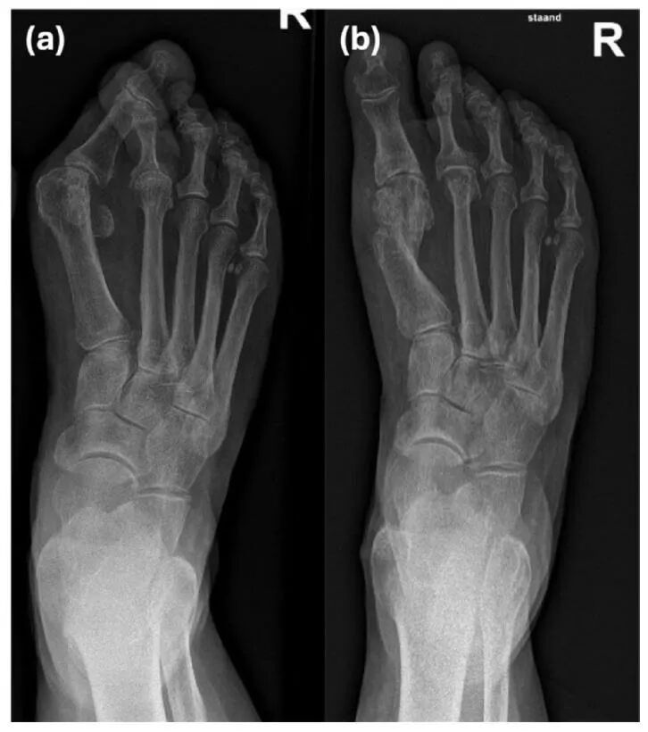
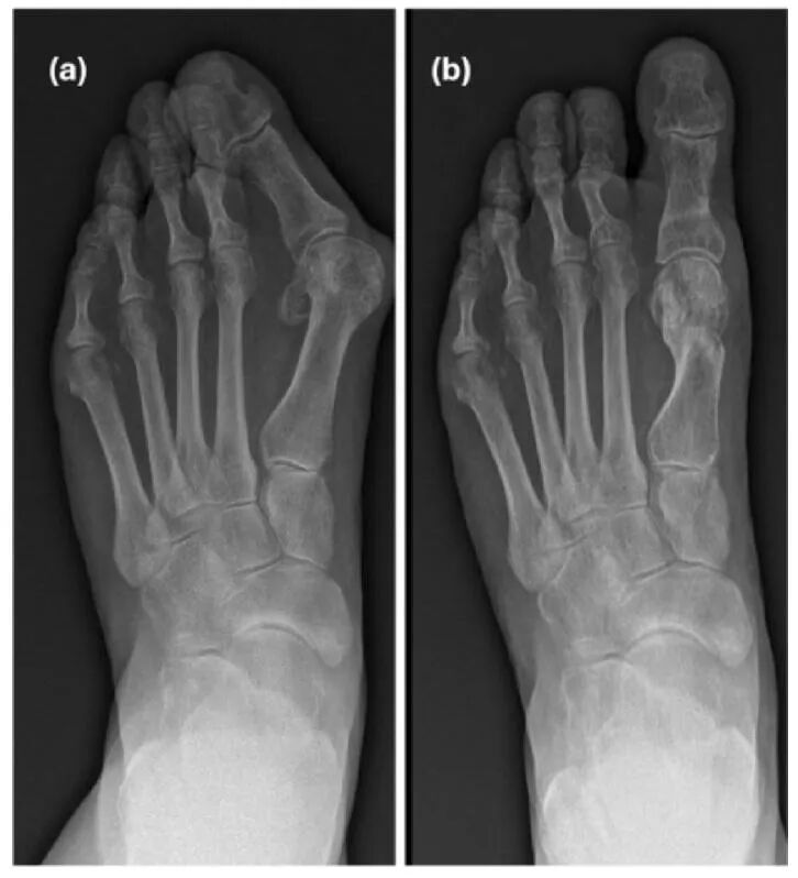
横向截骨术是单平面的,允许多方向平移,且操作更简单,但骨接触有限,可能影响稳定性。Chevron截骨术是双平面的,可实现可控的侧向移位,提供更大的骨接触和稳定性,但技术要求更高。本研究介绍了一种新的使用微创原理的三平面跖骨截骨术,用于矫正拇外翻畸形。两个不同的截骨方向,较短、较陡的内侧截骨和较长、较平的外侧截骨。这种设计可能方便将远端骨块向单一方向(特别是侧向)移位。另一个优势是三平面截骨有助于防止负重期间跖骨头的背侧移位,这是在以前的无螺钉跖骨截骨术(如Bosch技术和SERI技术 )中观察到的并发症。截骨术的内在稳定性使得无需使用螺钉固定或其他内固定物。跖骨头在冠状面的跖屈(约10度)也避免了转移性跖骨痛。三平面截骨术还能够矫正拇趾的旋转畸形并复位籽骨。
无螺钉微创三平面截骨术在60岁及以上患者的拇外翻治疗中,在临床、功能和放射学方面均有显著改善。
-END-
声明:本文转载自<足踝一昇>,作者张伟教授!版权归原作者所有,仅用于学习交流,如有侵权请联系删除









