第九期:外侧固定平台单髁置换术(Link假体)
一、病例介绍
女性患者,69 岁,右膝关节疼痛伴活动受限 5 年余。
体格检查:右膝外翻畸形,约6°,无屈曲畸形。屈曲20°内翻应力下外翻畸形可纠正,屈曲90°可自行纠正。外侧关节间隙处压痛阳性。活动度:0°~115°。
X-Ray:右膝外侧间隙明显狭窄,站立位外侧间隙消失,内侧间隙正常,膝关节稳定。
诊断:右膝关节外侧间室OA。
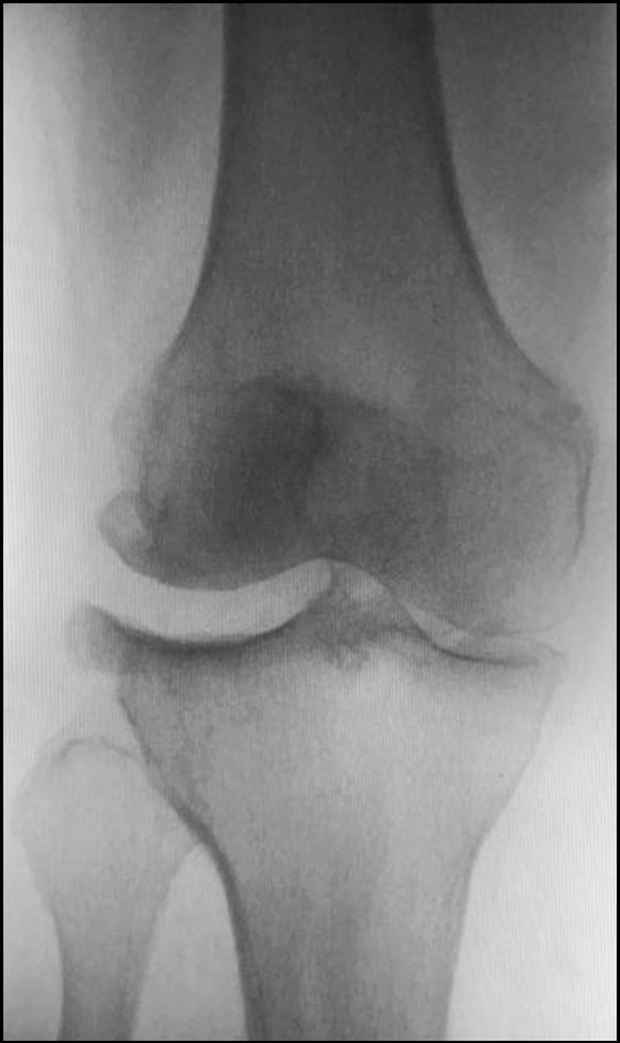
二、术前X片
术前透视片
三、手术视频
四、术后X透视片
第九期:外侧单髁手术技术要点(link假体)
技术要点1:切口与暴露
-
外侧支持带切开:沿髌骨外缘1-2mm及髌腱外侧切开。
-
消除髌骨遮挡作用:髓腔内插入2.5mm导针。
技术要点2:截骨宽度:ACL止点
以不损伤前交叉韧带为原则。
技术要点3:截骨厚度:2-4mm
胫骨截骨深度尽可能保守,最大2-4mm。
技术要点4:截骨厚度:2-4mm
截骨深度:胫骨截骨应尽可能保守(<5mm),以利用胫骨近端皮质的强度,并提供尽可能大的承载面积。
技术要点5:水平截骨-轻度外翻

内外翻: 胫骨截骨导杆与胫骨前缘平行(冠状面),轻度外翻。
技术要点6:垂直截骨-内旋

内外旋: 胫骨矢状锯切应轻微内旋约10 - 15°,以避免在伸膝时股骨假体与棘突撞击,在屈曲时与髌骨撞击。
内外旋: 沿外侧胫骨棘锯切,轻微内旋,以适应锁定机制。钝性牵拉髌腱有利于胫骨锯切。
技术要点7:股骨假体冠状位:轻度外旋
股骨假体略微外旋放置,股骨假体与胫骨假体表面垂直,股骨假体在屈曲和伸展时都将以胫骨假体为中心 。
技术要点8:股骨假体横断面:轻度外移

股骨假体尽可能向外侧放置,股骨与胫骨假体中心保持一致,从而避免在膝关节从屈曲向伸直运动时假体撞击胫骨棘突。
技术要点9:假体安装(股骨)
遵循股骨优先原则:先安放股骨假体,再安放胫骨假体。
技术要点10:假体安装(胫骨)
膝关节屈曲45°, 前拉、 外旋胫骨, 安装胫骨假体,假体间插入2mm插片直至骨水泥凝固。
技术要点11:伸直位确定胫骨假体厚度
假体试模复位后屈曲间隙(11mm)>伸直间隙(9mm),在膝关节完全伸展时确定胫骨假体的厚度(9mm) 。
作者介绍
涂意辉 教授
-
博士,主任医师,博士生导师;
-
同济大学杨浦医院关节外科主任;
-
中国医师协会骨科医师分会第五届委员会 全国委员;
-
中国医师协会骨科医师分会保膝学组副组长;
-
中国老年保健协会骨关节保护与健康分会副会长;
-
中国研究型医院学会膝关节部分置换研究学组副组长;
-
中国研究型医院学会膝关节保护与矫形学组委员;
-
上海市中西医结合学会关节病专业委员会常务委员;
-
上海市医师协会骨科分会关节委员会委员;
-
上海市医师协会运动医学医师分会委员;
-
英国牛津大学Nuffield 骨科中心 fellow;
-
《中国骨质疏松杂志》、《生物骨科材料临床研究杂志》编委。
-END-
声明:本文为原创内容,作者涂意辉,版权归原作者所有,仅用于学习交流,未经授权禁止转载!









