胫骨平台骨折通常使用解剖型近端胫骨锁定钢板系统进行手术治疗。这些钢板允许在维持解剖复位的同时对骨折碎片进行筏式固定和/或支撑 。这些钢板存在一些缺点,例如昂贵、相对高切迹且不易塑形,这可能导致软组织刺激并需要移除植入物 。此外,用力塑形钢板以适应骨表面可能会损坏锁定螺钉机制或阻碍通过钢板产生骨折块间加压的能力 。
对于后侧、后外侧和后内侧基底的骨折,现有的解剖钢板可能不易捕获/支撑多个小的骨折碎片,并且在需要时可能无法足够接近关节面延伸。这可能会阻碍所需支撑位置的合理性和微调,导致骨折移位、复位不良或固定失效 。
近端胫骨钢板系统的持续发展侧重于降低钢板切迹,以创建体积更小、更稳定的结构,减少引起软组织刺激的可能性。此外,最近的钢板设计旨在适配和支撑累及胫骨平台特定部分的骨折,这些部分由于其独特的解剖结构而无法被传统钢板支撑。
一些研究报告了使用小碎片 3.5 mm 钢板治疗胫骨平台骨折的良好效果,无论是在生物力学还是临床上。本期介绍其在单髁、多髁和粉碎性胫骨平台骨折中使用微型钢板的作用和经验,并重点介绍其手术技术。供临床医师参考:

手术技术
患者体位与手术入路
-
患者体位取决于骨折形态,进而决定所采用的手术入路。
-
许多病例采用双入路:患者仰卧位,膝关节屈曲 15 度并支撑。入路包括前外侧+内侧或后内侧入路 ,并尽量保持两个纵向切口之间至少 7 厘米的距离。
-
对于累及后侧平台的骨折,手术通常在俯卧位下进行,前侧平台部分的固定分阶段完成。
-
在一些病例中,除标准入路外,还使用额外的内侧或外侧前入路,用于在骨膜外有限地应用碎片特异性钢板。
-
使用多个微型钢板联合标准 3.5 mm 钢板的病例,通常在同一手术或分次手术中分阶段完成,以避免软组织并发症。
-
手术通常在全身麻醉下进行,不使用止血带。
-
所有术前已存在的临时外固定装置在最终手术铺单前移除。
外侧平台骨折
-
仰卧位下,通过前外侧入路显露外侧平台。复位技术取决于骨折形态。
-
在劈裂型和劈裂塌陷型骨折中,通过打开骨折、清理关节面、抬升塌陷的关节骨块(如果存在)以及抬升外侧骨块来完成复位。
-
这可以使用骨膜剥离器或 C 型钳完成。
-
在单纯塌陷型骨折中,使用骨窗抬升塌陷骨块,然后通过皮质窗在下方填入植骨材料或骨缺损填充物。
-
确保复位后,用 2 枚关节下克氏针 (Kirschner wires) 临时固定骨折。
-
将外侧钢板放置在胫骨近端前外侧表面,远端根据整体骨质情况使用混合锁定和非锁定螺钉固定,近端放置筏式锁定或非锁定螺钉。
A-C) 62 岁男性劈裂塌陷型外侧平台骨折的 CT 扫描。 D-I) 术中 C 臂机 X 光片显示复位、关节骨块抬升和固定的步骤。 J, K) 术后 6 周随访 X 光片。 L, M) 术后 13 周随访 X 光片显示植入物稳定且骨折愈合。
前缘(边缘)平台骨折或结节固定
-
对于胫骨平台前缘骨折的病例,可以通过前外侧或内侧切口处理,并使用水平放置的微型钢板进行稳定。
-
钢板水平放置,至少有两个孔位于骨折边缘上方。
-
确保边缘骨折复位后(可用 0.9-1.1 mm 克氏针临时固定),在骨块一侧拧入一枚微型螺钉。
-
然后使用 C 型钳水平方向加压骨块,确保形成的环状结构紧密贴合前侧皮质,然后在钢板远端孔拧入一枚微型螺钉,再依次拧入钢板剩余孔的螺钉。
-
结节固定通过前内侧或外侧入路完成,钢板放置在骨块的内侧或外侧,避免直接放置在前方。
A-D) 55 岁男性多髁粉碎性胫骨平台骨折的 3D CT 图像。 E, F) 使用扩展后侧入路对后侧和内侧部分进行一期 ORIF 的术中 C 臂机图像。注意内侧边缘水平放置的钢板 G, H)。 I, J) 一期手术后 3 天,通过前外侧和内侧切口对前内侧和前外侧部分进行二期 ORIF 的术中 C 臂机图像。 I, J) 使用磷酸钙骨腻子(骨水泥)支撑前内侧缺损。二期 ORIF 术后即刻 X 光片。 K, L) 术后 34 周随访 X 光片显示骨折愈合且固定稳定性可接受。可注意到内侧胫骨平台轻度塌陷,但考虑到骨折特征,仍在可接受范围内。
内侧和后内侧平台骨折
-
通过单独的内侧或后内侧切口,通常在复位固定外侧平台之前显露内侧平台。
-
使用轻度欠塑形 (under-contoured) 的微型钢板稳定内侧平台,在骨折线远端拧入非锁定螺钉,作为每个骨块顶点的局部防滑固定 (focal antiglide fixation)。
-
穿过骨折块的螺钉被放置,但最初保持较短,以免干扰外侧固定。
-
通过使用多个微型钢板,我们能够可靠地支撑多个碎片。
A-D) 54 岁女性患者多髁平台骨折(包括前外侧、外侧、前内侧和后内侧骨折)的 3D CT 扫描。 E-J) 术中 C 臂机 X 光片显示复位和固定的顺序。 J, K) 术后 24 周随访 X 光片显示骨折愈合且固定稳定。
后侧和后外侧平台骨折
-
这些骨折通常通过俯卧位下的后侧入路处理。
-
对于复杂的后柱骨折,我们倾向于松解腓肠肌内侧头 (take down the medial head of the gastrocnemius) 以最大化显露。
-
通过此入路,我们能够常规地将固定充分延伸至后外侧平台。
-
使用标准技术进行复位,每个骨折块用克氏针临时固定。
-
再次使用微型直型、T 型或 L 型钢板以防滑或支撑方式支撑多个碎片。
-
由于小钢板的相对柔韧性,标准的反向预弯 (standard under bending) 能在这些凹面上形成极好的骨接触。
-
最多可将三块钢板放置在后外侧、正后侧或后内侧区域,无需担心软组织问题
A-C) CT 扫描图像显示 43 岁男性后侧、后外侧和前内侧平台骨折。 D) 34 个月随访 X 光片(因新发症状拍摄),显示股骨远端外侧髁骨折,同时显示胫骨平台骨折愈合(位置与初次 ORIF 后相比无变化)且植入物稳定。 F, G) 使用两块外侧微型钢板进行股骨远端骨折 ORIF 术后 3 个月拍摄的 X 光片,显示股骨髁骨折愈合且所有植入物稳定。
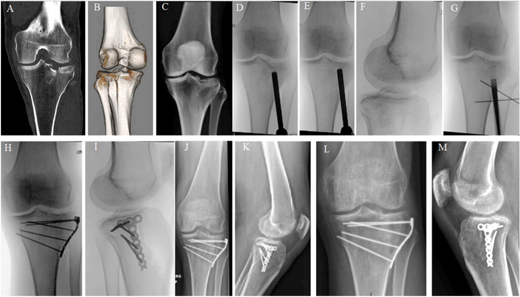
A-C) 51 岁女性双髁平台骨折的普通 X 光片和 D-F) CT 扫描图像。 G, H) 术中 C 臂机图像显示通过不同切口进行复位和固定的顺序。 I, J) 术后即刻普通 X 光片显示使用内侧微型钢板作为支撑。 K, L) 术后 18 个月随访普通 X 光片显示骨折愈合。患者出现内侧伤口肿胀和渗液数天。 M) 手术清创和移除内侧钢板后的 X 光片。
结论
根据骨折特点,低切迹微型钢板在单髁和多髁胫骨平台骨折中,无论是与近端胫骨解剖钢板系统联合使用还是单独使用,效果均良好。它们似乎是维持复位且不引起软组织并发症的令人满意的植入物。
【声明】本平台所分享内容,部分为公开发行的期刊文献、出版书籍或网络平台资料,版权归原作者所有,平台仅进行翻译、整理、归纳并分享,供学习参考。如有侵权可联系删除。
-END-
声明:本文转载自<骨创伤笔记>,版权归原作者所有,仅用于学习交流,如有侵权请联系删除









