肩胛骨骨折常见于直接暴力损伤,肩胛骨体部、颈部、盂后方的骨折大部分可通过Judet入路或前方胸大肌三角肌入路显露。对累及关节盂前下方的骨折,如脱位所致骨性Bankart,上述2入路在显露及固定上存在劣势:
-
Judet入路无法显露肩胛盂前下方;
-
胸大肌三角肌入路需切断肩胛下肌,创伤大,存在肩关节僵硬风险;
-
胸大肌三角肌入路置钉困难,无法垂直骨折线,内固定强度欠佳。
为解决目前在肩胛盂前下方内固定上存在的显露与问题,来自北京大学第三医院的田耘教授,与吉林大学第二医院的吴丹凯教授,从腋窝前后拮抗肌群的间隙之间,探索出了可直视下显露固定肩胛盂,且无需切断任何肌肉肌腱,不损伤知名神经血管的入路,称之为“腋窝入路”。本文结合上述团队发表文献,分享该入路:
一、“腋窝入路”的解剖要点
腋窝入路的关键,即是对腋窝神经血管及肌腱的解剖掌握:
腋动脉第3段分出肩胛下动脉,后下行分出旋肩胛动脉与胸背动脉,胸背动脉与胸背神经伴行。旋肱前后动脉也发自腋动脉第3段,腋神经与旋肱后动脉伴行,经四边孔转入肱骨后方。解剖可参阅《奈特人体解剖图谱》:
手术采取侧卧位,经腋窝顶点,沿腋后线作长约10cm切口,位于背阔肌前缘(下图所示图片均来自《中华骨科杂志》文章):
▲ 图示手术大体切口(DOI: 10.3760/cma.j.cn121113⁃20210512⁃00361)
切开皮下组织,经背阔肌前缘分离,外展肩关节后,可在肱骨头关节面上触及腋神经及旋肱后动脉:
▲ 图示背阔肌(a)与旋肱后动脉(b)
▲ 图示腋神经(a)与旋肱后动脉(b)
向内侧牵拉软组织,可显露旋肩胛动脉,沿旋肩胛动脉向前方分离,可显露肩胛下动脉及其伴行的胸背神经。上述神经血管在显露后均予以保护:
▲ 图示旋肩胛动脉(a)

▲ 图示旋肩胛动脉(a),肩胛下动脉(b)与胸背神经(c)
▲ 图示背阔肌(黄),旋肩胛动脉(蓝)与腋神经旋肱后动脉(白)
(图片来源:DOI:10.1186/s12893-024-02623-9)
▲ 图示在腋窝入路下,左图显露背阔肌与腋神经;右图可见骨折线。
(图片来源:DOI:10.1016/j.amsu.2022.104029)
二、“三边区”与“四边
区”在显露上述血管神经后,在手术操作视野内,可形成由神经血管及肌腱组成的操作窗口,分别成为“三边区”与“四边区”:
“三边区”:由头侧的旋肩胛动脉(a),前侧的胸背神经(c)及后侧的背阔肌(b)构成,该区域可显露外侧缘下部(图B);
“四边区”:由头侧的旋肱后动脉及腋神经(c),尾侧的旋肩胛动脉(f),前侧的肩胛下动脉(e)及后侧的背阔肌(b)构成,该区域可显露部分肱骨头(a)及肩胛盂前下侧、肩胛颈及外侧缘上部(d)(图A)。
▲ 图示旋三边区与四边区的模式图。
在对肩胛盂的显露范围上,Judet入路、胸大肌三角肌入路与腋窝入路的显露范围如下图所示:
▲ 图示各入路的对肩胛盂的显露范围:蓝色为腋窝入路,红色为胸大肌三角肌入路,绿色为Judet入路。
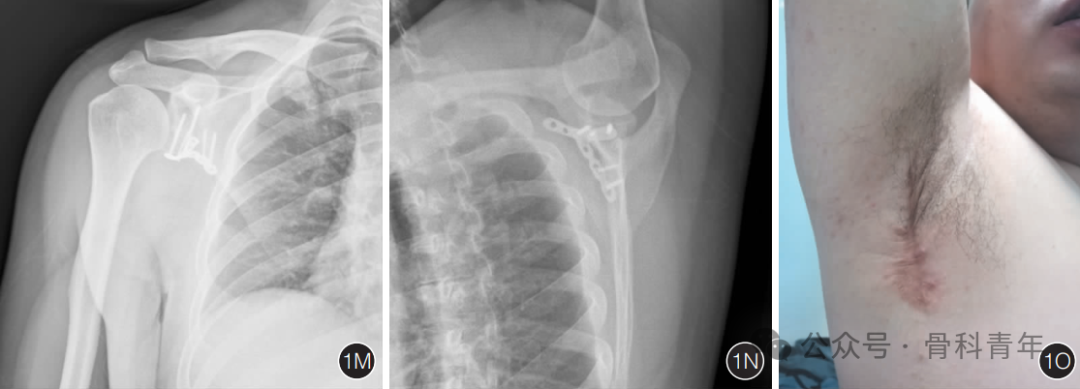
三、临床疗效
研究团队文献发表中已总结了40余例的病例资料,已证实在对肩胛盂前下方骨折的内固定中,腋窝入路可获得良好的治疗效果。
该腋窝入路存在如下特点:
-
手术切口隐蔽,但由于汗腺发达,存在感染、脂肪液化风险;
-
无需损伤固有肌腱,创伤小,但解剖复杂,血管存在变异,存在潜在损伤风险;
-
可显露肩胛盂前下方、肩胛颈及外侧缘;但对肩胛盂后方无法显露。
【本期文献】:
【1】张子言,邢永,丁坚,等. 腋窝后缘入路治疗部分肩胛骨骨折的初步疗效分析[J]. 中华创伤骨科杂志,2022,24(5):414-420.
【2】邢永,张子言,郭琰,等. 腋窝入路肩胛盂前缘骨折复位固定的应用解剖学及临床研究[J]. 中华骨科杂志,2022,42(1):18-25.
【3】Lou, Weigang1; Chen, Jianming1; Li, Ming1; Xu, Ding1,*. A new surgical approach for the treatment of scapular glenoid fractures- Axillary approach: A single center case series. Annals of Medicine & Surgery 79():, July 2022.
【4】Wang, H., Lin, Jr., Wei, Gz. et al. A clinical study on the effect of axillary approach in the treatment of Ideberg type II scapular glenoid fractures. BMC Surg 24, 319 (2024).
-END-
声明:本文转载自<骨科青年>,版权归原作者所有,仅用于学习交流,如有侵权请联系删除









