第一期:经典滑动平台单髁置换术(髓腔导杆定位)
一、病例介绍
女性患者,68岁,左膝关节疼痛伴活动受限8年余。
体格检查:左膝轻度内翻畸形,约5°,无屈曲畸形。屈曲20°外翻应力下内翻畸形可纠正,屈曲90°可自行纠正。内侧关节间隙处压痛阳性。活动度:0°~120°
X-Ray:内侧间隙狭窄,站立位内侧间隙消失,外侧间隙正常,膝关节稳定。
诊断:膝关节内侧间室OA。
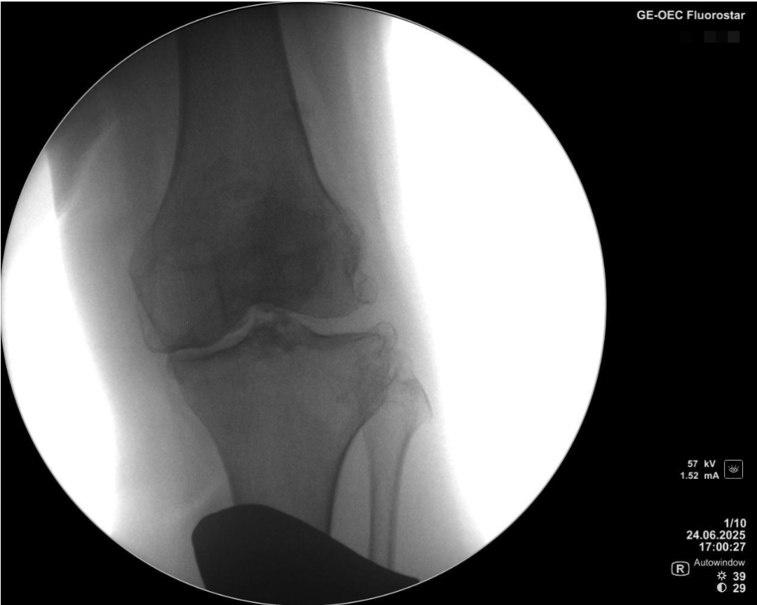
二、术前X片

术前透视片

模拟负重位

内翻应力位

外翻应力位

侧位片
三、术后X片

第一期.经典Oxford-UKA技术要点
一、胫骨垂直截骨
标准操作:影响截骨的宽度和内外旋,宁宽勿窄,宁内旋勿外旋
-
宽度:内侧胫骨棘突顶点偏内1-2mm,ACL边缘。
-
方向:锯片方向与胫骨矢状轴剖面一致,与胫骨截骨导块前面垂直,先锯透前侧皮质,然后放平。


二、胫骨水平截骨
标准操作:保护MCL
-
Z形拉钩水平方向,骨膜剥离器纵向插入内侧副韧带下方,两者联合保护MCL
-
使用摆锯进行槽外或者槽内胫骨水平截骨,确保锯片勿损伤MCL。

标准操作:水平截骨和垂直截骨锯透
-
槽外截骨,截面在松质骨,阻力不大。
-
胫骨一定要锯透,内外翻锯片,骨块松动,避免使用骨刀凿,防止后壁骨折。

三、胫骨截骨之要诀
胫骨截骨五要素: (宽度、厚度、内外翻、内外旋、前后倾)
1. 宽度:按照预先标记线垂直截骨,不超过胫骨内侧棘突的顶点。
2. 厚度:安装G夹后,水平截骨的锯片与标记线重合。
3. 内外翻:截骨导杆与胫骨嵴平行。
4. 内外旋:垂直锯片与胫骨截骨块前面垂直,宁内旋,勿外旋。
5. 前后倾:截骨导杆远端距离皮缘1.8-2cm(一横指)。
四、标准胫骨截骨之判断
标准截骨:通过截骨块可以得到的信息。
-
病理学特征:典型AMOA表现,软骨及软骨下磨损位于前侧和中央,后侧正常。
-
宽度:胫骨截骨在内侧胫骨棘顶点偏内。
-
厚度:胫骨截骨在磨损最低点下2mm。
-
内外翻:垂直截骨面与水平接骨面夹角为90°,说明无内外翻。
-
内外旋:前后等宽,说明垂直截骨无内外旋。
-
前后倾:前后等厚,说明水平截骨后倾7°。

五、确定股骨髁假体中线
标准操作:通过胫骨假体中线确定的股骨髁中线即股骨假体中线。
-
股骨髁解剖中线非假体中线,解剖中线只有一条,不一定与胫骨假体中线一致。
-
胫骨模块覆盖截骨面,其上方插入4号测厚器,通过中点电刀在股骨髁上划一条与模板垂直的线。

六、股骨开髓入口点
标准操作:
-
膝关节屈曲45°,髁间窝顶点前缘1cm与内侧股骨髁外侧壁延长线交界处。
-
入口仅确定导杆插入位置,导杆的插入方向可修正入口位置的偏移,方向比入口更重要。

可能出现的问题:
-
入口偏上:股骨假体过伸
-
入口偏下:股骨假体过屈
-
入口偏内:股骨假体内翻/妨碍连接器的使用
-
入口偏外:股骨假体外翻/与髌骨内侧缘撞击
七、测量屈伸间隙
遵循原则:恢复内侧副韧带张力(膝关节屈曲110°测试)。
选择原则:三选一原则, A 自由进出,稍有阻力(free);A-1太松,A+1太紧(股骨髁抬起),放弃太松,放弃太紧,选A(3mm)。
二指原则:拇指和食指捏着测厚器自由进出,稍许阻力。

标准操作:伸直后稍放下,接近20°,施加轻度外翻应力,插入测厚器。
伸直间隙总是小于或者等于屈曲间隙,出现大于情况,要分析寻找原因。

标准操作:厚1mm(插不进)、薄1mm(太松)的间隙测厚器确认间隙大小。
1mm金属插片顺利插入,2mm插片不能插入,伸直间隙为1mm。

八、屈伸间隙平衡
标准操作:
股骨和胫骨试模再次复位,屈曲110°测量屈曲间隙,屈曲20°测量伸直间隙,屈伸间隙相等。

标准操作:
-
屈曲110°插入的测厚器保持原位,伸直膝关节,如果测厚器厚度合适,拔出时会有稍许阻力; 如果太松轻易被拔出,说明伸直间隙偏大;太紧被夹住,说明伸直间隙偏小。
-
伸直膝关节,侧面划线恢复直线。

标准操作:
-
屈曲110°,插入垫片试模,适当厚度的垫片试模前缘可上下抬起2-3mm;屈曲20°,膝关节外翻,关节面张开1-2mm。
-
垫片试模保持原位,伸直膝关节,如果术前侧面划线是直线,则认为垫片厚度合适。

单髁置换技术精要
-
截好骨(胫骨截骨是前提)
-
钻好孔(非髓可能比髓内更准确)

-END-
声明:本文为原创内容,作者涂意辉,版权归原作者所有,仅用于学习交流,未经授权禁止转载!









