形状记忆合金骑缝钉在人体温度下具有持续的加压作用,既往常被用于足踝部关节炎的融合手术:
然而,由于其操作简便,并具有良好的固定强度,在骨折内固定中,也有学者单独/辅助使用或临时固定使用,从治疗出发获得了良好的临床效果。如肱骨干骨折复位后的临时固定:
与肱骨干骨折相似,在桡骨干横行骨折的固定中,也可采用骑缝钉临时固定后,再通过钢板螺钉系统确切固定:
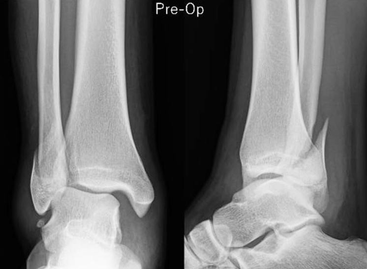
除临时固定外,单纯采用骑缝钉固定外踝骨折,也可避免钢板螺钉的内植物刺激,且在骨折愈合率上不存在劣势:
(声明:本期所列文献均为国外学者发表的SCI,无国内学者的研究。骑缝钉使用仅从临床应用角度,杜绝“经济学”大聪明!)
【文献来源】
【1】Yoshimoto K, Noguchi M, Koseki T, Tominaga A, Okazaki K. Comparative effectiveness of nitinol staple-only fixation versus antiglide plate fixation for Weber type B distal fibular fractures. BMC Musculoskelet Disord. 2025 Jun 7;26(1):572.
【2】Posey SL, Gaston RG. Staple Technology for Fracture Fixation and Joint Arthrodesis. Hand Clin. 2023 Nov;39(4):505-513.
【3】Song EY, Emovon EO 3rd, Hollins AW, Saltzman EB, Mithani SK, Richard MJ, Pidgeon TS. The Use of Nitinol Staples as Reduction Aids in Fixation of Forearm Diaphyseal Fractures: Surgical Technique and Case Series. Tech Hand Up Extrem Surg. 2025 Mar 1;29(1):e0496.
【4】Graham JG, Davis DE. Augmented Fixation in Transverse Midshaft Humerus Fractures Using a Nitinol Staple: Surgical Technique and Case Series. Tech Hand Up Extrem Surg. 2024 Jun 1;28(2):80-87.
-END-
声明:本文转载自<骨科青年>,仅用于学习交流,未经授权禁止转载!









