
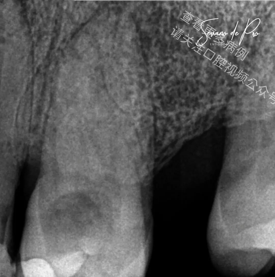
这是一个非常奇特的病例,24号牙和25号牙并非处于它们的正常位置,而是并排生长,拍出的X光片十分惊人。能如此清晰地看到根管充填的细节可不是每天都有的事。25号牙牙髓坏死,24号牙则患有严重的牙髓炎。
两颗牙都使用了来自FKG Iberia公司的Raceevo锉预备到30.04的锥度,并用Avalon Biomed公司的Neosealer Flo封闭剂以及Zarc4endo公司的产品配合WaveOne垂直加压(WVC)技术进行根管充填。
由于患者的病史,25号牙因存在禁忌证而未被拔除。
-END-
声明:本文转载自<口腔视频>,仅用于学习交流,如有侵权,请立即联系我们处理。内容仅代表作者个人观点,望大家理性判断及应用。









