踝关节扭伤是急诊科最常见的肌肉骨骼损伤之一。最近一项关于流行病学研究的系统评价报道,踝关节扭伤的累积发病率为11.55/1000例,踝关节外侧扭伤是最常见的踝关节扭伤类型。踝关节损伤最常见的机制是跖屈足内翻,这会导致踝关节外侧韧带损伤,尤其是距腓前韧带 (ATFL)。ATFL损伤可以以三种不同的形式发生,(i)破裂韧带为纯软组织损伤,ATFL附着于(ii)腓骨或(iii)距骨处的撕脱性骨折。最常见的ATFL损伤类型是单纯韧带断裂,随后是外踝尖端撕脱性骨折。
讨论影像学表现
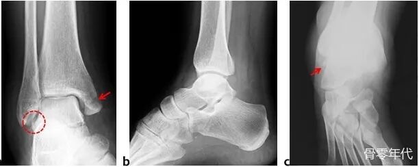
一名34岁的女性在踝关节内翻扭伤后立即入住我们的急诊科。就诊时,她无法负重,脚踝严重肿胀。主动和被动踝关节运动疼痛且受限。内踝和外踝均有压痛。神经血管检查结果正常。踝关节的直接放射学检查显示移位的内踝骨折和腓骨尖端的骨碎片(图1a,1b)。此外,斜X光片更清楚地描绘了碎片。为了了解损伤模式,进行了进一步的计算机断层扫描(CT)检查。CT显示该片段在 ATFL附着时从距骨撕脱(图 2a、2b、2c)。由于患者有移位的内踝骨折和踝关节不稳定,因此计划手术固定骨折。
内踝骨折和腓骨尖端的骨碎片
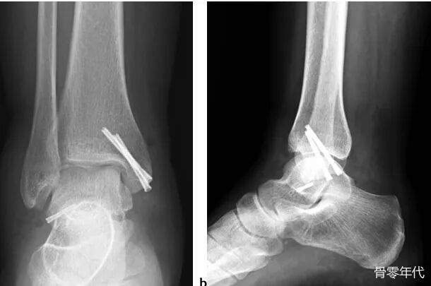
术后影像学
讨论
踝关节扭伤的常规管理最初从休息、冰敷、抬高和压迫开始,然后是早期功能康复和支具。尽管大多数患者通过保守治疗可以完全康复,但尽管接受了初步的适当治疗,但仍有约1/3的患者继续抱怨。这些主诉通常归因于初始损伤期间发生的残余不稳定和未愈合的软骨损伤。残余的不稳定性可能是由于受伤的踝关节韧带在适当的强度和张力下未愈合,或由于撕脱骨折的不愈合而形成的。ATFL距骨撕脱骨折在目前的文献中很少报道,不幸的是,这些骨折的处理尚不清楚。由于它们相当于完全韧带断裂,因此应谨慎处理这些损伤。除了更常见的损伤模式(例ATFL破裂和ATFL 腓骨撕脱骨折)外,对于表现为踝关节外侧扭伤的患者,还应牢记距骨撕脱骨折模式。当在腓骨尖端的踝关节X光片上看到碎片时,应进行先前描述的特殊斜视图,以揭示碎片的正确来源。如果碎片足够大以进行螺钉固定,则固定这些骨折可以防止残余的不稳定性。
参考文献
Özkan, Köse,Adil, Turan,Baver, Acar et al. Avulsion fracture of anterior talofibular ligament from talus: A case report.[J] .Foot (Edinb), 2018, 38: 0.
-END-
声明:本文转载自<骨零年代>,版权归原作者所有,仅用于学习交流。内容仅代表作者个人观点,望大家理性判断及应用。









