系列课程第九讲
单髁置换术现代适应症:创伤后骨性关节炎(PTOA)
创伤后骨性关节炎
(Posttraumatic Osteoarthritis PTOA)
定义
PTOA: 关节损伤后发生的骨关节炎被认为是创伤后骨性关节炎( Posttraumatic Osteoarthritis PTOA )。损伤可能以骨折、软骨损伤、 急性韧带损伤或慢性韧带不稳定(也可以是这些因素组合)的形式出现。
症状性 OA( Symptomatic Osteoarthritis SOA ): 是指影像学上存在骨性关节炎,并伴有疼痛、酸胀、僵硬和受累关节功能障碍等症状。需要注意的是并非所有的骨性关节炎患者都属于症状OA。
流行病学
在美国,估计有1300万≥60岁的成年人膝关节有影像学上的 OA,其中约 400万人为有症状的膝关节 OA;膝关节损伤导致罹患KOA的可能性增高 4.2 倍,Brown TD等研究表明 PTOA 约占所有膝关节OA的10%;在美国,创伤后骨性关节炎影响了500多万成年人。
PTOA的放射学表现

外侧胫骨平台骨折后创伤性骨性关节炎(PTOA) 放射学表现
病理生理学

膝关节损伤进展为PTOA的发生率及时间
-
关节内骨折: 10% to 44%
-
孤立ACL损伤: 0% to 39%
-
ACL 损伤合并半月板损伤: 21% to 100%
-
发展成症状性OA需要的时间: 平均7 年
-
创伤性OA占全部膝关节OA的比例: 10%
引言
外侧胫骨平台的损伤比内侧更常见,外侧胫骨平台骨折由外翻和轴向力的共同作用而引起;膝关节周围骨折(股骨远端和胫骨平台骨折)都可导致创伤后膝关节骨性关节炎(PTOA),偶尔股骨或胫骨骨干骨折畸形愈合也可导致 PTOA;45-64岁创伤发生率正在增加,而严重创伤在所有年龄层都在上升,所以可以推算出年轻患者PTOA将成比例增加;年轻胫骨平台骨折患者较早发生PTOA,而此时的患者对工作或娱乐活动的功能需求仍较高;PTOA和随后UKA手术的人群年龄平均50岁,比UKA治疗外侧间室OA人群的平均年龄(61- 72岁)小;
尽管胫骨平台骨折切开复位内固定可以实现解剖复位和恢复术前功能,但仍有可能相对较快地发展为PTOA;创伤后关节炎(PTOA)继发于外侧胫骨平台骨折畸形愈合,引起疼痛和功能受限;PTOA总体发生率在 21-44%之间,取决于损伤的严重程度、关节面复位、残留的下肢畸形和半月板状态。终末期继发性PTOA距初次受伤的时间平均为 7年(2-11年);胫骨平台骨折10年后,手术治疗的4%,非手术治疗的7%,发展成严重PTOA而需要重建手术;外侧UKA可能是治疗孤立性PTOA的一个合理选择,特别是考虑到PTOA易发年轻人群,以及假体翻修的可能性,UKA翻修在技术上比TKA更容易,侵入性更小。
胫骨近端骨折是常见的损伤,最终可导致膝关节创伤后骨关节炎(PTOA),PTOA危险因素包括 :
-
关节内损伤
-
骨折复位或固定不充分
-
残留下肢畸形
-
年轻患者
-
以前存在关节退行性变

创伤后骨关节炎的手术方法
1
TKA治疗PTOA
TKA被公认为PTOA治疗的主要手术选择, TKA可有效缓解PTOA患者的疼痛,改善功能;TKA治疗PTOA与治疗原发性OA的功能结果及假体生存率相当;所有研究观察到TKA治疗PTOA并发症发生率较高,局部并发症发生率为13 – 34%;最常见的局部并发症是膝关节僵硬、伤口延迟愈合、皮肤坏死、浅部和深部感染、假体周围骨折、髌腱损伤、血肿、腓骨神经麻痹和TKA翻修;不像老年患者,TKA术后对假体的机械性能要求较低。年轻的患者对假体的性能要求更高,更关心假体的生存率;年轻的患者几乎毫无疑问会比假体寿命长,因此需要进行翻修手术的风险更大。
TKA治疗PTOA面临的技术挑战
-
畸形愈合
-
骨骼缺损
-
隐形感染
-
软组织损伤
-
关节挛缩
-
关节不稳
-
力线不正
-
内固定残留
同时进行TKA和取出内固定,可能需要一个以上的切口来充分暴露,这会增加软组织坏死和感染的风险。提前取出内固定,可以改善软组织的血运重建,可能降低皮肤坏死率,减少手术时间和手术污染;
2
HTO治疗PTOA
考虑到TKA的耐久性问题,高胫骨截骨术(HTO)被广泛认为是一种合适的手术选择,适用于活动频繁的年轻患者;HTO矫正外翻畸形,负荷直接转移到内侧间室;77-91%患者疼痛有效缓解,72-88% 患者功能恢复( 9.4- 11.2年);HTO并发症包括感染(2-55%)、深静脉血栓(1-10%)、延迟或不愈合(0-14%)和腓神经损伤(0-20%),限制其应用;HTO患者的早期预后一般是好的,由于疾病进展,手术的效果随着时间的推移逐渐恶化;大约在HTO后10年后,只有60%的患者报告了优良的结果,20%- 50%的患者将翻修TKA;HTO适合软骨厚度部分丢失;重度的关节内畸形,软骨完全丢失不适合HTO。
文献(1)

胫骨平台粉碎性骨折导致PTOA, 10年后需要TKA治疗的风险增加 5.3倍。
文献(2)

-
1996年1月至2000年12月丹麦,1个胫骨平台骨折的患者匹配10个没有骨折的患者作为对照组进行研究;
-
包括 7950 例胫骨平台骨折患者,患者平均年龄为 52.6岁,平均随访时间为 13.9年;
-
5.7%的患者使用TKR治疗(n 452), 2.0%的对照组患者使用TKR治疗(n 1623);
-
结论:随访13.9年,与性别和年龄匹配的非骨折组相比,胫骨平台骨折的TKR风险增加 3.5倍。
文献(3)

-
研究纳入原发性OA患者716例,PTOA患者32例。比较两组患者TKA的手术参数、WOMAC评分及术后并发症;
-
PTOA组手术时间明显长于OA组(125.3 vs 100.1, p<0.0001) ,而术中出血量无差异 (175.9 vs 118.5, p = 0.06);

-
术后90天内并发症(手术部位感染、尿路感染、静脉血栓事件)及再次入院,两组间无差异;
-
结论:尽管两组8年生存率无显著差异, TKR治疗PTOA中期随访结果较治疗原发性膝关节OA差。
文献(4)

-
平均随访6.7年,比较29例PTOA-TKA与58例原发性POA-TKA术后疗效, 结果KSS、WOMAC、SF12评分及ROM无显著差异;
-
PTOA-TKA 有4 例(13.7%)发生并发症,无假体翻修。PTOA组7年生存率为90.0%,POA组为95.2%,差异没有显著性意义;
-
尽管PTOA-TKA手术更为复杂,TKA仍是治疗胫骨平台骨折术后OA的有效方法。
文献(5)

-
2006-2014年美国国家住院患者样本数据库,OA-TKA 6361563 例 ,PTOA-TKA 69827 例( 1.8%);
-
并发症:PTOA-TKA患者切口浅表感染、深部关节感染和急性深静脉血栓形成的发生率比POA-UKA患者高;
-
合并症:PTOA-UKA患者有较高的药物和酒精滥用,精神病和肝病患病率高,而OA-TKA患肥胖、糖尿病、心脏和肺部疾病比率高。
PTOA-TKA术后并发症发生率高,可能的原因:
-
无论是胫骨还是股骨骨折,PTOA患者往往会因骨折愈合而出现解剖畸变;
-
许多患者都曾经历过一次或多次手术,导致正常软组织的损伤,下次手术可能需要另一种入路;
-
并发症发生率的显著差异由于PTOA人群在畸形的严重程度、截骨的需要和取出内固定等方面存在显著的异质性;
-
PTOA-TKA手术时间延长与手术部位感染有关。
文献(6)

各个年龄组PTOA-TKA 围手术期并发症和早期、中期翻修(随访4.6- 6.1年)明显增加。
文献(7)

-
采用KSS、 ROM和KOOS 回顾性分析比较1998年-2005年间 33 例PTOA-TKA,407 例POA-TKA两组患者的临床结果和生活质量,以及假体存活率;
-
术后KOOS各项指标组间均有显著性差异,并发症总发生率PTOA-TKA组(21.2%)明显高于POA-TKA组(1.2%)。
Take home messages
-
创伤性关节炎( PTOA )是关节内/关节外骨折后的常见并发症,也可能是软骨缺损、半月板切除和韧带损伤的结果;
-
即使是在大的治疗中心,初次全膝关节置换术(TKR)治疗膝关节骨折也是一种罕见的适应证;
-
常见的膝关节关节面和韧带损伤在当前手术技术治疗后仍 20-50% 的患者会发展为创伤后OA;
-
PTOA-TKA的患者更年轻,功能要求高,手术治疗更具挑战性;
-
PTOA-TKA显著改善临床功能,但不及治疗原发性OA(POA)的效果,此外还可能有较高的并发症发生率和翻修风险。
3
UAK治疗PTOA
UAK治疗PTOA手术适应证
-
继发于胫骨平台骨折单间室高级别OA (Kellgren-Lawrence分级 3级或以上);
-
其他膝关节间室无OA征象,或者存在无症状2级或以下级别OA征象;
-
在关节线下骨缺损<12mm (与最厚的胫骨植入物为12mm有关);
-
屈曲挛缩小于10°;运动范围(ROM)大于90°;矢状面和冠状面膝关节稳定;
UAK治疗PTOA手术禁忌症
-
双间室性OA
-
感染
-
矢状面或冠状面不稳定
-
慢性局部疼痛综合征
-
屈曲膝关节僵硬;屈曲挛缩大于10°
PTOA-UKA文献(1)

UKA时患者的平均年龄为50.1±12.6岁(25- 67岁),骨折至UKA的平均时间为5.1±5.2年(1-18年),最小随访时间为3年(3 - 22.1年)。

-
术前平均IKS评分为51分(29-75分),平均功能评分51分(10-89分),末次随访时提高到88分(65-100分)和87分(35-100分);
-
术前HKA平均角度188°,末次随访时为185°。5年和10年的假体生存率为100%,15年为80%,无因感染或松动翻修病例。

The hip-knee-ankle angle is 182° and the weight bearing axis passed through the lateral tibia spine
-
结果: 外侧UKA可以减轻相对年轻PTOA患者的疼痛,恢复功能,矫正下肢力线,假体生存率与治疗原发性OA的生存率相当;
-
结论: 外侧UKA是治疗孤立性创伤后外侧间室关节炎的合理选择。
PTOA-UKA文献(2)

手术技术
-
LUKA占所有UKA手术的5% - 10%,对外科医生是一种挑战;
-
所有病例均采用外侧髌旁入路,采用固定垫片胫骨假体;
-
不需要植骨来补偿因畸形愈合引起的骨丢失;
-
在外侧胫骨平台粉碎和凹陷性骨折的病例中,胫骨假体下方可能需要拧入螺钉以加强软骨下骨承载力;
-
假如旧的内固定不会干扰胫骨假体,那么它们可以原位保留;
-
在大多数病例中,取出内固定后无需新的内固定。


-
回顾性分析18 例PTOA患者,及与其相匹配的 36 例KOA患者的临床和放射结果;
-
平均随访10.1年,两组术后IKS评分和放射学评估相似,翻修率无差异;
-
结论:LUKA是一种治疗PTOA有效的手术方法,其结果与非外伤性LUKA相似。
PTOA-UKA文献(3)

-
13例外侧UKA治疗的胫骨平台骨折继发OA患者(PTOA-UKA)与13例外侧UKA治疗原发性OA (POA-UKA)进行严格配对比较;
-
两组在随访时KSS-c (p < 0.001)、KSS-f (p < 0.001)和HKA角(p < 0.001)均有显著改善。

-
外侧UKA治疗PTOA可有效恢复关节功能,提高临床疗效,并能纠正下肢力线。与WAICE UKA治疗POA相比,临床结果和9年生存率没有差异;
-
结论:对于经过仔细选择的患者,外侧UKA应该被认为是治疗外侧PTOA的有效方。
Take home messages
-
对于外侧间室PTOA,UKA可以有效减轻疼痛并能恢复相对年轻患者的功能;
-
PTOA-UKA术后下肢力线及假体存活率与原发性OA-UKA相当;
-
对于以年轻患者为主的PTOA,UKA是一个可行的选择。尤其是考虑到可能需要进行进一步的翻修, 在技术上UKA翻修比TKA翻修更安全,侵入性更小;
-
PTOA是LUKA不常见的手术指证,LUKA是一种安全的手术方式, 不增加翻修的风险;
-
目前的有限数据还不足以支持或反对PTOA作为UKA的手术指证。
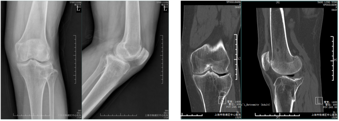
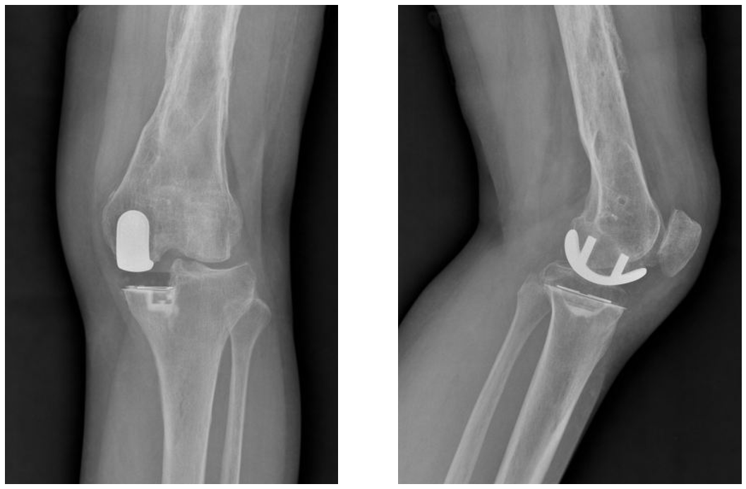
病例分享
典型病例1

术前X-ray,CT


术后3个月复查情况

术后4年复查情况
典型病例2

术前X-ray,CT


术后6周、3月、6月 X-ray

术后半年
典型病例3


术后6周、半年X-ray

术后半年
典型病例4: 股骨干骨折畸形愈合合并OA

女性患者,65 岁,2005 年股骨干骨折 ORIF


术后3个月

术后3个月
典型病例5
病史
-
女性,58岁(受伤时),既往无左膝OA;
-
2016年12月24日,骑电动车摔伤,诊断:左胫骨平台粉碎性骨折伴外侧关节面塌陷;
-
2016年12月26日,行切开复位内固定手术治疗;
-
2018年9月,取出内固定;
-
2020年9月,因“左膝关节疼痛4年,加重伴活动受限5月”入院,行走距离小于500米;
体格检查
-
左膝伸直位下轻度外翻及屈曲畸形,约外翻8°,屈曲约5°;
-
膝关节活动度:5°-130°(主动情况下),5°-135°(被动情况下);
-
左膝浮髌试验(-),前后抽屉试验(-),Lachman(-)。


术前下肢情况


术中情况

术后即刻情况

术后3个月

术后6个月
作者介绍

涂意辉 教授
-
博士,主任医师,博士生导师;
-
同济大学杨浦医院关节外科主任;
-
中国医师协会骨科医师分会第五届委员会 全国委员;
-
中国医师协会骨科医师分会保膝学组副组长;
-
中国老年保健协会骨关节保护与健康分会副会长;
-
中国研究型医院学会膝关节部分置换研究学组副组长;
-
中国研究型医院学会膝关节保护与矫形学组委员;
-
上海市中西医结合学会关节病专业委员会常务委员;
-
上海市医师协会骨科分会关节委员会委员;
-
上海市医师协会运动医学医师分会委员;
-
英国牛津大学Nuffield 骨科中心 fellow;
-
《中国骨质疏松杂志》、《生物骨科材料临床研究杂志》编委。
-END-
声明:本文为原创内容,作者涂意辉,版权归原作者所有,仅用于学习交流,未经授权禁止转载!









